RSNA Press Release

Shoulder “Brightness” on Ultrasound May Be a Sign of Diabetes

Released: November 19, 2018
RSNA Media Relations
1-630-590-7762
media@rsna.org
Linda Brooks
1-630-590-7738
lbrooks@rsna.org

At A Glance

  • Brightness of the shoulder’s deltoid muscle on ultrasound may be an indicator of diabetes or pre-diabetes.
  • Using shoulder ultrasound images, radiologists were able to accurately identify diabetic status in 89 percent of patients.
  • Low levels of glycogen may underlie the bright appearance of the shoulder on ultrasound in patients with diabetes and pre-diabetes.

CHICAGO – A shoulder muscle that appears unusually bright on ultrasound may be a warning sign of diabetes, according to a study being presented next week at the annual meeting of the Radiological Society of North America (RSNA).

Ultrasound is commonly used to diagnose sources of pain in the shoulder. More than 10 years ago, musculoskeletal radiologist Steven B. Soliman, D.O., from Henry Ford Hospital in Detroit, began noticing a pattern when images of the deltoid muscle, the largest muscle of the shoulder, appeared bright on ultrasound.

download full-size photo

Steven B. Soliman, D.O.

Steven B. Soliman, D.O.

“Every time we would ask one of these patients if they were diabetic, they would say ‘yes’ or they would tell us they were borderline and not taking any medications,” Dr. Soliman said.

The observations prompted Dr. Soliman and colleagues at Henry Ford to conduct a study to see if the brightness, or echogenicity, of the shoulder muscle could be predictive of diabetes. The results revealed that by using the echogenicity of the muscle, radiologists were able to predict type 2 diabetes, the most common type of diabetes, in almost nine out of 10 patients. Brightness on ultrasound also was an accurate predictor of pre-diabetes, a condition of abnormally high blood sugar that generally progresses to diabetes without changes in lifestyle.

The researchers said the findings could allow for earlier interventions. “If we observe this in patients with pre-diabetes and diabetes, we can get them to exercise, make diet modifications and lose weight,” Dr. Soliman said. “If these interventions happen early enough, the patients may be able to avoid going on medications and dealing with all the complications that go with the disease.”

For the study, Dr. Soliman and colleagues compiled 137 shoulder ultrasounds from patients with type 2 diabetes, including 13 with pre-diabetes. The researchers also obtained 49 ultrasounds from obese patients without diabetes.

The researchers showed the ultrasounds to two musculoskeletal radiologists who were unaware whether the images came from patients with or without diabetes. The radiologists were asked to classify the patients, based on the brightness of their shoulder muscle, into one of three categories: normal, suspected diabetes and definite diabetes. A third musculoskeletal radiologist acted as an arbitrator in the cases where the other two radiologists disagreed.

The results showed that a consensus diagnosis of “definite diabetes” by the radiologists was a powerful predictor of diabetic status. Using the shoulder ultrasounds, the radiologists correctly predicted diabetes in 70 of 79 patients, or 89 percent.

“We weren’t surprised that we had positive results because the shoulder muscle on patients with diabetes looked so bright on ultrasound, but we were surprised at the level of accuracy,” Dr. Soliman said.

A hyperechoic, or unusually bright-looking, deltoid muscle was also a strong predictor of pre-diabetes. The musculoskeletal radiologists assigned all 13 pre-diabetic ultrasounds to either the “suspected diabetes” or “definite diabetes” categories.

“A lot of the patients weren’t even aware that they were diabetic or pre-diabetic,” said Dr. Soliman, who noted that this lack of awareness is a major problem in the U.S. According to the Centers for Disease Control and Prevention (CDC), nearly one in four Americans with diabetes—about 7.2 million people—are unaware they have the disease and are left undiagnosed.

“Also, the CDC states that pre-diabetes affects an astonishing 84.1 million adults, or nearly 34 percent of the adult U.S. population, and an overwhelming 90 percent of these people are completely unaware of their pre-diabetic status and are at a high risk of developing type 2 diabetes,” Dr. Soliman said.

The reasons for the brighter-appearing shoulder muscle on ultrasound among patients with diabetes is not completely understood, according to Dr. Soliman, but the researchers suspect it is due to low levels of glycogen in the muscle, a key source of energy for the body that is stored primarily in the liver and muscles. A study of muscle biopsies in patients with diabetes found that muscle glycogen levels are decreased up to 65 percent. Prior research has also shown that the muscles of athletes appear brighter on ultrasound after exercise, when their glycogen stores are depleted.

“It could be that this appearance in people with diabetes and pre-diabetes is related to the known problems with glycogen synthesis in their muscles because of their insulin abnormalities,” Dr. Soliman said.

If they see a bright shoulder muscle on ultrasound, radiologists at Henry Ford now put notes in their reports indicating that this observation has been linked to diabetes.

The researchers plan to continue studying the connection between shoulder muscle echogenicity and diabetes with an eye toward quantifying the phenomenon and seeing if it is reversible.

Co-authors are Paul Williams, M.D., Kelli A. Rosen, D.O., Jessica K. Kim, B.S., D.O., Paul J. Spicer, M.D., and Marnix T. van Holsbeeck, M.D.

Note: Copies of RSNA 2018 news releases and electronic images will be available online at RSNA.org/press18 beginning Monday, Nov. 26.

RSNA is an association of over 54,000 radiologists, radiation oncologists, medical physicists and related scientists, promoting excellence in patient care and health care delivery through education, research and technologic innovation. The Society is based in Oak Brook, Ill. (RSNA.org)

Editor's note: The data in these releases may differ from those in the published abstract and those actually presented at the meeting, as researchers continue to update their data right up until the meeting. To ensure you are using the most up-to-date information, please call the RSNA Newsroom at 1-312-791-6610.

For patient-friendly information on musculoskeletal ultrasound, visit RadiologyInfo.org.

Video (MP4):

Video 1. Kelli A. Rosen, D.O., discusses her study on “Shoulder ‘Brightness’ on Ultrasound May Be a Sign of Diabetes.”

Download
Video 2. Kelli A. Rosen, D.O., discusses why her research team wanted to conduct this research.

Download
Video 3. Kelli A. Rosen, D.O., discusses the single most important finding of this study.

Download
Video 4. Kelli A. Rosen, D.O., discusses why this research is important.

Download
Video 5. Kelli A. Rosen, D.O., discusses possible causes of the "brightness" in the shoulder on the ultrasound image.

Download
Video 6. Kelli A. Rosen, D.O, discusses how diabetes typically diagnosed.

Download
Video 7. Kelli A. Rosen, D.O., discusses why it is important to diagnose diabetes early.

Download

Images (JPG, TIF):

Figure 1. Images of the shoulder showing reversal of the rotator cuff to deltoid gradient. Image A displays the normal gradient of the deltoid muscle to the supraspinatus tendon. Image B shows reversal of the normal gradient in a type 2 diabetic patient. D: Deltoid, S: Supraspinatus, H: Humerus

High-res (TIF) version
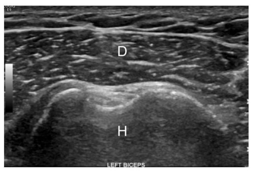
Figure 2. Image of the normal deltoid muscle in an obese, non-diabetic patient. D - Deltoid, H - Humerus

High-res (TIF) version
Figure 3. Image of a deltoid muscle in a patient with type 2 diabetes. D - Deltoid, H - Humerus

High-res (TIF) version

Files:

PowerPoint presentation provided for background reporting purposes only. Do not reprint or reproduce slide content.