Noncalcified Coronary Plaque Burden Higher in People with HIV
Results underscore the importance of a heart-healthy lifestyle in people living with HIV

People living with human immunodeficiency virus (HIV) and without known cardiovascular disease have two to three times the noncalcified coronary plaque burden of non-HIV healthy volunteers, according to a study from Canada published in Radiology.
Today, people with HIV infection live longer and are increasingly subject to age-related diseases, such as coronary artery disease. Studies from North America and Europe have shown a greater risk of heart attacks in people living with HIV compared with the general population, even after adjustment for risk factors. The reasons for this are not entirely known.
For the new prospective study, researchers compared the burden and CT characteristics of coronary plaque in 265 participants, including 181 asymptomatic people living with HIV without known cardiovascular disease and 84 non-HIV healthy volunteers.
Differences in Plaque Burden Likely Due to a Number of Factors, Including Antiretroviral Therapy
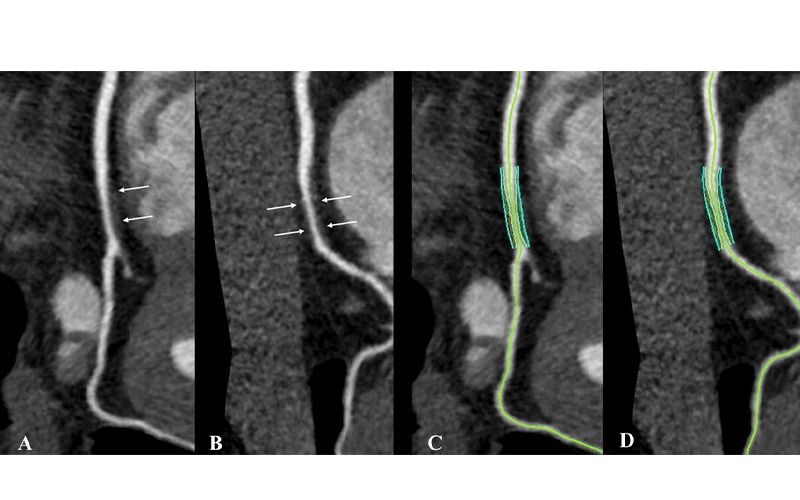
All 265 participants underwent coronary artery calcium scoring. Most of the participants also had coronary CT angiography. Image assessors who had been blinded to the clinical characteristics of the participants and their HIV status used the CT angiography results to categorize the coronary plaques as calcified, noncalcified or mixed.
There was no difference between the two groups in coronary artery calcium score and overall plaque prevalence. The median 10-year Framingham Risk Score was also similar.
However, noncalcified plaque prevalence and volume were two to three times higher at coronary CT angiography in people living with HIV compared with non-HIV healthy volunteers after adjustment for cardiovascular risk factors. Noncalcified plaque may be more prone to rupture than calcified plaque.
“Our study shows that noncalcified coronary plaque is increased in people living with HIV,” said study lead author Carl Chartrand-Lefebvre, MD, MSc, from the Radiology Department at the Centre hospitalier de l'Université de Montréal (CHUM) in Montreal. “And noncalcified plaque has previously been shown to be associated with worse cardiovascular outcomes than calcified or mixed plaques.”
Calcified plaque frequency was reduced in people living with HIV. Treatment with protease inhibitors was associated with higher volume of overall and mixed plaque.
According to Dr. Chartrand-Lefebvre, the differences in plaque burden between the two groups are likely due to a number of factors, including the antiretroviral therapy.
“Multiple studies suggest that there is probably an impact of antiretroviral therapy that could increase the risk of coronary artery disease, although there are far more advantages for people living with HIV to be on antiretroviral therapy, instead of not taking it,” he said.
The study results suggest that the adoption of a healthy lifestyle, crucial to preventing atherosclerotic disease in the general population, may be especially important for people living with HIV. Dr. Chartrand-Lefebvre recommended that people living with HIV be aware of their cardiovascular risk factors such as smoking, diabetes, high blood pressure, obesity and lack of physical exercise. They should also discuss with their physicians the best ways to prevent cardiovascular disease.
“For radiologists, these results suggest that coronary CT angiography interpretation in people living with HIV should probably include quantification of coronary plaque by subtypes to allow better cardiovascular risk stratification,” Dr. Chartrand-Lefebvre said.
The new study is nested in the Canadian HIV and Aging Cohort Study (CHACS), a large multicenter initiative based at the CHUM Research Centre. CHACS was implemented in 2012 by Cécile Tremblay, MD, and is now led by Madeleine Durand, MD, MSc.
For More Information
Access the Radiology study, “Prevalence and Characterization of Subclinical Coronary Atherosclerotic Plaque with CT Among Individuals with HIV: Results from the Canadian HIV and Aging Cohort Study.”
Read previous RSNA News articles on HIV and cardiovascular disease:
