COVID-19: Scientific Updates
Updates on scientific advances in the COVID-19 public health crisis

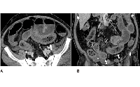
Imaging Reveals Bowel Abnormalities in Patients with COVID-19
Patients with COVID-19 can have bowel abnormalities, including ischemia, according to a new study published in Radiology.

New Research Highlights Blood Clot Dangers of COVID-19
A special report in Radiology outlines prevention, diagnosis and treatment of complications stemming from blood clots in patients with COVID-19. The journal also published two research letters and a case study on this topic.

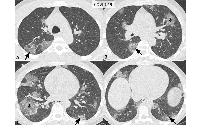
Experts Issue Guide on Lung Cancer Screening, Management During COVID-19
A new expert panel consensus statement published in the journals Radiology: Imaging Cancer, Chest and the Journal of the American College of Radiology provides guidance to clinicians managing lung cancer screening programs and patients with lung nodules during the COVID-19 pandemic.

RSNA Offers Video Series and Discussion on Structured Reporting for Assessment of COVID-19
RSNA has shared a three-part video series on structured reporting for chest X-ray and CT findings in the assessment of COVID-19.

RSNA Publishes Fleischner Statement on Chest Imaging and COVID-19
A multinational consensus statement from the Fleischner Society on the role of chest imaging in the management of patients with COVID-19 was jointly published in Radiology and Chest.

RSNA Publishes Expert Consensus on COVID-19 Reporting
RSNA has published an expert consensus statement on reporting chest CT finding related to COVID-19. The statement, published in Radiology: Cardiothroacic Imaging, is endorsed by the RSNA, the American College of Radiology and the Society of Thoracic Radiology.

RSNA Announces COVID-19 Imaging Data Repository
RSNA continues to build on its extensive body of COVID-19 research and education resources, announcing a new initiative to build a COVID-19 Imaging Data Repository.