Blast Exposure Linked to Brain Aneurysms in U.S. Special Operations Forces

Repeated low-level blasts may leave a distinct vascular signature


Sara De Giorgi, MD
De Giorgi

In a large sample of U.S. Special Operations Forces personnel, researchers found that a higher prevalence of intracranial aneurysms were independently associated with greater repeated blast exposure. Results of the study were published in Radiology.

Special Operations Forces are elite, highly trained military units designed for clandestine, high-risk and time-sensitive missions beyond the capability of conventional forces. Controlled by U.S. Special Operations Command, these units specialize in unconventional warfare, direct action, counterterrorism and reconnaissance.

These units include the Green Berets, 75th Ranger Regiment, Navy SEALs and the Marine Forces Special Operations Command, among others.

Blast exposure is common in military service, yet its long-term effects on the brain remain poorly understood. Researchers looked to determine the prevalence of structural brain MRI abnormalities in Special Operations Forces personnel and examine their association with cumulative blast exposure.

“This study is the first to examine the relationship between cumulative blast exposure and structural brain MRI findings in a large group of U.S. Special Operations Forces,” said lead author Sara De Giorgi, MD, radiologist and postdoctoral research fellow in neuroradiology at Massachusetts General Hospital in Boston. “We found that intracranial aneurysms were more common in individuals with higher blast exposure.”

For the study, 564 U.S. Special Operations Forces personnel (mean age 43 years, 563 men) were evaluated in the Comprehensive Brain Health and Trauma Program. All underwent 3T brain MRI with time-of-flight MR angiography (MRA). Imaging findings were extracted from structured neuroradiology reports. Blast exposure was quantified using the Generalized Blast Exposure Value—a numerical score that measures the cumulative impact of repeated low-intensity blasts (e.g., from training).

“By using a quantitative measure of blast exposure, we were able to identify this association in a population where many MRI findings are often nonspecific and difficult to interpret,” Dr. De Giorgi said.

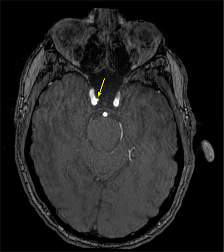
Representative axial time-of-flight MR angiography image shows a medially projecting intracranial aneurysm originating from the right cavernous segment of the internal carotid artery.

Representative axial time-of-flight MR angiography image in a 35-year-old male participant shows a medially projecting intracranial aneurysm (arrow) originating from the right cavernous segment of the internal carotid artery.

https://doi.org/10.1148/radiol.252415 ©RSNA 2026

MRI Findings Point to Vascular Effects

The most prevalent MRI finding was white matter hyperintensities (215/564, 38.1%), followed by intracranial aneurysms (33/564, 5.9%). Among all evaluated MRI findings, only intracranial aneurysms were associated with cumulative blast exposure. No association was observed for other structural abnormalities, including white matter hyperintensities.

Aneurysm prevalence was greater in the high-exposure group (21/220, 9.5%) compared to the low-exposure group (6/220, 2.7%).

“Intracranial aneurysms were three times more common in highly exposed personnel,” Dr. De Giorgi said.

“Even after accounting for other health factors such as age and blood pressure, the association remained significant. These findings suggest that repeated blast exposure may leave a measurable vascular signature in the brain.”

The findings point to a possible long-term vascular effect of repeated low-level blast exposure during years of service. 

“These vascular changes can be seen with routine MRI scans, making the findings directly relevant to everyday radiology practice,” Dr. De Georgi said. “Radiologists may use this information when interpreting brain MRIs in patients with a history of repeated blast exposure, helping identify possible vascular abnormalities, such as aneurysms. In addition, our preliminary results suggest that screening MRAs may be warranted in this population.”

The injury pattern seen in the Special Forces population is very different from civilian trauma, Dr. De Giorgi added.

“Instead of single, obvious injuries like car accidents or falls, these service members face years of low-level blast exposure from shockwaves that pass through the brain even when no external injury is visible,” she said. “This repeated, invisible trauma can leave lasting effects that only now we are beginning to detect with advanced imaging.”

For More Information

Read the Radiology study, “Brain MRI Analysis of Cumulative Blast Exposure and Intracranial Aneurysms in Special Operations Forces,” and accompanying editorial, “Subclinical Repetitive Head Trauma: A Potential New Risk Factor for Brain Aneurysms.”

Read previous RSNA stories on brain imaging: