NOTICE:
Site maintenance is scheduled from 4 p.m. CST on Thursday, March 19, 2026, through approximately 2 p.m. CST on Friday, March 20, 2026.

During this time, visitors will be unable to log in, submit abstracts, register for events, access journals or process transactions. We appreciate your patience as we complete this work.

OK

Lung Injuries from Vaping Have Characteristic Patterns on CT

Recognized patterns include ground glass opacity and consolidation


Gotway
Gotway

Injuries to the lungs from vaping have suggestive patterns on CT scans that could help physicians make accurate diagnoses and reduce unnecessary biopsies, according to a new study in Radiology: Cardiothoracic Imaging.

Last year, the Centers for Disease Control and Prevention (CDC) received its first report on an illness known as electronic cigarette or vaping product use-associated lung injury (EVALI). Three criteria define EVALI: e-cigarette use or vaping within 90 days from symptom onset, abnormalities on chest imaging and the exclusion of other potential sources of injury like infection. Almost 3,000 hospitalized EVALI cases were reported to CDC within six months of the first case, with 68 deaths confirmed.

Also last year, pathologists at Mayo Clinic in Scottsdale, AZ, published a paper describing a peculiar pattern of lung injury in young people using vape products. The injuries were wrapped around the bronchi.

Mayo Clinic radiologist Michael B. Gotway, MD, recently expanded on that study by looking for patterns on chest CT scans that might correlate with the previously observed pathological findings. The study included 26 patients who met the EVALI criteria and had undergone CT and biopsy or some other type of tissue removal. Dr. Gotway and colleagues classified the CT scan pattern according to several different recognized patterns. One pattern is ground glass opacity. Another is consolidation.

“We read the CT scan and then plugged it into one of those patterns and correlated that with histopathology,” Dr. Gotway said. “What we found out was that ground glass opacity, sometimes with consolidation, is by far the most common pattern that we see with EVALI.”

Pattern Found Was More Common Than CT Pattern Of Subacute Hypersensitivity Pneumonitis

The findings of this study and other related research could provide an important diagnostic tool for physicians treating young patients who express symptoms like chest pain and shortness of breath.

“We hope to make radiologists aware that if they see diffuse lung opacities in a younger patient without clearly defined causes, then they may want to seriously consider that the patient could have a vaping injury,” Dr. Gotway said. “Patients may not readily admit that they’re using the material, but if a radiologist recognizes these patterns and then tells the clinician that it could be vaping-induced injury, then maybe they could test for a nicotine metabolite or ask the patient about this exposure.”

Such an approach could help reduce lung biopsies, which carry considerable expense, some risk of complications and additional anxiety for the patient.

“These radiological findings will be especially beneficial to physicians to help them determine potentially less invasive treatment options,” Dr. Gotway said. “We could potentially make that diagnosis noninvasively through cooperation with our clinical colleagues. By alerting them to a scan pattern that is suggestive of the possibility of EVALI, we may actually save patients from having to meet a surgeon.”

The researchers found some good news in their study, as it appears that signs of EVALI on imaging may resolve quickly with cessation of use of the offending agent, often supplemented by corticosteroid therapy.

For More Information

Access the Radiology: Cardiothoracic Imaging study, Pulmonary Injury Resulting from Vaping or e-Cigarette Use: Imaging Appearances at Presentation and Follow-up.”

Access previous EVALI-related studies:

View the RSNA News Vaping by the Numbers infographic with stats that detail this health challenge.

Access the Radiology website dedicated to electronic cigarette or vaping product use–associated lung injury (EVALI). 

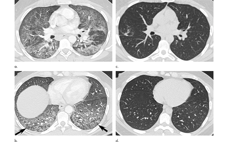
Gotway Fig. 5 feature
Images in a 39-year-old man with respiratory failure hospitalized for 10 days with an electronic cigarette or vaping product use–associated lung injury manifesting as an acute lung injury pattern at CT with some CT features suggesting a hypersensitivity pattern. (a, b) Axial enhanced CT images through the (a) mid and (b) lower lungs at presentation show multifocal areas of ground-glass opacity with prominent lobular low attenuation in the bases (arrows) suggesting small airway obstruction in addition to the ground-glass opacity. (c, d) Axial unenhanced CT images through the (c) mid and (d) lower lungs obtained 64 days after presentation show complete clearing of lung parenchymal abnormalities. Right middle lobe opacity (c) reflects site of surgical lung biopsy, which showed acute lung injury with organization, but no granulomas or other features typical of hypersensitivity pneumonitis.