AI-Based Method for Early Pancreatic Cancer Detection Receives Margulis Award
Tool identifies smaller pancreatic lesions at earlier and treatable stage


Research from Taiwan on an AI-based method to provide early detection of pancreatic cancer has earned the 2023 Alexander R. Margulis Award for the best original scientific article published in Radiology.
In the Radiology article, “Pancreatic Cancer Detection on CT Scans with Deep Learning: A Nationwide Population-based Study,” co-lead author Po-Ting Chen, MD, and his team developed an AI tool and trained it by comparing hundreds of contrast-enhanced CT studies in patients diagnosed with pancreatic cancer with those of individuals with a normal pancreas.
“This year’s Margulis Award recognizes impactful results likely to affect millions of patients throughout the world,” said Radiology Editor Linda Moy, MD. “The study demonstrates how a deep learning–based tool can result in accurate detection of pancreatic cancer on CT scans, especially for tumors smaller than 2 cm. Early detection of pancreatic cancer allows for prompt intervention that greatly increases the chances of survival.”

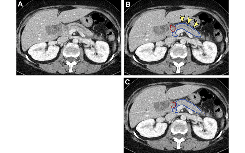
Analysis of nontumorous portion of pancreas with or without secondary signs of pancreatic cancer by classification models. Blue outline represents the portion of the pancreas analyzed with classification models. The tumor (red outline) was not identified by the segmentation model; thus, it was not analyzed by classification models. (A) Unannotated CT image in a patient with pancreatic head cancer. (B) Nontumorous portion of the pancreas shows secondary signs of pancreatic cancer (dilation of pancreatic duct with abrupt cutoff [arrowheads]) and was classified as cancerous by the classification models. (C) Nontumorous portion of the pancreas appeared normal and was classified as noncancerous after the dilated duct was replaced and imputed with surrounding normal-appearing pancreas parenchyma. https://doi.org/10.1148/radiol.220152 © RSNA 2022
AI Tool Increases Diagnostic Confidence and Streamlines Imaging Process
Pancreatic cancer patients face a poor prognosis, with a five-year survival rate of only 12%, according to the American Cancer Society. Early detection is the best way to improve the odds. Prognosis worsens significantly once the tumor grows beyond two centimeters and spreads outside the pancreas.
CT, the most widely used and most sensitive exam for pancreatic cancer detection, misses about 40% of tumors smaller than two centimeters. A tool to boost pancreatic cancer detection is urgently needed.
The AI tool in the study achieved 90% sensitivity and 93% specificity in a test set of 1,473 real world CT studies. Sensitivity for detecting pancreatic cancers less than two centimeters was 75%. The sensitivity of the tool for pancreatic cancer was comparable with that of radiologists regardless of tumor size and stage.
“In terms of early detection and diagnosis, our workflow plays a pivotal role in identifying pancreatic cancer at earlier and more treatable stages,” said Dr. Chen, from the Department of Medical Imaging at National Taiwan University Hospital in Taipei, Taiwan. “By aiding radiologists and clinicians in recognizing suspicious lesions on CT scans, it facilitates swift and accurate diagnosis, which is crucial for improving patient outcomes. Furthermore, this workflow offers a valuable advantage by providing a reliable second opinion, enhancing diagnostic confidence among medical professionals, and ultimately benefiting patient care.”
Importantly, the method uses automated pre-processing segmentation, or identification and outlining of the pancreas on whole-body CT scans. Automation of this process represents an important advance in AI evaluation of pancreas imaging, as the pancreas borders multiple organs and structures and varies widely in shape and size.
“This approach not only streamlines the process, saving valuable time for physicians that would otherwise be spent manually delineating the region of interest, but it also ensures that the classification model is directed toward the critical area, eliminating extraneous information,” Dr. Chen said.
Computer-aided segmentation also enables quantitative analysis including measuring the size, shape and volume of the pancreas and any detected lesions, aiding in treatment planning and disease monitoring.
The Margulis Award is given each year in honor of the late Alexander R. Margulis, MD, a distinguished investigator and inspiring visionary in the science of radiology and longtime chair of the Department of Radiology at the University of California in San Francisco. The Margulis Award will be presented during the RSNA 109th Scientific Assembly and Annual Meeting (RSNA 2023) in Chicago, Nov. 26-30.
“We are truly honored and genuinely surprised to have received this award,” Dr. Chen said. “It’s a recognition of the hard work and dedication that our team has put into our research. We want to express our deep gratitude to the award committee for this incredible acknowledgment.”
Tinghui Wu, MS, from National Taiwan University, was co-lead author on the study.
For More Information
Access the Radiology study, “Pancreatic Cancer Detection on CT Scans with Deep Learning: A Nationwide Population-based Study.”
Read the related Radiology editorial, “Deep Learning to Detect Pancreatic Cancer at CT: Artificial Intelligence Living Up to Its Hype.”
Read about the 2022 Margulis Award recipient in RSNA News, RSNA Margulis Award Honors AI Research in MSK Imaging.