Radiology: Cardiothoracic Imaging Publishes Special Report on Vaping
Radiology plays emerging role in identifying vaping-associated lung injuries


To raise awareness among radiologists and other medical professionals on how to identify electronic-cigarette (e-cigarettes), or vaping product use-associated lung injury (EVALI), Radiology: Cardiothoracic Imaging has published a special report on lung injury resulting from the use of e-cigarettes or vaping.
In the report, Authors Suhny Abbara, MD, and Fernando Uliana Kay, MD, PhD, from the Department of Radiology at UT Southwestern Medical Center in Dallas, review recent cases of e-cigarette–associated lung injury from the literature with the goal of continuing the conversation on this relatively new and specific type of lung injury and encouraging multi-specialty research.
“Radiologists will continue to play an important role in recognizing this emerging entity,” said Dr. Abbara, who is also the editor of Radiology: Cardiothoracic Imaging. “We encourage the medical imaging community to produce scientific evidence and medical knowledge to help advance our collective understanding of the effects of e-cigarette use on the lungs and other organ systems.”
According to the Centers for Disease Control (CDC), more than 9 million adults in the U.S. use e-cigarettes, and vaping has become especially popular among teens. The 2018 National Youth Tobacco Survey reported that in 2018 more than 3.6 million middle and high school students were using e-cigarettes.
The CDC, the U.S. Food and Drug Administration and state and local health departments have started an investigation into the recent outbreak of lung injury associated with the use of e-cigarettes. As of October 22, 2019, 1,604 cases have been reported from 49 U.S. states, the District of Columbia, and one U.S. territory. Thirty-four cases have resulted in death. However, these numbers likely underestimate the true incidence and prevalence of disease due to lack of recognition and reporting of vaping-associated lung injury.
“However, these cases are by no means comprehensive, and the publicly available data may represent only the tip of the iceberg,” according to the authors.
Radiology Key to Research Initiatives
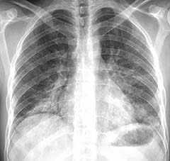
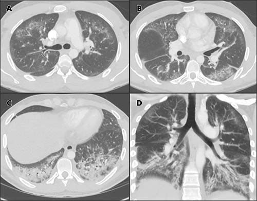
In one case highlighted in the report, Drs. Abbara and Kay illustrate some of the radiographic and CT findings of lung injury in the clinical case of a 24-year-old male patient with past medical history of asthma, who presented with shortness of breath, productive cough, chest pain and fever for one week. The patient reported current daily use of e-cigarettes (with tobacco) and marijuana, without substantial change in recent vaping habits. He had high white cell and platelet counts.
The radiologic findings included bilateral basilar predominant ground-glass and reticular opacities in both lungs. Histologic specimens obtained from the right lower lobe at biopsy were suggestive of lipoid pneumonia, according to the report. The patient was given steroids with a presumptive diagnosis of lung injury associated with e-cigarette use.
“The diagnosis of lung injury due to e-cigarette use should be a differential possibility in patients presenting with bilateral lung opacities on radiographs or ground-glass opacities on chest CT images and exposure to e-cigarette products within 90 days of the presentation,” Dr. Abbara said.
The report outlines that research into vaping-associated lung injury should be approached as a team effort by members of multiple specialties, including pathologists, epidemiologists, pulmonologists and emergency physicians, but highlights the critical role of radiologists.
“It is crucial that radiologists drive some of the research initiatives to better understand the mechanisms of disease presentation, facilitating the diagnosis and management of these patients,” Dr. Abbara said.
For Your Information
Access the Radiology: Cardiothoracic Imaging study, Electronic Cigarette or Vaping-associated Lung Injury (EVALI): The Tip of the Iceberg.
Access the RSNA News stories:
RSNA 2019 Highlights Vaping Session
A Special Interest Session, E-cigarette/Vaping-associated Lung Injury (EVALI), will be held at RSNA 2019 on Monday, Dec. 2 at 4:30 p.m. The session will be moderated by Mark L. Schiebler, MD, and Jeffrey S. Klein, MD.

