Preoperative MRI as a Screening Tool for Diagnosing Contralateral Breast Cancer
Long-term impact of MRI screening impacts overall survival for patients


Compared to the incidence of breast cancer in general, women with breast cancer are twice as likely to develop contralateral breast cancer. This is the result of increasing instances of the disease, improved treatment options and expanding life expectancy.
Because delayed detection of contralateral breast cancer can result in a second round of treatment, a patient should undergo screening of the contralateral breast at the time of initial diagnosis in one breast. Screening is typically done via a combination of physical examination and mammography. However, this approach risks letting cancers go undetected, particularly in dense breasts, which tend to have a low sensitivity to mammography.
One option to fill this gap is preoperative MRI, which can be used to better assess tumor size and to detect other potential tumors in the same breast and in the contralateral breast.
Conflicting Study Results Led to Confusion About Potential Benefits
While MRI has the potential to depict cancers missed during clinical examination and mammography, its usefulness in relation to contralateral breast cancer remains inconclusive—if not controversial. As Vivianne Freitas, MD, MSc, assistant professor of radiology at the University of Toronto, explained, “The diagnostic value of screening the contralateral breast with MRI in patients with newly diagnosed breast cancer has been poorly understood.”
This confusion stems from different studies producing contradictory results. For example, whereas three retrospective studies found a significantly lower rate of contralateral breast cancer in patients who underwent MRI, another three studies found no significant differences between women who did and did not undergo MRI.
Other studies failed to determine the effect MRI has had on overall survival, and even though pooled data has determined that MRI is associated with a 4.1% incremental rate of detection of contralateral breast cancer, its significance remains uncertain.
“All of this highlights the need for additional data on preoperative MRI as a screening tool for diagnosing contralateral breast cancer,” Dr. Freitas said.

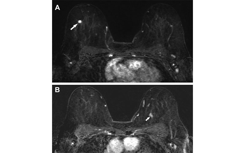
Axial, fat-saturated, contrast-enhanced, and subtracted T1-weighted MRI scans in a 65-year-old woman with newly diagnosed breast cancer show (A) a 0.7-cm irregular homogeneously enhancing mass in the upper outer right breast (arrow) and (B) contralateral disease detected only with MRI as a 1.2-cm area of nonmass enhancement in the upper inner quadrant (arrow). After bilateral lumpectomy with sentinel lymph node biopsy, the final pathologic examination showed bilateral invasive ductal carcinoma, histologic grade I, with negative lymphovascular invasion, positivity for estrogen and progesterone receptors, and negativity for human epidermal growth factor 2 receptor; both were negative for axillary node disease. The patient underwent radiation therapy and then endocrine therapy for 5 years, with no evidence of local or distant recurrence 11 years after treatment.
https://doi.org/10.1148/radiol.212361 © RSNA 2022
MRI’s Beneficial Effect on Overall Survival
Dr. Freitas is the lead author of a recent Radiology study on contralateral breast screening with preoperative MRI.
“The primary aim of our study was to assess the long-term impact of MRI of the contralateral breast as a screening tool for newly diagnosed breast cancer patients,” Dr. Freitas added.
The retrospective study included patients with newly diagnosed breast cancer not treated with neoadjuvant systemic therapy. The final matched study group included 470 patients in the MRI group and 235 in the no-MRI group.
The MRI group showed synchronous disease more frequently (5.7% of patients vs. 2.1% of patients), and demonstrated higher overall survival, while no difference in the length of time from either the date of diagnosis or the start of treatment, to the date of death from the disease, was observed. With a mean follow-up of 10 years, the overall mortality due to breast cancer was 4.5% in the MRI group and 7.7% in the no-MRI group.
According to Dr. Freitas, these results help clear up some of the confusion surrounding the diagnostic value of screening the contralateral breast with MRI.
“Our study shows that preoperative MRI screening may be useful to not only increase the diagnostic rate of synchronous disease but also significantly impact overall survival,” Dr. Freitas explained.
According to Patrice Taourel, MD, PhD, chief of the radiology department at Lapeyronie Hospital in Montpellier, France, the finding of better overall survival in patients undergoing MRI for staging is significant.
“This might support the systematic use of MRI in all patients with newly diagnosed breast cancer,” he wrote in an editorial introducing the Freitas’ study in the August 2022 issue of Radiology.
By showing MRI’s beneficial effect on overall survival, Dr. Freitas said the study essentially substantiates the clinical value of MRI screening for contralateral breast cancer.
“This helps overcome the argument that increased detection of synchronous disease with MRI is related to lead-time bias,” he said.
The study also investigated which groups of patients stand to benefit the most from MRI in terms of survival. It found that patients with a worse prognosis because of advanced age, larger tumor size, histologic grade III tumor and positivity for axillary lymphadenopathy were the best candidates.
“These findings may be impactful, since the guidelines recommending MRI in the staging of breast cancer do not generally refer to such characteristics,” Dr. Taourel wrote.
For More Information
Access the Radiology study, “Contralateral Breast Screening with Preoperative MRI: Long-Term Outcomes for Newly Diagnosed Breast Cancer,” and accompanying editorial, “MRI to Detect Contralateral Breast Cancer in Patients with Newly Diagnosed Breast Cancer: An Increase in Overall Survival to Be Confirmed."
Read previous RSNA News articles on breast cancer screening:
- Access, Cost and Awareness Among the Barriers to Screening Mammography
- Study Finds Racial Disparities in Access to New Mammography Technology
- Breast MRI Illuminates Risk of Second Breast Cancer