RSNA Press Release

3D MRI Technique Guides Precision Treatment of Kids’ Heart Conditions

Released: February 12, 2026
RSNA Media Relations
1-630-590-7762
media@rsna.org
Linda Brooks
1-630-590-7738
lbrooks@rsna.org
Evonne Acevedo
1-630-368-7886
eacevedo@rsna.org

OAK BROOK, Ill. — With a new MRI technique that shows both heart tissue and blood flow simultaneously, physicians can see where heart defects occur and precisely plan to repair them, according to new research published today in Radiology: Cardiothoracic Imaging, a journal of the Radiological Society of North America (RSNA).

Researchers at Children’s Hospital of Philadelphia (CHOP) in Pennsylvania have developed 3D volume rendering methods for cardiac MRI that display complex structures within the heart and show how blood moves through them, much like ultrasound images but without the typical challenges of positioning angles. In their study, the researchers demonstrated how their methods guided treatment decisions in four young children who had complex heart conditions that were present from birth.

Volume rendering is a computer graphics technique that creates 3D images directly from MRI scan data. It works by assigning colors and transparency to different tissue types based on how they appear in the MRI. 

“Think of it like adjusting the settings on a photograph to highlight certain features,” said study coauthor Matthew Jolley, M.D., a pediatric cardiac anesthesiologist and cardiologist at CHOP and an associate professor at the University of Pennsylvania. “We developed specific settings that make heart muscle and heart valves visible while making blood and surrounding tissues transparent.”

The technique is particularly useful for observing blood flow through complex structures like valve leaflets—the flaps within the heart valves that are designed to open to allow blood to flow through, then close to form a tight seal and keep the blood from leaking backward in the wrong direction. 

“In patients with holes in the heart structure or leaflets that don’t form a complete seal, we can now see the valve leaflets moving and identify exactly where a valve is leaking, which has not been possible with MRI before this technique,” Dr. Jolley said. 

One patient in the study, a 4-year-old boy with a leaking and narrowed aortic valve, was being evaluated for valve repair or replacement surgery. The research team’s visualization tools showed the valve leaflets and a central jet of leakage, guiding the best surgical approach.

The team developed new ways to display blood flow on MRI, including lines showing the direction of flow and color-coded displays similar to those on Doppler ultrasound. While 3D ultrasound can also show tissue and flow together, it displays a smaller field of view, and the accuracy of flow measurements depends on the angle between the ultrasound beam and the blood flow direction, Dr. Jolley explained. CT can provide excellent anatomic images but cannot show blood flow, and it uses ionizing radiation. MRI provides high-quality flow images regardless of angles, and it does it without radiation—which is especially important for children who may need repeated imaging throughout their lives.

“Importantly, volume rendering is fast—generating visualizations nearly instantaneously—which is essential for 4D moving images where there is simply too much information to process using traditional manual tracing methods,” Dr. Jolley said.

Dr. Jolley said that the team sees these MRI visualization techniques as a complement to ultrasound rather than a replacement. 

“Our approach has limitations,” he said. “The quality of these visualizations depends heavily on the quality of the underlying MRI scan. Approaches like manual tracing can correct for image imperfections and is still necessary for certain analyses like computer simulations of heart function.”

The team was excited to find that their MRI-based images looked quite similar to 3D echocardiography with color Doppler, which doctors are already familiar with and rely on for evaluating heart valves.

From this work comes a suite of free cardiac image processing tools, SlicerHeart, developed using an open-source program called 3D Slicer. The research team has made the tools available for research and treatment in cardiovascular medicine, especially congenital heart disease, at SlicerHeart.org.

“Rapid Visualization of Valves and Myocardium Using Volume Rendering of 3D Cardiac MRI, 4D Cine, and 4D Flow Images.” Collaborating with Dr. Jolley were Julia Iacovella, B.S., Danish Vaiyani, M.D., Sehdev Pressley, B.S., Andras Lasso, Ph.D., Analise M. Sulentic, B.S., Alana R. Cianciulli, B.S., Ashley Koluda, M.S., Matthew Daemer, B.S. Mark A. Fogel, M.D., and Kevin K. Whitehead, M.D., Ph.D.

Radiology: Cardiothoracic Imaging is edited by interim editor Harold I. Litt, MD, Ph.D., Perelman School of Medicine of the University of Pennsylvania, Philadelphia, Pennsylvania; and owned and published by the Radiological Society of North America, Inc. (https://pubs.rsna.org/journal/cardiothoracic)

RSNA is an association of radiologists, radiation oncologists, medical physicists and related scientists promoting excellence in patient care and health care delivery through education, research and technologic innovation. The Society is based in Oak Brook, Illinois. (RSNA.org)

For patient-friendly information on MRI, visit RadiologyInfo.org.

Video (MP4):

Video 1. Volume rendering of ferumoxytol contrast enhanced inversion recovery gradient echo imaging in a 5-year-old female (patient 4) with neoaortic insufficiency demonstrates the coronary artery anatomy in relation to the aortic valve leaflets in the short axis view. Segmentation of the neoaortic valve shows the relative sizes of the aortic valve leaflets as well as a central coaptation defect. Volume rendering from MUSIC imaging shows the aortic valve motion in the short axis view. Volume rendering using 4D flow imaging shows the aortic valve in the axial and coronal views with subsequent demonstration in conjunction with streamlines from 4D flow imaging to highlight the neoaortic insufficiency in relation to the valve morphology. 
Download
Video 2. Imaging of a 4-year-old male (patient 1) with severe aortic insufficiency. Echocardiography in the long axis view demonstrates a central regurgitation jet on color doppler imaging. Ferumoxytol contrast enhanced MUSIC imaging demonstrates a central coaptation defect in the short axis view, and severe insufficiency in the coronal and sagittal views. Volume rendering in the axial and coronal views demonstrates valve morphology; proximal coronary artery courses in relation to the aortic sinuses are shown in the short axis view. Measurements displayed were performed using multiplane reconstruction as well as specific views in the 3D image. 
Download
Video 3. Comparison of 2D and color doppler echocardiography with volume rendering of a ferumoxytol contrast enhanced MUSIC imaging from a cardiac magnetic resonance study of a 4-year-old male with aortic insufficiency (patient 1). Long- and short-axis 2D and color doppler echocardiography is shown with long- and short-axis volume rendering of MUSIC imaging. Finally, short axis views of the neoaortic valve are demonstrated using 3D echocardiography and volume rendering of the neoaortic valve, highlighting how volume rendering is complementary and analogous to echocardiography. 
Download
Video 4. Ferumoxytol contrast enhanced imaging of a 5-year-old female with neoaortic insufficiency (patient 4) is demonstrated alongside echocardiography. Volume rendering of MUSIC imaging is displayed alongside 2D and 3D echocardiography in the short axis view. Volume rendering of 4D flow imaging is shown with 2D echocardiography of long and short axis imaging of the neoaortic valve. Finally, color doppler echocardiography imaging of the neoaortic valve in the long and short views is demonstrated alongside 4D flow imaging with both streamlines and echo-like flow overlying the volume rendering. 
Download
Video 5. Imaging of a 6-year-old female with a malignment VSD, right ventricle to aorta, and pulmonary atresia (patient 2). Ferumoxytol contrast enhanced inversion recovery gradient echo imaging demonstrates the intracardiac anatomy and highlights the VSD in the axial, coronal and sagittal views. Volume rendering of this imaging results in a 3D demonstration of the VSD from the right ventricular and left ventricular views. Measurements displayed were performed using multiplane reconstruction as well as specific views in the 3D image. Finally, a virtual baffle is applied over the volume rendering to demonstrate feasible surgical strategies for pre-procedural planning. 
Download
Video 6. Ferumoxytol contrast enhanced BOOST cardiac magnetic resonance imaging of a 3-year-old female (patient 3) demonstrating a conoventricular and multiple muscular VSDs in the axial and coronal views. Volume rendering of this imaging produced a 3D rendering of the VSDs from the right and left ventricular views. Finally, a virtual patch and virtual devices are overlayed for pre-procedural planning.
Download

Images (JPG, TIF):

Figure 1. Demonstration of transfer function and resulting volume rendering in a 6-year-old female patient with right ventricle to aorta and malalignment ventricular septal defect (patient 2) being considered for biventricular repair. Transfer function applied to inversion-recovery fast low-angle shot images obtained from ferumoxytol-enhanced cardiac MRI alters color and opacity within the three-dimensional image. (A) Transfer function for rendering of contrast media within the blood pool. (B) Transfer function for rendering of the myocardium with red interior. (C) Transfer function for rendering of the myocardium with light interior. (D) Traditional volume rendering. (E) Volume rendering of the myocardium with red interior. (F) Volume rendering of the myocardium with light interior. ROI = region of interest.

Figure 2. Volume rendering of ferumoxytol-enhanced inversion-recovery fast low-angle shot imaging from cardiac MRI in a 6-year-old female patient with a right ventricle to aorta and malalignment ventricular septal defect (VSD) (patient 2) to inform planning of biventricular repair. (A) Sagittal and (B) coronal views demonstrate VSD (green arrow). (C) Volume rendering of cardiac MRI. (D) Volume rendering with baffle placement using SlicerHeart.
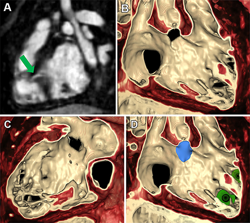
Figure 3. Volume rendering of ferumoxytol-enhanced cardiac MR images using image-based navigation (ie, iNav) to inform closure of multiple ventricular septal defects (VSDs) in a 3-year-old female patient (patient 3). (A) Multiplane reconstruction of volume demonstrates muscular VSD (green arrow). (B) Volume rendering of the myocardium from right ventricular view. (C) Volume rendering of the myocardium from left ventricular view. (D) Simulated VSD closure (blue) and device placement (green) within volume-rendered images.
Figure 4. Integrated rendering of myocardial tissue and flow vectors from ferumoxytol-enhanced four-dimensional flow acquisition from cardiac MRI in a 5-year-old female patient with neoaortic insufficiency (patient 4). (A) Surgical view of neoaortic valve in systole. (B) Surgical view of simultaneous rendering of tissue and dense streamlines in systole. (C) Surgical view of simultaneous rendering of tissue and flow with “Doppler-like” rendering encoding velocity relative to annular plane in systole. (D) Coronal view of neoaortic valve in systole. (E) Coronal view of simultaneous rendering of tissue and dense streamlines in systole. (F) Coronal view of simultaneous rendering of tissue and flow with Doppler-like rendering encoding velocity relative to annular plane in systole.
Figure 5. Volume rendering of multiphase steady-state imaging with contrast enhancement (ie, MUSIC) from ferumoxytol-enhanced cardiac MRI in a 4-year-old male patient with severe aortic insufficiency (patient 1) to inform valve repair. (A) Axial multiplane reconstruction in diastole. (B) Volume rendering from axial view in diastole. (C) Axial multiplane reconstruction in systole. (D) Axial view of volume-rendered image with cutting plane through aortic valve in systole.
Figure 6. Visualization of neoaortic valve using ferumoxytol-enhanced multiphase steady-state imaging with contrast enhancement (ie, MUSIC) cardiac MRI in a 5-year-old female patient with neoaortic insufficiency (patient 4) to inform valve repair. (A) Axial view of volume rendering looking down at neoaortic valve. (B) Coronal view of volume rendering cutting through aortic valve. (C) Segmentation of neoaortic valve demonstrates central defect. (D) Overlay of segmented image within volume-rendered image.