Multiparametric US Safe and Effective for Predicting Advanced Fatty Liver Disease
New method increases access and reduces risks and costs

Noninvasive ultrasound (US) imaging can accurately predict advanced fatty liver disease, according to a March 2024 study in Radiology. The US method has significant clinical potential, researchers said, as it is more accessible than MR-based approaches and does not carry the risks and costs of liver biopsy.
Metabolic dysfunction-associated fatty liver disease (MAFLD) is a condition in which fat builds up in the livers of people who drink little or no alcohol. It often is found in combination with metabolic dysfunction such as diabetes and obesity. MAFLD is a major health and economic burden to society, with a global prevalence of 25%.
Left untreated, MAFLD can progress to the more serious condition of metabolic dysfunction-associated steatohepatitis (MASH). The inflammation and damage associated with MASH often harbingers of cirrhosis and liver failure.
Liver biopsy is the standard for MASH diagnosis, but it is an invasive procedure that has limitations and potential complications. Noninvasive MR-based approaches like MR elastography and MRI-derived proton density fat fraction have been used, but their potential is limited by a lack of equipment and trained personnel.

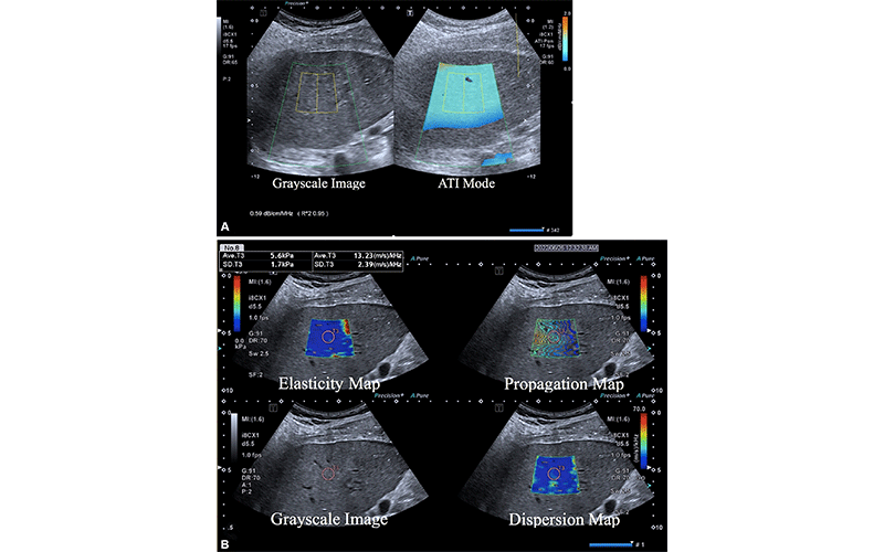
Multiparametric US in a 52-year-old female patient with metabolic dysfunction–associated fatty liver disease (MAFLD) and hepatitis B, whose body mass index was 26.9 (calculated as weight in kilograms divided by height in meters squared). (A) Gray-scale image (left) shows the liver parenchyma, and attenuation image (ATI) (right) shows the right liver lobe acquired from the right intercostal oblique plane, with the degree of attenuation color-coded in the sampling box. Orange indicates a high attenuation coefficient (AC) and blue indicates a low AC. The AC value (0.59 dB/cm/MHz) and reliability index (R2 = 0.95) are presented in the lower left corner. (B) Two-dimensional shear-wave elastography–generated quad-view mode image shows an elasticity map, propagation map, gray-scale image, and dispersion map at the same time. A 1-cm region of interest is placed within the sampling box of each image. Red and blue indicate high and low elasticity and dispersion slope, respectively. Liver stiffness on the elasticity map is 5.6 kPa, and the dispersion slope on the dispersion map is 13.23 (m/sec)/kHz. https://doi.org/10.1148/radiol.232416 © RSNA 2024
Study Identified MASH in 78% of Participants
Researchers in China recently studied non-invasive evaluation of MAFLD using the more widely available and less expensive US technology. The study group included 424 participants with MAFLD who underwent multiparametric US, which is a diagnostic technique that combines multiple US techniques to improve the accuracy of detecting condition. Participants also underwent shear wave elastography (SWE) to measure liver stiffness and shear wave dispersion (SWD) to quantify the attenuation coefficient (AC). The coefficient is derived from energy loss of the acoustic signals while traveling through tissue, which results in a reduced signal return to the transducer. The presence of fat in the tissue increases the signal delay.
The subjects also underwent two blood tests for liver function: alanine aminotransferase (ALT), an intrinsic enzyme, and international normalized ratio (INR), a measure of blood clotting function.
MASH was present in 332 of the 424 participants, or 78%.
The model that combined US with the blood tests was accurate for predicting MASH in both the training and validation groups. The combination model showed higher discriminative ability for predicting MASH than the ALT-plus-INR model. A combined model (AC, ALT, and INR) had AUCs of 0.85 (95% CI: 0.79, 0.91) and 0.77 (95% CI: 0.69, 0.85) for predicting MASH in the training and validation groups, respectively.
“In this multicenter study, a multiparametric ultrasound predictive model combining AC, ALT, and INR showed good ability to predict MASH in participants with MAFLD,” said study senior author Ping Liang, MD, chair of the Department of Interventional Ultrasound at Chinese PLA General Hospital in Beijing. “We are very encouraged by our research results, which suggest that parametric US is a highly suitable and effective method for non-invasive prediction of MASH in clinical practice.”
Using the data, the researchers were able to build a model showing the relationships between US parameters and clinical features of MAFLD patients in a user-friendly graphical interface. The model provides a convenient way for clinicians to predict MASH, Dr. Liang said. This, coupled with other factors, gives multiparametric US notable advantages over existing approaches.
“Compared with biopsy, the model based on multiparametric ultrasound is non-invasive, avoiding the occurrence of complications such as bleeding that may occur during biopsy,” Dr. Liang said. “In addition, compared with magnetic resonance elastography, ultrasound equipment is more suitable for screening populations and can be used in hospitals of different levels.”
Facilities with US equipment can upgrade to multiparametric capability with the addition of dedicated software and user training.
“A short training period was required to perform reliable SWE/SWD/AC measurements and reduce inter-and intra-operative errors,” Dr. Liang said. “In addition, the software package for multiparameter ultrasound technology itself comes with quality control parameters for image acquisition to ensure the stability and reliability of the results.”
Since the study focused on Chinese patients, more trials are needed to assess if the approach is generalizable to other populations, with an eye toward incorporating AI into the analysis. When combined with multiparametric US and patient clinical characteristics, AI has the potential to improve the model’s performance for predicting MASH and the grading of steatosis or fibrosis in MAFLD.
“We look forward to more exciting results from our future research,” Dr. Liang concluded.
For More Information
Access the Radiology study, “Multiparametric US for Identifying Metabolic Dysfunction–associated Steatohepatitis: A Prospective Multicenter Study.”
Read previous RSNA News stories on liver disease: