Journal highlights
The following are highlights from the current issues of RSNA’s peer-reviewed journals.
Top Reviewers Earn a Free Pass
The Radiology: Imaging Cancer Editorial Board introduced a new benefit for recipients of its annual Editor’s Recognition Award, which honors reviewers who consistently deliver prompt, high-quality manuscript reviews.
Award recipients receive a Free Pass, allowing one co-authored manuscript to skip the initial editorial screening protocol and proceed directly to peer review.
Each Free Pass comes with a unique identification code to be included in the cover letter of the submitted manuscript. Passes are valid for 12 months from the date of the award.
Learn more about this exciting new opportunity to accelerate your research!

Contribute to the Future of Pancreatic Imaging
Share your latest advances and discoveries in pancreatic imaging in the Radiology: Imaging Cancer new special collection on pancreatic adenocarcinoma, pancreatic neuroendocrine and hepatobiliary cancers.
We welcome original research articles, reviews and brief reports encompassing imaging and image-guided therapy from cell-based models with organoids, pre-clinical, translational and clinical research. Submissions may address innovations in imaging probes, imaging technologies, image-guided therapies, data analysis methods, public policy and AI/machine learning.
Accepted manuscripts are immediately published and will be presented on the Radiology: Imaging Cancer website.
Integrating 4D Flow MRI into Clinical Practice
While conventional 2D flow MRI measures the unidirectional flow of blood through a predetermined imaging plane, 4D flow MRI captures blood flow velocity and volume in all three spatial directions over time. This enables a retrospective analysis of blood flow without needing multiple acquisitions.
A recent Radiology review highlighted the potential of 4D flow MRI as a valuable tool across a wide range of cardiac MRI applications.
Gert Reiter, PhD, and Clemens Reiter, MD, both from the Department of Radiology at the Medical University of Graz in Austria, and colleagues note that integrating 4D flow MRI into clinical practice offers significant benefits for diagnosis, disease monitoring and patient outcomes.
The authors found that 4D flow MRI surpassed 2D flow MRI in clinical workflow effectiveness by providing multiple measurements without requiring additional scan time and planning. With scan times of 10 minutes or less, 4D flow MRI improved workflow efficiency while also ensuring that all velocity, flow rate and volume measurements were from the same physiological state of the patients.
“Current research is increasingly focused on standardizing acquisition and postprocessing techniques for novel 4D flow–derived diagnostic and prognostic markers, including flow energetics, flow pattern analysis and vessel wall interaction,” the authors conclude.
Read the full article, “Four-dimensional Flow MRI for a Dynamic Perspective on the Heart and Adjacent Great Vessels.”
Follow the Radiology editor on X @RadiologyEditor.

Four-dimensional flow MRI–derived left ventricular flow components. (A) Schematic drawing of the definition and color-coding of four left ventricular flow components. Dots indicate starting region, and arrows indicate movement during one cardiac cycle. (B, C) Determination of the left ventricular flow components for (B) a healthy control and (C) a patient with dilated cardiomyopathy (DCM) with reduced left ventricular ejection fraction. Four-dimensional flow MRI scans with color-coded particle traces at end systole (left) and end diastole (middle) are shown, together with the percentages of the flow components with respect to end-diastolic volume (pie chart). Note the differences in direct flow and residual volume components. See also Movies 16 and 17. AV = aortic valve, MV = mitral valve.
https://doi.org/10.1148/radiol.242972 © RSNA 2025
CT Angiography of Lower Extremity Aortoiliofermal Arteries
Peripheral arterial disease (PAD) of the lower extremities is a leading cause of cardiovascular illness and death. Disease severity can vary widely, from patients presenting with no symptoms to muscle pain to even limb-threatening ischemia.
CT angiography (CTA) of the aortoiliofemoral (AIF) arteries in the abdomen, pelvis and lower extremities is an essential tool for evaluating patients with PAD and lower extremity trauma.
This advanced modality offers detailed visualization of vascular anatomy, helping clinicians accurately assess blood flow, identify blockages and plan effective treatment strategies.
A recent RadioGraphics article provides a detailed overview of normal vascular anatomy, key collateral pathways and specific AIF CTA protocols for imaging PAD.
Anup S. Shetty, MD, associate professor at the Mallinckrodt Institute of Radiology at Washington University School of Medicine in St. Louis, and colleagues provide tips for reading AIF CTA exams, reporting the results and recognizing the pitfalls that can lead to misdiagnosis or diagnostic uncertainty.
“An understanding of the anatomy at hand and the clinical questions to answer, an organized and structured approach, and awareness of the spectrum of imaging findings will lead to greater success in efficiently tackling these challenging examinations to further patient care,” the authors conclude.
Read the full article, “Aortoiliofemoral Lower Extremity CT Angiography.”
Follow the RadioGraphics editor on X @RadG_Editor.

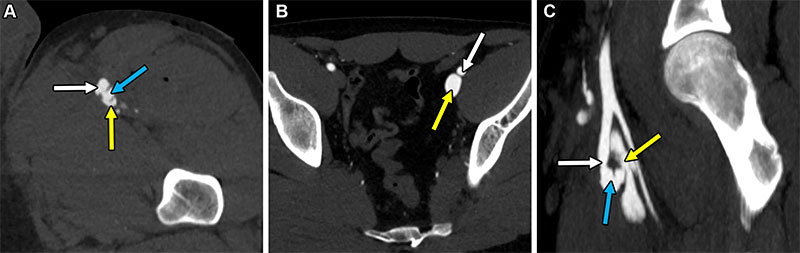
Arteriovenous fistula resulting from a gunshot injury in a 27-year-old man. (A) Axial arterial phase CT image shows an irregularly shaped channel (blue arrow) between the left superficial femoral artery (white arrow) and corresponding vein (yellow arrow). (B) Axial arterial phase CT image shows abnormal asymmetric early enhancement of the left external iliac vein (yellow arrow) similar to the degree of enhancement of the left external iliac artery (white arrow), upstream from the AVF. (C) Oblique sagittal arterial phase MIP CT image shows the fistula (blue arrow) between the superficial femoral artery (white arrow) and corresponding vein (yellow arrow).
https://doi.org/10.1148/rg.240272 © RSNA 2025

Eye Gaze AI System Enhances Diagnostic Performance
Perceptual errors are a key challenge to diagnostic accuracy, accounting for between 60% and 80% of diagnostic mistakes. They occur when radiologists fail to detect or incorrectly interpret abnormalities because of visual oversight during initial image interpretation.
New studies on eye gaze data have shown a direct correlation between eye movements and diagnostic decision-making. The nonintrusive nature of eye gaze recording means that it can be seamlessly integrated into clinical workflows.
A team led by Akash Awasthi, a PhD candidate from the Department of Electrical and Computer Engineering at the University of Houston, developed a personalized AI system that integrates eye gaze data and radiology reports. Their research, published in Radiology: Artificial Intelligence, aims to improve the diagnostic accuracy of chest radiograph interpretation through the identification and correction of perceptual errors.
In two simulated datasets, the AI system, Collaborative Radiology Expert (CoRax), corrected 21.3% and 34.6% of errors on chest radiographs, respectively. The system also demonstrated its potential use in diagnostic decision-making across various abnormalities of chest radiographs.
“CoRaX differs fundamentally by functioning as a collaborative assistant: It supports radiologists by identifying potential perceptual oversights and offering interpretable, gaze-informed feedback,” the authors note.
Read the full article “Collaborative Integration of AI and Human Expertise to Improve Detection of Chest Radiograph Abnormalities.”
Follow Radiology: Artificial Intelligence on X @Radiology_AI.
Become a Peer Reviewer for an RSNA Journal
Contribute your expertise by becoming a peer reviewer for one of RSNA’s prestigious journals. Play a vital role in ensuring the quality, accuracy and clinical relevance of manuscript submissions. Peer reviewers also have the opportunity to earn CME credit.