Radiologists Share Tips to Prevent AI Bias
Researchers outline dataset gaps, unclear definitions and fairness metrics as key challenges

Radiologists, computer scientists and informaticists outline pitfalls and best practices to mitigate bias in AI models in an article published in Radiology.
“AI has the potential to revolutionize radiology by improving diagnostic accuracy and access to care,” said lead author Paul H. Yi, MD, associate member (associate professor) in the Department of Radiology and director of Intelligent Imaging Informatics at St. Jude Children’s Research Hospital in Memphis, TN. “However, AI algorithms can sometimes exhibit biases, unintentionally disadvantaging certain groups based on age, sex or race.”
While there is growing awareness of this issue, there are challenges associated with the evaluation and measurement of algorithmic bias.
In the article, Dr. Yi and colleagues identify key areas where pitfalls occur, as well as best practices and initiatives that should be taken.
“Despite the significant attention this topic receives, there’s a notable lack of consensus on key aspects such as statistical definitions of bias, how demographics are categorized, and the clinical criteria used to determine what constitutes a ‘significant’ bias,” Dr. Yi said.
Key Pitfalls and Practical Solutions
The first such pitfall is the lack of representation in medical imaging datasets. Datasets are essential for the training and evaluation of AI algorithms and can be comprised of hundreds of thousands of images from thousands of patients. Many of the datasets lack demographic information, such as race, ethnicity, age and sex.
For example, in a previous study performed by Dr. Yi and colleagues, of 23 publicly available chest radiograph datasets, only 17% reported race or ethnicity.
To create datasets that are better representations of the wider population, the authors suggest collecting and reporting as many demographic variables as possible, with a suggested minimum set that includes age, sex and/or gender, race and ethnicity. Also, whenever feasible, raw imaging data should be collected and shared without institution-specific post-processing.
The second major issue with bias in AI is the lack of consensus on definitions of demographic groups. This is a challenge because many demographic categories, such as gender or race, are not biological variables but self-identified characteristics that can be informed by society or lived experiences.
The authors note a solution to this would be establishing more specificity with demographic terminologies that better align with societal norms and avoiding combining separate but related demographic categories, such as race and ethnicity or sex and gender.
The final major pitfall is the statistical evaluation of AI biases. At the root of this issue is establishing consensus on the definition of bias, which can have different clinical and technical meanings. In this article, bias is used in the context of demographic fairness and how it reflects differences in metrics between demographic groups.

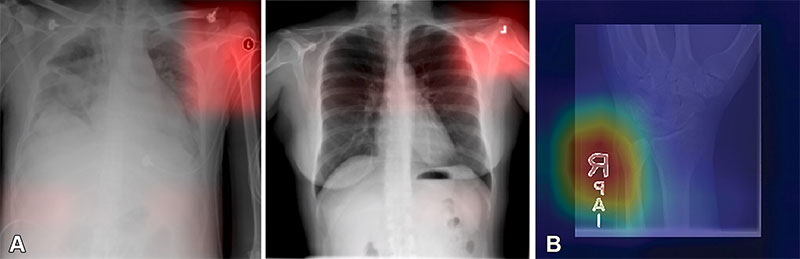
Images from a deep learning (DL) model in radiology that can learn to identify confounding features related to bias and unfair predictions, including laterality markers (image annotations indicate the side of the body being viewed [right vs left]) to identify the hospital at which a chest X-ray was obtained. Images adapted and reprinted from Zech, et al. “Variable Generalization Performance of a Deep Learning Model to Detect Pneumonia in Chest Radiographs: A Cross-sectional Study,” an open-source article, published under the Creative Commons license (CC BY 4.0). (B) Image from a DL model that can make a diagnosis of radiographic abnormality on extremity radiographs, also known as shortcut learning. Reprinted, with permission, from Yi, et al. “Deep Learning Algorithms for Interpretation of Upper Extremity Radiographs: Laterality and Technologist Initial Labels as Confounding Factors.”
https://doi.org/10.1148/radiol.241674 ©RSNA 2025
Once a standard notion of bias is established, the incompatibility of fairness metrics needs to be addressed. Fairness metrics are tools that measure whether a machine learning model treats certain demographic groups differently. The authors stress that there is no universal fairness metric that can be applied to all cases and problems.
The authors suggest using standard and well accepted notions of demographic bias evaluations based on clinically relevant comparisons of AI model performances between demographic groups.
Additionally, they say that it is important to be mindful of the fact that different operating points of a predictive model will result in different performance, leading to potentially different demographic biases. Documentation of these operating points and thresholds should be included in research and by vendors who provide commercial AI products.
According to Dr. Yi, this work provides a roadmap for more consistent practices in measuring and addressing bias. This ensures that AI supports inclusive and equitable care for all people.
“AI offers an incredible opportunity to scale diagnostic capabilities in ways we’ve never seen before, potentially improving health outcomes for millions of people,” he said. “At the same time, if biases are left unchecked, AI could unintentionally worsen health care disparities.”
For More Information
Access the Radiology study, “Pitfalls and Best Practices in Evaluation of AI Algorithmic Biases in Radiology,” and the related editorial, “Navigating Bias and Fairness in AI.”
Read previous RSNA News stories about medical imaging AI: