Expert Panel Endorses New US Terminology for Early Pregnancy
Multi-medical society effort addresses outdated, confusing and inconsistent language
 
                                     
                                    For the first time, a multi-medical society panel has developed and endorsed a uniform lexicon for describing the observations seen on US during the first trimester of pregnancy. 
The lexicon, based on scientific evidence, societal guidelines and expert consensus, was published today in Radiology and simultaneously in the American Journal of Obstetrics & Gynecology. The lexicon addresses terms frequently used in first trimester US reports, such as ‘ectopic pregnancy,’ ‘heartbeat,’ ‘living’ and ‘viable.’
“While there is a multi-society agreement for first-trimester imaging guidelines for reliable sonographic findings to predict which pregnancies will not progress, there has been a lack of consensus on the terms used in the imaging report and in communicating with patients,” said first author Shuchi K. Rodgers, MD, professor of radiology at the Sidney Kimmel Medical School of Thomas Jefferson University in Philadelphia. “Many terms currently used are outdated or confusing, are used inconsistently, or may be interpreted differently by radiologists, clinicians and patients.”
The panel was convened by the Society of Radiologists in Ultrasound (SRU). Other societies participating in the development of the lexicon included the Society of Abdominal Radiology, the American College of Radiology, the American College of Obstetricians and Gynecologists, the American Institute of Ultrasound in Medicine, the Society for Maternal-Fetal Medicine, the American Society of Reproductive Medicine, the Society of Family Planning and the American College of Emergency Physicians.
Under the leadership team of Dr. Rodgers, senior author Lori M. Strachowski, MD, and Mindy M. Horrow, MD, (SRU past president), the expert panel worked for a year and a half to reach a consensus on the uniform language. Panelists agreed unanimously or reached at least 80% agreement on preferred terms and synonyms, as well as terms to avoid, for the first-trimester ultrasound report.
Given that cardiac development is gradual and incomplete during the first trimester of pregnancy, the panel recommended the use of the term ‘cardiac activity’ instead of ‘heart motion’ or ‘heartbeat.’ The panel also recommended against terms, such as ‘live,’ ‘living’ and ‘viable,’ that could raise unrealistic expectations for patients facing a potential pregnancy loss or an ectopic pregnancy.
“We recognize that specific language in the medical record could be used by third parties to negatively affect the physician-patient relationship,” said Dr. Strachowski, clinical professor of radiology and biomedical imaging and obstetrics, gynecology and reproductive sciences from the University of California, San Francisco. “Our goal was to recommend clear, specific, scientifically based and medically appropriate terminology that communicates clearly across disciplines, minimizes bias and harm, and respects patient preferences.”
 
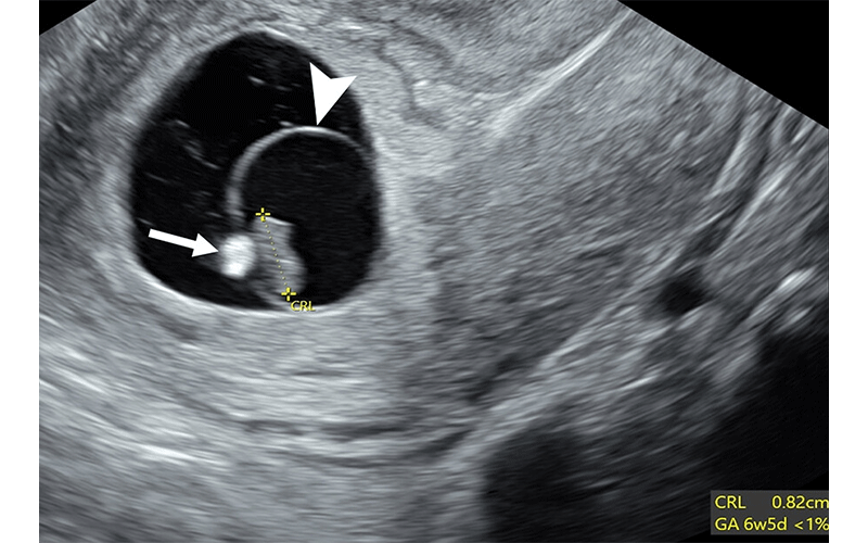
    Poor prognosticators: calcified yolk sac and expanded amnion sign. Transvaginal sagittal grayscale US image in a 27-year-old pregnant patient shows an 8-mm embryo (calipers) without cardiac activity (M-mode not shown) sufficient for the interpretation of diagnostic of early pregnancy loss (EPL). Additional poor prognosticators include a calcified yolk sac (arrow) and an enlarged amniotic cavity (arrowhead) relative to the crown-rump length (CRL) of the embryo, called the expanded amnion sign. These additional observations, on their own, are only concerning for EPL. GA = gestational age.
https://doi.org/10.1148/radiol.240122 © RSNA 2024
While the terms ‘miscarriage’ and ‘spontaneous abortion’ remain part of the agreed lexicon, the historically used ‘pregnancy failure’ has been replaced with ‘early pregnancy loss.’
“Because patients have rapid access to their medical records, we considered patient preferences for and against certain terminology,” Dr. Strachowski said. “The term ‘pregnancy failure’ was never meant to convey blame or guilt, but it didn’t sit well with patients.”
According to the recommendations, an intrauterine pregnancy is defined as a pregnancy implanted in a normal location, while an embryo implanted in any abnormal location, whether inside (such as within a cesarean scar) or outside the uterus, is an ectopic pregnancy.
“We make it very clear that all ectopic pregnancies carry an increased risk of maternal morbidity and mortality,” she said.
Dr. Strachowski said all the participating societies have fully endorsed the new first-trimester US lexicon, and the panel expects it will be widely adopted.
For More Information
Access the Radiology article, “A Lexicon for First-trimester Ultrasound: Society of Radiologists in Ultrasound Consensus Conference Recommendations,” and the related editorial, “Proposed Updates to the First-Trimester US Reporting Lexicon: A Laudable Goal.”
Read previous RSNA News stories on imaging and women’s health: