CT Colonography Beats Stool DNA Testing for Colon Cancer Screening
More cost effective, less invasive colorectal cancer screening expands access to early detection

Compared to stool DNA testing, researchers found that CT colonography is a cost-saving and clinically effective method for colorectal cancer screening, according to a study was published in Radiology.
Colorectal cancer is the second leading cause of cancer-related death globally. Due to the disturbing trend of colorectal cancer diagnoses in younger patients, the U.S. Preventive Services Task Force and multiple medical societies have lowered the recommended age for colorectal cancer screening to 45 years of age.
“In the U.S., conventional colonoscopy remains the dominant screening test for colorectal cancer, despite the fact that it is the most expensive and invasive option,” said study author Perry J. Pickhardt, MD, the John R. Cameron professor of radiology and medical physics at the University of Wisconsin School of Medicine and Public Health in Madison.
Dr. Pickhardt notes that optical colonoscopy is the preferred method of colorectal cancer screening due to its cancer prevention abilities in removing benign precancerous polyps during the procedure. However, less invasive and less expensive screening methods have become more accessible due to recent Medicare coverage expansions.
Multitarget stool DNA (mt-sDNA), which analyzes stool samples for specific colorectal cancer biomarkers, and CT colonography are both now covered procedures for Medicare recipients.
According to Dr. Pickhardt, both stool DNA testing and CT colonography are less invasive and much safer primary screening options. However, with two inherently different screening methods, Dr. Pickhardt and colleagues set out to analyze mt-sDNA and CT colonography in a head-to-head comparison of clinical efficacy and cost-effectiveness.
.gif?h=333&iar=0&w=800&rev=9240c9138c7f4bb08d4e362c49181e57&hash=A2BCEBC4FD2B3FD7166CD2776B4B409A)
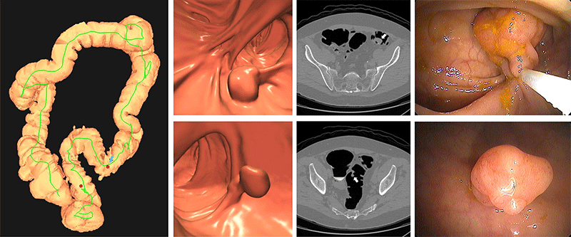
Images of positive CT colonography (CTC) screening examination result in an asymptomatic 67-year-old man. Three-dimensional colon map from CTC (left image) shows the location of two sigmoid polyps that were detected (red dots). Three-dimensional endoluminal and confirmatory two-dimensional transverse CTC images show a large 1.6- cm pedunculated polyp on top row (arrow) and a 9-mm pedunculated polyp in the distal sigmoid on the bottom row (arrow). Both polyps were confirmed and resected at optical colonoscopy performed the same day (right images), avoiding the need for a second bowel preparation. The larger polyp proved to be a tubulovillous adenoma (large advanced adenoma), whereas the smaller polyp was a nonadvanced tubular adenoma. Compare this level of information of a positive CTC screening test result with a positive multitarget stool DNA test result, for which no specific information is provided.
https://doi.org/10.1148/radiol.243775 ©RSNA 2025
Higher Reduction of Cancer Incidence
The researchers used a Markov model to simulate the progression of colorectal disease in a model of 10,000 45-year-olds. The simulation period was divided into one-year intervals, and simulated individuals were assigned health states based on the presence or absence of colorectal lesions of varying sizes.
Screening and surveillance on the simulated population began at 45 years and ended at 75 years of age, in which participants assumed perfect adherence to screening, diagnostic follow-ups and recommendations.
Consistent with current studies, 7.5% of the study population developed colorectal cancer in the absence of screening.
While both screening methods were clinically effective compared to no screening, CT colonography demonstrated a higher reduction of colorectal cancer incidence of 70% to 75%, compared to the 59% reduction achieved by mt-sDNA.
A Hybrid Approach to Polyp Monitoring
To assess the cost-effectiveness of the screening methods, Quality-Adjusted Life Year (QALY) was used to measure the value of the medical intervention, with one QALY equaling one year of perfect health.
In this analysis, mt-sDNA screening was found to be cost-effective relative to no screening, with an estimated cost of nearly $9,000 per quality-adjusted life-year gained (QALY), well below the selected threshold of $100,000. However, conventional CT colonography screening was found to be cost-saving relative to no screening.
Because advanced polyps that are larger than 10 millimeters are the primary target of colorectal cancer prevention, the study demonstrated the potential success for a hybrid approach to cancer screening, with a three-year surveillance for small colorectal polyps via CT colonography and colonoscopy referral for large polyps.
When the conventional CT colonography screening strategy of referring patients with detected polyps greater or equal to 6 mm in size for colonoscopy was compared with the hybrid strategy that included 3-year surveillance for small (6–9 mm) polyps, the former was not cost effective relative to the latter strategy.
This result was driven primarily by the higher costs related to colonoscopy referral for small polyps, which was not sufficiently offset by the corresponding small incremental gain in QALYs. A strategy consisting of 3-year surveillance for small colorectal polyps and colonoscopy referral for large polyps achieved the best overall balance.
“Among the safe, minimally invasive colorectal cancer screening options, CT colonography is more effective at preventing and detecting cancer—and is also more cost-effective—than stool DNA testing,” Dr. Pickhardt said. “Furthermore, CT colonography can provide for extracolonic screening for things like osteoporosis and cardiovascular disease.”
For More Information
Access the Radiology article, “CT Colonography versus Multitarget Stool DNA Test for Colorectal Cancer Screening: A Cost-Effectiveness Analysis,” and the related editorial, “Cost-Effectiveness and Efficacy of Noninvasive Colorectal Cancer Screening: An Important Step Toward Widespread Adoption of CT Colonography.”
Read previous RSNA News stories about preventative screening: