Older Women Benefit Significantly When Screened with 3D Mammography
Study compares screening mammography versus tomosynthesis in older female patients.

Mammography remains an effective method for breast cancer screening in women ages 65 and older, with the addition of tomosynthesis improving screening performances even more, according to a study published in Radiology.
Breast cancer is the most common cancer and the second most common cause of death from cancer among women in the United States. Research has shown that digital 2D mammography (DM) is effective at reducing breast cancer-related mortality through early detection. In 2011, the U.S. Food and Drug Administration approved tomosynthesis for breast cancer screening. Since then, it has become widely used as an adjunct to DM.
Even with these technological improvements, the benefits of breast cancer screening in older women have been subject to debate. The United States Preventive Services Task Force recommends screening mammography only until the age of 74, while other professional groups do not recommend stopping screening based on age.
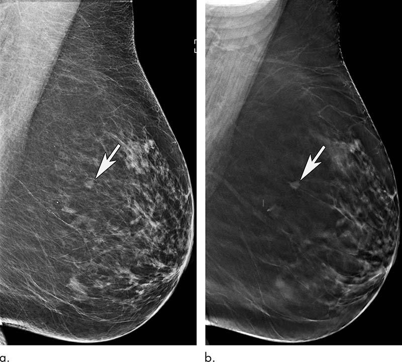
Study Showed Lower False-Positive Exams With Tomosynthesis
In the new study, researchers at Massachusetts General Hospital (MGH) compared screening mammograms from more than 15,000 women (mean age 72.7 years) who underwent DM with those of more than 20,000 women (mean age 72.1 years) who underwent tomosynthesis. Both approaches were highly effective at detecting cancer, but tomosynthesis had some advantages over the 2D approach, including a reduction in false-positive examinations. Tomosynthesis also had a higher positive predictive value and higher specificity than DM.
“We’ve shown that screening mammography performs well in older women, with high cancer detection rates and low false-positives, and that tomosynthesis leads to even better performance than conventional 2D mammography,” said study lead author Manisha Bahl, MD, MPH, radiologist at MGH and assistant professor of radiology at Harvard Medical School. “For example, the abnormal interpretation rate, which is the percentage of women who are called back for additional imaging after a screening mammogram, is lower with tomosynthesis than with conventional 2D mammography. We also found that fewer cancers detected with tomosynthesis were lymph node-positive, suggesting that we are detecting cancers at an earlier stage. Detecting breast cancers at an early stage is the goal of screening mammography.”
The study results do not support a specific age cutoff age for mammography screening, according to Dr. Bahl. She said that guidelines for screening in older women should be based on individual preferences, life expectancy and health status rather than age alone.
“Our research demonstrates that screening mammography and tomosynthesis perform well in older women with regard to cancer detection and false-positives,” she said. “So, if a woman is healthy and would want her cancer to be treated if it were detected, then she should continue screening.”
Dr. Bahl expects the combination of DM and tomosynthesis to eventually become the standard for screening at all practices.
Web Extras
Access the Radiology study, “Digital 2D versus Tomosynthesis Screening Mammography among Women Aged 65 and Older in the United States,” at pubs.radiology.org.
Also read the editorial accompanying this study.