Study Evaluating Lung Cancer Screening Program Receives Margulis Award
The 20-year follow-up provides an estimate of the cure rate achieved in annual screening programs


Research evaluating the 20-year outcome of the International Early Lung Cancer Action Program (I-ELCAP) has earned the 2024 Alexander R. Margulis Award for the best original scientific article published in Radiology.
Decades after it launched, I-ELCAP has demonstrated a stable long-term lung cancer-specific survival rate for participants of the low-dose CT program of annual screening.
“The 2024 Margulis Award is the first study to report on 20-year lung cancer-specific survival for low-dose CT screening programs,” said Radiology Editor Linda Moy, MD. “Through accurate tracking of participants' lung cancer diagnoses, treatments and outcomes, the study showed that patients diagnosed with lung cancer by low-dose CT screening have a 20-year survival rate of 80%. These results unequivocally demonstrate the life-saving impact of low-dose CT screening for early lung cancer detection.”
“With this study, we hoped to demonstrate persistence of the high cure rate of lung cancer resulting from low-dose CT screening in our 10-year follow-up published in the New England Journal of Medicine in 2006,” said co-lead author Claudia I. Henschke, PhD, MD, professor of radiology and director of the Early Lung and Cardiac Action Program at the Icahn School of Medicine at Mount Sinai in New York. “More importantly, we want people to understand that if you enter into a screening program that uses a well-defined protocol and comprehensive management system, your chances of being cured are very high.”
Between 1992 and 2022, Dr. Henschke, co-lead author Rowena Yip, PhD, an assistant professor of diagnostic, molecular and interventional radiology at Mt. Sinai, and their colleagues enrolled more than 89,000 participants from over 80 institutions distributed across North America and countries in Europe and Asia. Out of this patient population, 1,257 participants were diagnosed with lung cancer, the majority of which had Stage I disease.
The estimated cure rate based on the 20-year survival rate for all 1,257 participants diagnosed with lung cancer in the I-ELCAP program of annual screening was 80%. In a subset of 181 participants who underwent surgery for the smallest size category of stage IA lung cancer (size of 10 mm or less), the survival rate was 95%. For solid tumors, the 20-year survival rate was 83%, while for subsolid tumors it was 100%.
“Our study highlights the importance of a rigorous screening protocol, comprehensive data management, and consistent follow-up to achieve high survival rates,” Dr. Henschke said. “The low percentage of deaths from lung cancer in this group (16.9%) over our follow-up period further underscores the potential life-saving impact of this work.”
The program has continued collaborations with clinical and government organizations to initiate lung cancer screening programs for underserved populations in additional countries.
As patients live longer and may experience subsequent cancers throughout their lives, further investigations into staging and treatment considerations have begun to evaluate the best possible treatment protocols.

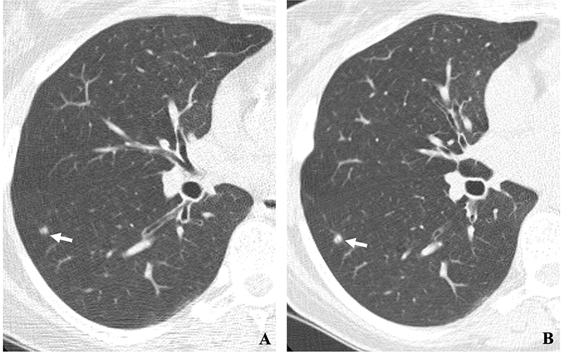
(A, B) Two annual repeat low-dose CT scans in a woman who was 60 years old at baseline enrollment in 1999. At baseline enrollment, she was currently smoking and had a 30-pack-year smoking history. No nodules were identified on baseline low-dose CT scans. On the sixth annual low-dose CT scan (B), a right lower lobe solid nodule (arrow) measuring 4.5 mm in maximum diameter was identified. The nodule could be identified in retrospect on the prior annual CT scan (arrow in A), when it measured 2.0 mm in maximum diameter. Estimated tumor volume doubling time was 161 days. Lobectomy was performed 2 months later, and diagnosis of stage 1aN0M0 moderately differentiated adenocarcinoma measuring 6.0 mm in maximum diameter was made. Expert pathologic panel review (22) of the pathologic specimen updated the diagnosis to adenocarcinoma with mixed subtype (80% acinar, 20% bronchoalveolar carcinoma components) with 5 mm of invasion. https://doi.org/10.1148/radiol.231988 © RSNA 2023
Value Beyond Lung Cancer Screening
After Dr. Henschke and her fellow researchers first began their study, they faced challenging feedback from radiology colleagues who expressed concern about the potential for overdiagnosis, lead time biases and the risk of adding to an already overburdened radiology workload.
“We used those comments to inform our research, evaluating the claims to find answers. We now have nearly 400 publications altogether,” Dr. Henschke said. “With this work, we have come to think of this low-dose CT scan as a necessary health check, as we can identify other early diseases in lungs as well as cardiovascular diseases.”
A statistician-turned-radiologist who engaged in predictive analytics before going into medicine, Dr. Henschke emphasized the importance of leveraging data to facilitate deeper investigation, including early AI efforts.
“Creating databases that have quality assurance embedded in them is an important thing for young radiologists to understand,” she said. “Today’s AI technologies can identify, categorize and monitor findings and help reduce the radiologist’s workload.”
The information Drs. Henschke and Yip and their team have gathered over the years has grown into a powerful resource for other clinicians.
“There’s a whole new paradigm of preventive care that we must consider,” she said. “In addition to detecting lung cancer before it progresses and becomes symptomatic, we are also able to see early findings in other areas including the heart, bones, muscle, fat, thymus, thyroid, liver, kidneys and pancreas.”
The team has conducted 46 international conferences, welcoming researchers and clinicians both inside and outside of radiology, including an increasing number of preventative cardiologists.
“Our conferences keep growing, and together, we are combining our knowledge to make a difference,” she said.
The Synergy of a Team
With many areas of exploration still on the horizon, Dr. Henschke credited the long-term success of the I-ELCAP program with hard work, perseverance and a steady team. After 20 years, her core group of physicians, oncologists and researchers has remained stable.
“The team is most important, and it includes screening participants and patient advocacy groups. It’s necessary to hear all their voices,” she said. “Make yourself a member of a team. It’s that synergy that really works to create something.”
The Margulis Award is given each year in honor of the late Alexander R. Margulis, MD, a distinguished investigator and inspiring visionary in the science of radiology and longtime chair of the Department of Radiology at the University of California, San Francisco. The Margulis Award will be presented to Drs. Henschke and Yip during the RSNA 2024 in Chicago, Dec. 1-5.
“Recognition of the contributions of the I-ELCAP team in bringing the life-saving potential of low-dose CT screening is deeply rewarding and provides further impetus to bring this benefit to people throughout the world,” Dr. Henschke said.
For More Information
Access the Radiology study, “A 20-year Follow-up of the International Early Lung Cancer Action Program (I-ELCAP).”
Read the 2023 Margulis Award recipient article in RSNA News.
Read previous RSNA News articles on lung cancer screening: