COVID-19 News
Information and updates on COVID-19
Find RSNA’s COVID-19 information and the latest resources on COVID-19 at RSNA.org/COVID-19 including scientific research, webinars, podcasts and guidance documents.
 
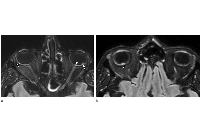
    COVID-19 Linked to Potentially Dangerous Eye Abnormalities
Researchers using MRI have found significant abnormalities in the eyes of some people with severe COVID-19, according to a study in Radiology.
 
    CDC and Global Scientific Agencies to Host 24-Hour COVID-19 Programming
Chasing the Sun, a free, online event kicking off IDWeek, is open for registration. This 24-hour, global event will begin on Wednesday, Oct. 21 at 10 a.m. (ET) and conclude on Thursday, Oct. 22 at 10 a.m. (ET). The list of sessions and speakers are available for review. During the event, the Centers for Disease Control and Prevention (CDC) and other recognized global scientific agencies, non-governmental agencies and infectious diseases organizations will present unique perspectives and data to cover various aspects of COVID-19.
 
    WHO Issues Global Guidance for Chest Imaging in COVID-19
International experts fast-tracked guidelines to aid radiologists during the COVID-19 pandemic, offering guidance on the role of chest imaging in patients with suspected or confirmed COVID-19.
 
    My Turn: Will Artificial Intelligence Play a Role in Imaging of COVID-19?
I am frequently asked how artificial intelligence (AI) can help address the coronavirus pandemic. The questions are everywhere: Could AI improve detection of subtle COVID-19 disease on chest radiography or chest CT? Could AI help distinguish the imaging appearance of COVID-19 from similar diseases? Could AI predict the need for inpatient or intensive care by improving assessment of disease severity? These COVID-19 conundrums intrigue us all. But so far, the best answer scientists can give is: We don’t know.
 
    Radiologists Develop AI Tool to Identify Risk of COVID Complications
Artificial intelligence (AI) tools and technology are playing a key role in many aspects of the COVID-19 pandemic. At the University of California, Irvine, (UCI), for example, two radiologists are part of a multidisciplinary team of doctors who developed an AI application now being used to help doctors at the UCI Medical Center assess the potential severity of a COVID-19 patient’s condition.
 
    New Study Shows Increase in Domestic Violence Injuries during COVID-19
There was a higher incidence and severity of physical intimate partner violence (IPV) among patients seen at a large, academic medical center in the U.S. during the COVID-19 pandemic compared with the prior three years, according to a study in Radiology.
 
    RSNA To Collaborate on Open-Source COVID-19 Medical Image Database
RSNA is collaborating to develop the Medical Imaging and Data Resource Center (MIDRC), an open-source database with medical images from tens of thousands of coronavirus (COVID-19) patients. The MIDRC will help doctors better understand, diagnose, monitor and treat COVID-19.
 
    Research Shows AI Plays an Important Role in the COVID-19 Pandemic
Due to a combination of cost constraints, concerns about contamination, and availability of other means of testing, chest CT is not recommended as a routine method for diagnosing COVID-19. But CT does serve a purpose in understanding COVID-19. In a recent Radiology: Artificial Intelligence study, researchers argue that the key to leveraging the benefits of chest imaging in caring for COVID-19 patients is artificial intelligence (AI).
 
    Preparing for a Post-Pandemic Radiology Practice
The COVID-19 pandemic has had a profound impact on radiology, resulting in a sharp drop in imaging volume, a significant increase in working remotely and major changes in clinical operations in radiology departments and practices across the world. But as the health care industry struggles to control the virus and scientists work on a potential vaccine, radiologists in some parts of the U.S. and the world are returning to their practices – with proper protocols in place – or are planning to reopen soon.
 
    Measuring the Impact of COVID-19 on Radiology (Infographic)
The COVID-19 pandemic is extracting a heavy toll across the globe and on front-line health care workers. Radiologists have felt the professional and personal disruption, while struggling to balance the heavy strain on the health care system with the need to stabilize the workforce. While radiologists are challenged by financial stressors, the disruption of normal operations and safety concerns, there are some positive changes that can help the radiology community proactively assess the impact of the pandemic on the specialty.
 
        Chest X-Rays Show More Severe COVID-19 in Non-White Patients
Racial/ethnic minority patients admitted to the hospital with COVID-19 infection are more likely to have more severe disease on chest X-rays than white/non-Hispanic patients, increasing the likelihood of adverse outcomes, such as intubation or death, according to a study in Radiology.
 
    Radiology Navigates Pandemic-Related Economic Challenges
The impact of COVID-19 on radiology was swift and profound. Restrictions on imaging coupled with the pandemic-triggered economic recession left many radiology practices struggling to survive. Practices have developed strategies to successfully rebound from the economic downturn.
 
    Dangerous Blood Clots Form in Leg Arteries of COVID-19 Patients
COVID-19 is associated with life-threatening blood clots in the arteries of the legs, according to a study published in Radiology.
 
    New Study Looks at Post-COVID-19 Emerging Disease in Children
In recent weeks, a multisystem hyperinflammatory condition has emerged in children in association with prior exposure or infection to SARS-CoV-2. A new case series published in Radiology examines the spectrum of imaging findings in children with the post-COVID-19 inflammatory condition known in the U.S. as Multisystem Inflammatory Syndrome in Children (MIS-C).
 
    COVID-19 Sparks Innovations in Radiology Departments
COVID SWAT team, radiology annex and predictive tools among novel solutions to aid patients during pandemic.
 
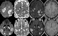
    Multi-Institutional Study Looks at Brain MRI Findings in COVID-19
A new multi-institutional study published in Radiology identifies patterns in abnormal brain MRI findings in patients with COVID-19.The purpose of this current study was to describe the neuroimaging findings other than stroke in patients with severe COVID-19 and report the clinical and biological profile of these patients.
 
    Radiologists Answer the Call During COVID-19 Pandemic
Radiologists step into new roles helping patients, families and other physicians during crisis
 
        Radiology Trainees on the Front Lines of COVID-19
Radiology trainees across the U.S. have been asked to assist in new ways during the pandemic. Four trainees share their experiences volunteering on COVID-19 units.
 
    Radiologists Need to Care for Themselves While Caring for Others During Pandemic
In the midst of a global pandemic that has killed thousands, experts say it is still important for radiologists and other physicians to think about the mental and physical wellness of their colleagues and themselves.