Combining AI Models Improves Breast Cancer Risk Assessment
New approach offers same performance as clinical risk models in less time with lower cost

Combining AI systems for short- and long-term breast cancer risk results in an improved cancer risk assessment, according to a study published in Radiology.
Using mammography-based deep learning models may improve the accuracy of breast cancer risk assessment and can also lead to earlier diagnoses.
“About 1 in 10 women develop breast cancer throughout their lifetime,” said study author Andreas D. Lauritzen, PhD, from the Department of Computer Science at the University of Copenhagen in Denmark. “In recent years, AI has been studied for the purpose of diagnosing breast cancer earlier by automatically detecting breast cancers in mammograms and measuring the risk of future breast cancer.”
Diagnostic AI models are trained to detect suspicious lesions on mammograms and are well suited to estimate short-term breast cancer risk.
More suitable for long-term breast cancer risk are texture AI models, capable of identifying breast density. Women with dense breast tissue are at higher risk of developing breast cancer and may benefit from supplemental MRI screening.
“It is important to enable reliable and robust assessment of breast cancer risk using information from the screening mammogram,” Dr. Lauritzen said.

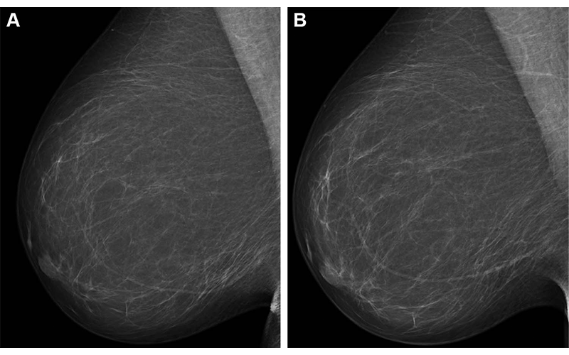
Full-field digital mammograms (right mediolateral oblique view) in a 59-year-old woman show (A) the screening mammogram obtained during the study period and (B) the screening mammogram obtained in the subsequent screening round. The first screening mammogram (A) had a very low combined risk score (lowest 0.1%) as determined by the combination model with texture risk and the examination score. The woman was not recalled and did not receive a breast cancer diagnosis throughout the 5-year follow-up.
https://pubs.rsna.org/doi/10.1148/radiol.230227 ©RSNA 2023Risk Assessment Better for Interval and Long-Term Cancer Detection
For this study, Dr. Lauritzen and his research team sought to identify whether a commercially available diagnostic AI tool and an AI texture model, trained separately and then subsequently combined, may improve breast cancer risk assessment.
The researchers used the diagnostic AI tool Transpara and a texture model that was developed by the researchers. A Dutch training set of over 39,000 exams was used to train the models. The short- and long-term risk models were combined using a three-layer neural network.
The combined AI model was tested on a study group of more than 119,000 women who were included in a breast cancer screening program in the Capital Region of Denmark between November 2012 and December 2015. The average age of the women was 59 years.
Compared to the diagnostic and texture models alone, the combined AI model showed an overall improved risk assessment for both interval and long-term cancer detection.
The model also enabled identification of women at high risk for breast cancer. Women identified by the combined model as having the 10% highest combined risk accounted for 44.1% of interval cancers and 33.7% of long-term cancers.
Listen as Dr. Lauritzen, PhD, discusses his research.
Using AI to identify a women’s breast cancer risk from a single mammogram will not only result in earlier cancer detection but can also improve the strain on the health care system due to the worldwide shortage of specialized breast radiologists.
“Current state-of-the-art clinical risk models require multiple tests such as blood work, genetic testing, mammogram and filling out extensive questionnaires, all of which would substantially increase the workload in the screening clinic,” Dr. Lauritzen said. “Using our model, risk can be assessed with the same performance as the clinical risk models but within seconds from screening and without introducing overhead in the clinic.”
For More Information
Access the Radiology study, “Assessing Breast Cancer Risk by Combining AI for Lesion Detection and Mammographic Texture,” and the related editorial, “The Potential for Personalized Screening Using Image-based AI Risk Assessment.”
Read previous RSNA News articles about AI in breast imaging: