New Study Confirms Higher Cancer Rate in Women with Dense Breast Tissue
Study supports automated breast density classification as a future standard for breast cancer screening

Researchers using automated breast density measurements have found that women with mammographically dense breast tissue have higher recall and biopsy rates and increased odds of screen-detected and interval breast cancer, according to a large new study from Norway published in Radiology.
Previous studies on mammographically dense breasts have relied on subjective density assessments – most commonly, the radiologist’s subjective interpretation using the American College of Radiology’s Breast Imaging Reporting and Data System (BI-RADS). This approach introduces potential mammogram reader variability into density categorization, said the study’s principal investigator, Solveig Hofvind, PhD, from the Cancer Registry of Norway in Oslo.
For the new study, Dr. Hofvind and colleagues used automated software to help classify mammographic density in 107,949 women ages 50 to 69 from BreastScreen Norway, a national program that offers women screening every two years. The researchers looked at a total of 307,015 digital screening examinations that took place from 2007 to 2015.
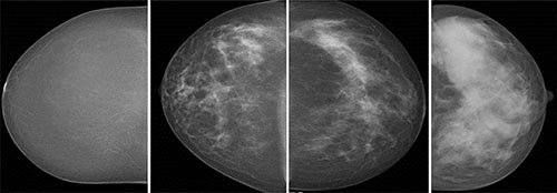
Detection, Recall and Biopsy Rates Higher in Dense Tissue Screenings
The automated software classified breasts as dense in 28 percent of the screening examinations. Rates of screen-detected cancer were 6.7 per 1,000 examinations for women with dense breast tissue and 5.5 for women with non-dense breasts. Interval breast cancer, or breast cancer detected between screenings – usually by palpation – was 2.8 per 1,000 in the dense breast tissue group and 1.2 for women with non-dense tissue.
The recall rate, or rate at which women are called back for additional examination based on suspicious mammographic findings, was 3.6 percent for women with dense breasts, compared with 2.7 percent in women with non-dense breasts. The biopsy rate of 1.4 percent in the dense breasts group was higher than the 1.1 percent rate for women in the non-dense category.
More Advanced Cancers Detected in Women with Dense Breast Tissue
Mammographic sensitivity for detecting breast cancer was 71 percent for women with dense breasts, compared to 82 percent for women with non-dense breasts. Cancers detected at screening were more advanced among women in the dense breast tissue group. Average tumor diameter for screen-detected cancers was 16.6 millimeters (mm) in the dense breasts group, compared to 15.1 mm for the non-dense group. Lymph-node-positive disease was found in 24 percent of women with dense breasts, compared with 18 percent for women with non-dense breasts.
Dr. Hofvind noted that more than half of states in the U.S. have enacted breast density legislation, with some states requiring that women be informed about their breast density or that additional imaging could be beneficial. However, supplemental screening for women with dense breasts currently is not recommended by any of the major health care societies or organizations, and more research is needed before widespread changes are made.
“We need well-planned and high-quality studies that can give evidence about the cost-effectiveness of more frequent screening, other screening tools such as tomosynthesis and/or the use of additional screening tools like MRI and ultrasound for women with dense breasts,” Dr. Hofvind said. “Further, we need studies on automated measurement tools for mammographic density to ensure their validity.”

Web Extras
- Access the study, “Automated Volumetric Analysis of Mammographic Density in a Screening Setting: Worse Outcomes for Women with Dense Breasts,” at https://pubs.rsna.org/doi/10.1148/radiol.2018172972