Don't miss a thing from RSNA!

To ensure you receive all future messages, please add our new sender domain, info.rsna.org, to your contacts or safe sender list.

OK

Video Games Improve Brain Connections in Multiple Sclerosis Patients

A video game–based cognitive rehabilitation program may be an effective option for improving the cognitive abilities of patients with multiple sclerosis (MS), according to new research published online in the journal Radiology.

Laura De Giglio, M.D., Ph.D., of Sapienza University of Rome, and colleagues found that the program induces functional modification of thalamocortical functional connectivity (FC) in areas mainly located in the cingulum, precuneus, and bilateral parietal cortex, in the cerebellum and in the left prefrontal cortex.

Researchers evaluated 24 patients with MS and cognitive impairment, randomly assigning them to either an intervention or a wait-list group. Repeated measures analysis of variance was used to test efficacy of the intervention. The thalamic resting-state network was identified with a seed-based method; both first-level and high-level analyses were performed using software tools.

“Results show the relevance of thalamic regulation of the brain networks involved in cognition and suggest that changes in thalamic resting-state network connectivity may represent a functional substrate for cognitive improvement associated with a video game–based cognitive rehabilitation program,” the authors write.

Axial statistical maps show areas of reduced thalamic functional connectivity (FC) in patients with MS compared with that in healthy subjects.
Figure 1: Axial statistical maps show areas of reduced thalamic functional connectivity (FC) in patients with MS compared with that in healthy subjects. Patients exhibited significantly lower FC in clusters located in the cerebellum, frontal and occipital cortices, caudate nucleus, and thalamus, bilaterally. 
 Graph shows mean cognitive test scores at baseline and follow-up in the intervention group (IG) and wait-list group (WLG). Bars indicate raw scores for cognitive test results.
Figure 2: Graph shows mean cognitive test scores at baseline and follow-up in the intervention group (IG) and wait-list group (WLG). Bars indicate raw scores for cognitive test results. Paired t test P values are reported only for significant differences between baseline and follow-up.
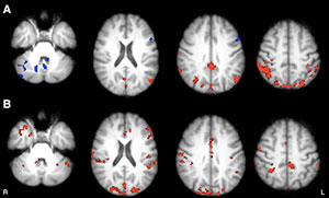
Axial functional connectivity (FC) maps show changes in thalamic FC after 8 weeks in both groups of patients with MS. Areas of increased FC are represented in red, areas of reduced FC in blue.
Figure 3: Axial functional connectivity (FC) maps show changes in thalamic FC after 8 weeks in both groups of patients with MS. Areas of increased FC are represented in red, areas of reduced FC in blue. A, Intervention group shows increased FC in occipital, medial, and lateral parietal and posterior cingulate cortices, bilaterally; decreased FC in vermis and left dorsal-lateral prefrontal cortex. B, Wait-list group shows increased FC in frontal, occipital, and medial parietal cortices, bilaterally; cerebellum; and right temporal lobe.

Web Extras