AI Improves Lung Nodule Detection on Chest X-Rays
Study shows evidence that AI can aid chest radiography interpretation

In a pioneering, randomized controlled study evaluating the effect of AI-based software in real clinical practice, researchers found that AI significantly improved the detection of lung nodules on chest X-rays. The results of the study were published today in Radiology.
Lung nodules are very common and typically form from previous lung infections. In rare instances, they can be a sign of lung cancer. AI can be a powerful tool to help identify lung nodules, especially when radiologists are experiencing a high volume of cases.
“Detecting lung nodules, a primary finding of lung cancer, is one of the crucial tasks in chest X-rays,” said study co-author Jin Mo Goo, MD, PhD, from the Department of Radiology at Seoul National University Hospital in Korea. “Many studies have suggested that AI-based computer-aided detection software can improve radiologists’ performance, but it is not widely used.”
To identify the actual effect that AI has in clinical practice, researchers included 10,476 patients with an average age of 59, who had undergone chest X-rays at a health screening center between June 2020 and December 2021.
“As our trial was conducted with a pragmatic approach, almost all enrolled participants were included, which is a real clinical setting,” Dr. Goo said.
Patients completed a self-reported health questionnaire to identify baseline characteristics such as age, sex, smoking status and history of lung cancer. Eleven percent of the patients were current or former smokers.
The patients were randomly divided evenly into two groups—AI or non-AI. The first group’s X-rays were analyzed by radiologists aided by AI while the second group’s X-rays were interpreted without the AI results.
Solid nodules with diameters either larger than 8 millimeters or subsolid nodules with a solid portion larger than 6 millimeters were identified as actionable.

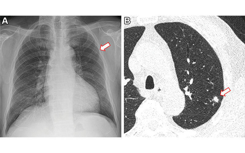
Images in a 73-year-old man who underwent chest radiography and low-dose CT for health checkup purposes and was allocated to the non–artificial intelligence (AI) group. (A) Frontal chest radiograph shows a small nodular opacity (arrow) in the left upper lung zone, which was missed by the designated reporting radiologist. (B) Axial, noncontrast, low-dose chest CT scan shows a 9-mm solid nodule (arrow) in the left upper lobe. The nodule showed low metabolism at PET and decreased in size at follow-up CT. It was confirmed to be an inflammatory nodule.
https://doi.org/10.1148 /radiol.221894 © RSNA 2023
Age and Other Health Characteristics Did Not Affect AI Efficacy
Lung nodules were identified in 2% of the patients. Analysis showed that the detection rate for actionable lung nodules on chest X-rays was higher when aided by AI (0.59%) than without AI assistance (0.25%). There were no differences in the false-referral rates between the AI and non-AI interpreted groups.
While older age and a history of lung cancer or tuberculosis were associated with positive reports, these and the other health characteristics did not have an impact on the efficacy of the AI system. This suggests that AI may work consistently across different populations, even for those with diseased or postoperative lungs.
“Our study provided strong evidence that AI could really help in interpreting chest radiography. This will contribute to identifying chest diseases, especially lung cancer, more effectively at an earlier stage,” Dr. Goo said.
The researchers plan to conduct a similar study using chest CT which will also identify clinical outcomes and efficiency of workflow.
For More Information
Access the Radiology study, “AI Improves Nodule Detection on Chest Radiographs in a Health Screening Population: A Randomized Controlled Trial,” and the related editorial.
Read previous RSNA News stories on lung imaging:
- Researchers Use AI to Predict Cancer Risk of Lung Nodules
- AI Predicts Lung Cancer Risk
- Circulating Tumor DNA (ctDNA) Shows Promise as a Biomarker for Non-Small Cell Lung Cancer