AI Accurately Identifies Normal and Abnormal Chest X-Rays
Model may perform especially well in outpatient settings with high prevalence of normal chest X-rays

An AI tool can accurately identify normal and abnormal chest X-rays in a clinical setting, according to a study published in Radiology. The tool may greatly alleviate the heavy workload experienced by radiologists globally.
“There is an exponentially growing demand for medical imaging, especially cross-sectional such as CT and MRI,” said study co-author Louis Lind Plesner, MD, from the Department of Radiology at the Herlev and Gentofte Hospital in Copenhagen, Denmark. “Meanwhile, there is a global shortage of trained radiologists. Artificial intelligence has shown great promise but should always be thoroughly tested before any implementation.”
For this retrospective, multi-center study, Dr. Plesner and colleagues wanted to determine the reliability of using an AI tool to identify normal and abnormal chest X-rays.
They used a commercially available AI tool to analyze the chest X-rays of 1,529 patients from four hospitals in the capital region of Denmark. Chest X-rays were included from emergency department patients, in-hospital patients and outpatients. The X-rays were classified by the AI tool as either “high-confidence normal” or “not high-confidence normal” as in normal and abnormal, respectively.
Two board-certified thoracic radiologists were used as the reference standard. A third radiologist was used in cases of disagreements, and all three physicians were blinded to the AI results.

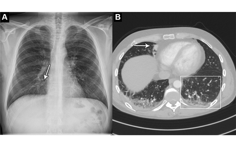
Images in a 44-year-old man who presented with chest pain and dyspnea. (A) Chest X-ray shows very subtle nodular opacities, primarily in lower lobes, representative of pneumonia and a discrete silhouette sign of the right cardiac border (arrow). The AI system interpreted this chest X-ray as normal. It was also interpreted as normal in the clinical radiology report. (B) CT scan shows the lower lobe airspace opacities with vague tree-in-bud morphology (box) and an area of consolidation (arrow). Pulmonary angiography was performed 5 hours after X-ray. This was the sole false-negative “critical” finding by the AI tool.
https://doi.org/10.1148/radiol.222268 © RSNA 2023
Tool Identifies Abnormal Chest X-Rays with 99.1% Sensitivity
Of the 429 chest X-rays that were classified as normal, 120, or 28%, were also classified by the AI tool as normal. These X-rays, or 7.8 % of all the X-rays, could be potentially safely automated by an AI tool. The AI tool identified abnormal chest X-rays with 99.1% sensitivity.
“The most surprising finding was just how sensitive this AI tool was for all kinds of chest disease,” Dr. Plesner said. “In fact, we could not find a single chest X-ray in our database where the algorithm made a major mistake. Furthermore, the AI tool had a sensitivity overall better than the clinical board-certified radiologists.”
According to the researchers, further studies could be directed toward larger prospective implementation of the AI tool where the autonomously reported chest X-rays are still reviewed by radiologists.
The AI tool performed especially well at identifying normal X-rays of the outpatient group at a rate of 11.6%. This suggests that the AI model would perform especially well in outpatient settings with a high prevalence of normal chest X-rays.
“Chest X-rays are one of the most common imaging examinations performed worldwide,” Dr. Plesner said. “Even a small percentage of automatization can lead to saved time for radiologists, which they can prioritize on more complex matters.”
For More Information
Access the Radiology study, “Autonomous Chest Radiograph Reporting Using AI: Estimation of Clinical Impact,” and the related editorial.
Read previous RSNA News stories on AI: