Don't miss a thing from RSNA!

To ensure you receive all future messages, please add our new sender domain, info.rsna.org, to your contacts or safe sender list.

OK

Experts Say FDA Dense Breast Proposal is an Important Step Forward


Berg
Kontos

Breast imaging experts are applauding a proposed update to the Mammography Quality Standards Act by the U.S. Food and Drug Administration (FDA) that would require providers to use standardized reporting language to notify patients of their individual breast density status.

The FDA proposed rule, issued on March 28, is an important step in ensuring that women receive critical breast density information after a mammogram, said Wendie Berg, MD, PhD, a professor of radiology at the University of Pittsburgh Medical Center’s Magee-Women’s Hospital. Public comment on the FDA proposal will be accepted through June 26, 2019.

“Under the proposal, all women would be told whether they have dense breasts or not, which can guide their decisions for breast screening,” Dr. Berg said.

That has not always been the case despite laws in 37 states that require some form of breast density notification after a mammogram, said Dr. Berg, the scientific director and co-founder of DenseBreast-Info.org, a public information site that provides legislation updates and education resources for patients and health care providers.

“Many of these laws don’t actually require radiologist’s mammography result letters to tell a woman if she herself has dense breasts,” Dr. Berg said. “For example, a law might require terminology such as, ‘If your…breasts are dense’ or ‘Your mammogram may show… dense breasts’ or other general language about density. It’s been a source of confusion.”

Dr. Berg and JoAnn Pushkin, executive director of DenseBreast-Info.org, plan to submit a letter during the FDA’s public comment period commending the agency’s work on reporting standards and offering suggestions to further clarify the language in state laws and letters to patients.

In a comparison of current laws in three adjacent states, Dr. Berg and colleagues demonstrated the importance of explicitly stating whether the patient herself has dense breasts.

Currently in New York, when a mammogram shows that a woman has heterogeneously or extremely dense breasts, the notification language is, “Your mammogram shows that your breast tissue is dense,” while in Connecticut, women with the same density types receive a notification stating, “If your mammogram demonstrates that you have dense breast tissue…” In New Jersey, every woman regardless of density findings receives a standard statement beginning, “Your mammogram may show that you have dense tissue.”

Even in cases in which women have been told their specific density category, the language can be confusing, Dr. Berg said.

“We are trying to do the right thing in Pennsylvania by telling a woman her exact category — fatty, scattered, heterogeneously dense or extremely dense. The words used in the Breast Imaging Reporting and Data System (BI-RADS), of course, are ‘scattered areas of fibroglandular density’. We heard that some facilities weren’t defining that term, and that women were seeing the word ‘density’ and thinking that meant they had dense breasts.”

If finalized, the FDA proposal would apply to all states, further underscoring the need for the language in the legislation to be clear, Dr. Berg said. The FDA's proposed requirement follows a federal funding bill signed into law in February that requires the FDA to develop new breast density reporting language to be included in patient information.

Beyond Breast Density

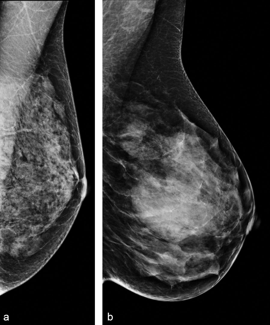
Recent radiologic research has provided more insight into variations in breast parenchyma among women, even beyond categories of density. In a recent Radiology study, researchers identified distinct radiomic phenotypes that offer potential for risk quantification and ultimately may augment breast cancer risk prediction models.

So far, breast density has been a surrogate for characterizing breast complexity said lead author Despina Kontos, PhD, an associate professor of radiology at the Perelman School of Medicine, University of Pennsylvania, Philadelphia.

“It’s a measurement that has been the most easy and straightforward,” Dr. Kontos said. “But there’s more information in the images that we could be mining with modern computer analysis, especially information that may be related to how the normal breast environment could be fostering the development of cancer.”

Led by Dr. Kontos, the Computational Breast Imaging Group at the University of Pennsylvania plans to investigate how different phenotypes relate to the underlying biology of normal breast tissue.

In terms of the FDA proposal, Dr. Kontos said it is another step toward tailoring breast cancer screening to a woman’s individual personal characteristics. “Giving women the information they need is the best way to make them part of the conversation,” she said.

FDA Seeks Public Comments on Breast Density Proposal by June 26

The public is invited to access the full FDA breast density proposal and submit public comments on the measure at https://www.federalregister.gov/documents/2019/03/28/2019-05803/mammography-quality-standards-act

Web Extras

Access the Radiology study, “Radiomic Phenotypes of Mammographic Parenchymal Complexity: Toward Augmenting Breast Density in Breast Cancer Risk rel="noopener noreferrer" Assessment,” at https://pubs.rsna.org/doi/10.1148/radiol.2018180179

Images show examples of negative digital screening mammograms of women with (a) high density and high complexity (percent density [PD], 42%; complexity score [CS], 0.6), (b) high density and low complexity (PD, 43%; CS, 20.6). Corresponding age and body mass index for these women were (a) 54 years and 19.5 kg/m2, (b) 46 years and 28.7 kg/m2. Kontos, et al, Radiology 2018 © Radiology 2019