Non-Contrast MRI is Effective in Monitoring MS Patients
Findings support the possibility that contrast can be omitted from routine follow-up scans.
March 12, 2019

Wiestler
Brain MRI without contrast agent is just as effective as the contrast-enhanced approach for monitoring disease progression in patients with multiple sclerosis (MS), according to a new study in Radiology.
MRI with the administration of gadolinium-based contrast material is widely considered obligatory for follow-up scans of patients with MS. Gadolinium enhances the images and helps provide important diagnostic information, but it leads to both prolonged scan times and increased costs. There is also evidence that some of the metal remains in the body after contrast administration, although the long-term clinical impact of these deposits is unclear.
“These factors warrant evaluation of strategies for reducing or omitting contrast agent, especially in MS patients who often accumulate a high number of MRI scans over their lifetimes,” said study senior author Benedikt Wiestler, MD, from the Technische Universität München in Munich, Germany.
Advances in non-contrast MRI image acquisition and post-processing technology, along with the increasing availability of 3T MRI machines, have raised the possibility that non-enhanced scans could have a role in MS follow-up imaging.
Study Demonstrates Potential of 3T MRI for MS Evaluation
Dr. Wiestler and colleagues used MRI to assess new or enlarged lesions in 359 patients with MS. Of 507 follow-up scans, 264 showed interval progression, defined as the presence of at least one new or unequivocally enlarged lesion on follow-up MRI scans. There were a total of 1,992 new or enlarged lesions. With 3T MRI, the assessment of interval progression did not differ significantly between the contrast-enhanced and non-enhanced images.

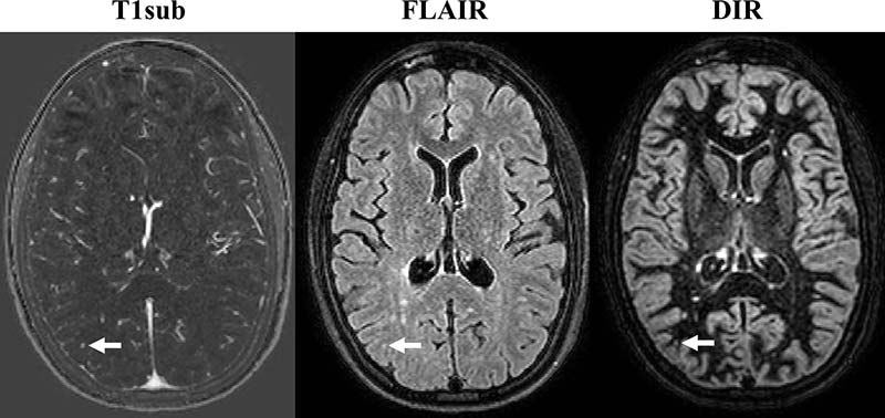
Axial MR images obtained in 32-year-old woman with relapsing-remitting multiple sclerosis. Images were obtained with subtraction of unenhanced T1-weighted MR image from contrast-enhanced MR image (T1sub), fluid-attenuated inversion recovery (FLAIR), and double inversion recovery (DIR). The new lesion (arrow), a small, subcortical lesion in right parietal lobe, is seen only on contrast-enhanced image; it was overlooked on DIR and FLAIR images. Note that there are several other new or enlarged lesions that can be seen on nonenhanced images.
“In over 500 follow-up scans, we missed only four of 1,992 new or enlarged lesions,” Dr. Wiestler said. “Importantly, we did not miss disease activity in the non-enhanced scans in a single follow-up scan.”
Dr. Wiestler credited an image subtraction pipeline developed and researched at his facility for the powerful sensitivity of the non-contrast MRI in detecting newly occurring lesions. The approach combines 3D MRI and subtraction techniques, substantially improving visualization of new or enlarging white matter lesions.
This combination of 3D sequences and subtraction techniques is key to improving sensitivity for detecting newly occurred lesions, Dr. Wiestler said.
“Several vendors have made tools for generating subtraction images commercially available,” he said. “Implementing such tools into the routine clinical work flow will help to make the use of contrast agent dispensable in routine follow-up imaging of MS patients.”
Access the Radiology study, “Accuracy of Unenhanced MRI in the Detection of New Brain Lesions in Multiple Sclerosis,” at pubs.radiology.org.