New Study Shows Increase in Domestic Violence Injuries during COVID-19
Social distancing and lockdowns have negative impact on stressful domestic households


There was a higher incidence and severity of physical intimate partner violence (IPV) among patients seen at a large, academic medical center in the U.S. during the COVID-19 pandemic compared with the prior three years, according to a study in Radiology.
“Our study showed a higher incidence of physical IPV, both in absolute numbers and proportion, with more severe injuries despite fewer patients reporting IPV,” said Bharti Khurana, MD, principal investigator and director of the Trauma Imaging Research and Innovation Center at Brigham and Women’s Hospital in Boston, Massachusetts. “This indicates that victims are reporting to health care facilities in the late stages of the abuse cycle. Fear of contracting infection and closure of ambulatory sites might be preventing victims of mild physical or emotional abuse from seeking help compared to the pre-pandemic era.”
Social distancing has proven to be effective for controlling the spread of coronavirus but with negative socioeconomic and psychological impacts. Service-oriented economies have seen increased unemployment and a higher incidence of substance and alcohol abuse and mental health disorders.
Since the outbreak of COVID-19, reports of IPV have increased worldwide during mandatory “lockdowns” to curb the spread of the virus.
Study Compares Patient Reporting and Injuries From Previous Years
Dr. Khurana and colleagues set out to assess the incidence, pattern and severity of injuries related to IPV at Brigham and Women’s Hospital during COVID-19 pandemic. The demographics, clinical presentation, injuries and radiological findings of patients reporting physical abuse arising from IPV between March 11 and May 3, 2020, were compared with the same period over the past three years.
Data from 26 physical IPV victims from 2020 (37+/-13 years, 25 women) were evaluated and compared with 42 physical IPV victims (41+/-15 years, 40 women) from 2017 to 2019. While the overall number of patients reporting IPV was lower, the incidence of physical IPV was 1.8 times greater during the pandemic. Five victims of severe abuse were identified in 2020 (5/26=19%) compared to one each of the previous years.
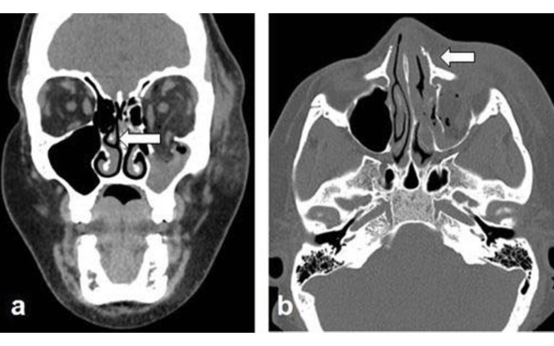
The total number of deep injuries (injuries to deep internal organs) was 28 during 2020 versus 16 from 2017 to 2019. The number of deep injuries per victim was 1.1 during 2020 compared with 0.4 from 2017 to 2019. The incidence of high-risk abuse defined by mechanism (injuries due to strangulation, stab injuries, burns or use of weapons such as knives, guns and other objects that could inflict deep injuries) was 2 times greater. Patients with IPV during the COVID-19 pandemic were more likely to be ethnically white. Seventeen (65%) victims in 2020 were white, compared to 11 (26%) in the prior years.
“During the pandemic, victims experienced more injuries to the chest and abdomen compared to prior years,” said coauthor Babina Gosangi, MD, assistant professor of radiology at Yale New Haven Health in New Haven, Connecticut, and former emergency radiology fellow at Brigham and Women’s Hospital. “For instance, one victim sustained multiple bilateral rib fractures with right pneumothorax and bilateral lung contusions—requiring hospital admission for more than 10 days—after she was repeatedly punched in the chest. Another victim was stabbed in the abdomen and had lacerations to the liver and kidney.”
Radiologists Can Help Identify Victims of IPV
It is challenging to help IPV victims in the time of the pandemic when health care providers are overwhelmed by COVID-19 patients. In addition, alternative options for IPV victims to seek help have decreased. Many ambulatory clinics are no longer seeing as many patients in person due to the virus and are instead pivoting their services to virtual consultation. Telehealth visits limit the opportunity to visualize bruises or other signs of physical trauma and hamper the ability of the health care provider to gather nonverbal cues.
It may also be difficult for victims who are at home to report IPV, and health care providers may be omitting IPV screening questions altogether on these calls due to patient’s limited privacy. Therefore, the role of radiologists in identifying victims of IPV through imaging exams has become crucial.
By recognizing high imaging utilization, location and imaging patterns specific to IPV, old injuries of different body parts, and injuries inconsistent to provided history, radiologists can identify victims of IPV even when the victims are not forthcoming.
Dr. Khurana, who is also assistant professor of radiology at Harvard Medical School in Boston, sees this as an opportunity for radiologists to use their expertise in providing patient-centered care and play a critical role in facilitating early intervention, preventing life-threatening injuries and saving lives by early identification of IPV victims.
“As health care providers, we are missing opportunities to identify victims early in the cycle during the pandemic,” she said. “There is under-reporting by the victims, accentuated due to fear of seeking care due to COVID-19. At the same time, IPV-related injuries may be getting overlooked or misinterpreted, as our frontline physicians are overwhelmed by a vast number of COVID-19 patients in the Emergency Department.”
The researchers emphasize that radiologists and other health care providers should proactively participate in identifying IPV victims and reaching out to vulnerable communities as an essential service during the pandemic and other crisis situations.
For More Information
Access the Radiology study, “Exacerbation of Physical Intimate Partner Violence during COVID-19 Lockdown.”
Read RSNA News coverage of Dr. Khurana's previous study on domestic violence and the role that radiologists play in identifying injuries.
