RSNA Press Release

COVID-19 During Pregnancy Doesn’t Harm Baby’s Brain

Released: November 30, 2021
RSNA Media Relations
1-630-590-7762
media@rsna.org
Linda Brooks
1-630-590-7738
lbrooks@rsna.org

At A Glance

  • Mild to moderate COVID-19 in pregnant women appears to have no effect on the brain of the developing fetus.
  • Researchers used fetal MRI to study patients who contracted COVID-19 during pregnancy.
  • There were no findings indicative of infection of the fetal brain, and brain development was age-appropriate in all fetuses.
  • CHICAGO — COVID-19 of mild to moderate severity in pregnant women appears to have no effect on the brain of the developing fetus, according to a study being presented today at the annual meeting of the Radiological Society of North America (RSNA).

    Sophia Stöcklein, M.D.

    Sophia Stöcklein, M.D.

    Two years into the pandemic, there is evidence that pregnant women are more vulnerable to the SARS-CoV-2 virus that causes COVID-19. However, little is known about the possible consequences for an unborn child if the mother is infected during pregnancy. The likelihood and impact of a vertical transmission, meaning the passage of the virus from mother to the fetus, remains unclear.

    “Women infected with SARS-CoV-2 during pregnancy are concerned that the virus may affect the development of their unborn child, as is the case with some other viral infections,” said study senior author Sophia Stöcklein, M.D., from the Department of Radiology at Ludwig Maximilian University of Munich, in Germany. “So far, although there are a few reports of vertical transmission to the fetus, the exact risk and impact remain largely unclear. The aim of our study was to fill this gap in knowledge regarding the impact of a maternal SARS-CoV-2 infection on fetal brain development.”

    Dr. Stöcklein and colleagues used fetal MRI to study 33 patients with COVID-19 infection during pregnancy. The patients were roughly 28 weeks into their pregnancies, on average, with symptom onset occurring at a mean of just over 18 weeks into the pregnancy. The most common maternal symptoms were loss or a reduced sense of smell and taste, dry cough, fever and shortness of breath.

    Two board-certified radiologists with several years of experience in fetal MRI evaluated the scans. They found that the brain development in the assessed areas was age-appropriate in all fetuses. There were no findings indicative of infection of the fetal brain.

    “In our study, there was no evidence that a maternal SARS-CoV-2 infection has any effect on the brain development of the unborn child,” Dr. Stöcklein said. “This fact should help to reassure affected parents.”

    Dr. Stöcklein cautioned that only mothers with mild to moderate symptoms and without hospitalization were included in the study.

    “Since the impact of severe infection on brain development in the fetus has not been conclusively determined, active protection against SARS-CoV-2 infection during pregnancy remains important,” she said.

    As part of that protection, the Centers for Disease Control and Prevention (CDC) recommends vaccination for all people ages 12 and older, including women who are pregnant or thinking about getting pregnant. The CDC notes that the vaccine can protect against severe illness.

    “So far, vaccination is the most promising protection against COVID-19,” Dr. Stöcklein said. “Any potential side effects are manageable, even in pregnant women. Therefore, despite the encouraging results of our study, pregnant women should strongly consider vaccination.”

    The researchers will be following the patients over the next five years, including detailed neonatal assessment, as well as assessment of neurological development.

    Co-authors are Olaf Dietrich, Ph.D., Andreas Flemmer, M.D., Julien Dinkel, M.D., Nicola Fink, Vanessa Koliogiannis, M.D., Christoph Hubener, M.D., Tobias Prester, Maria Delius, M.D., M.P.H., Thomas Kolben, and Sven Mahner, M.D.

    Note: Copies of RSNA 2021 news releases and electronic images will be available online at RSNA.org/press21.

    RSNA is an association of radiologists, radiation oncologists, medical physicists and related scientists promoting excellence in patient care and health care delivery through education, research and technologic innovation. The Society is based in Oak Brook, Illinois. (RSNA.org)

    Editor’s note: The data in these releases may differ from those in the published abstract and those actually presented at the meeting, as researchers continue to update their data right up until the meeting. To ensure you are using the most up-to-date information, please call the RSNA Newsroom at 1-312-791-6610.

    For patient-friendly information on MRI during pregnancy, visit RadiologyInfo.org.

    Images (JPG, TIF):

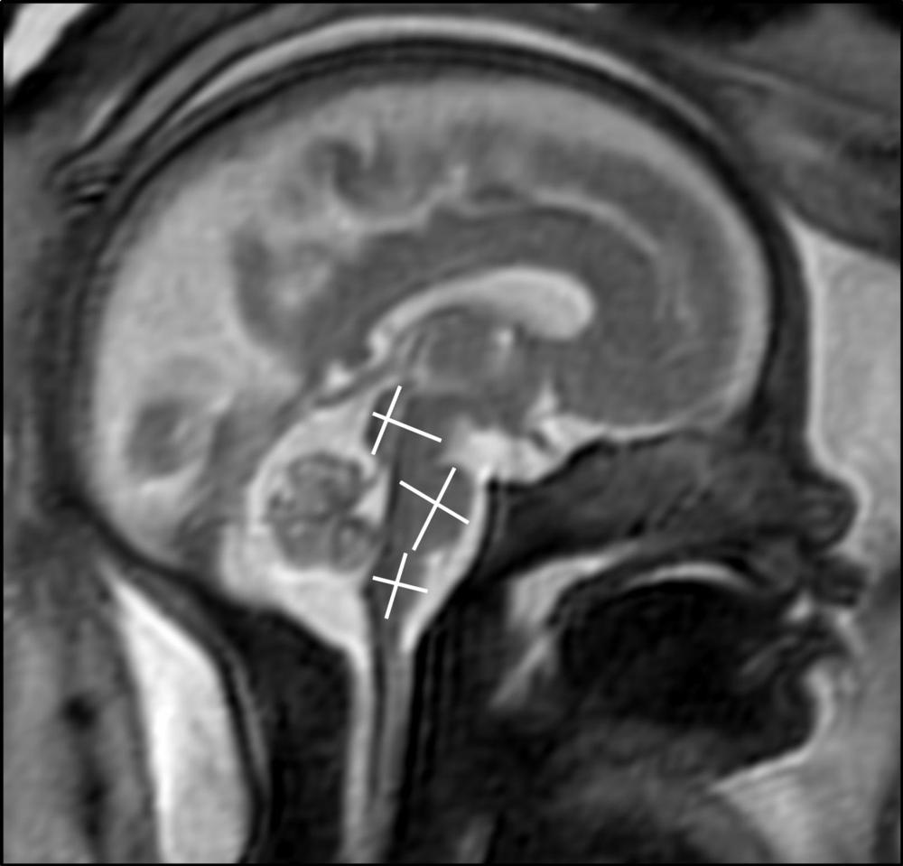
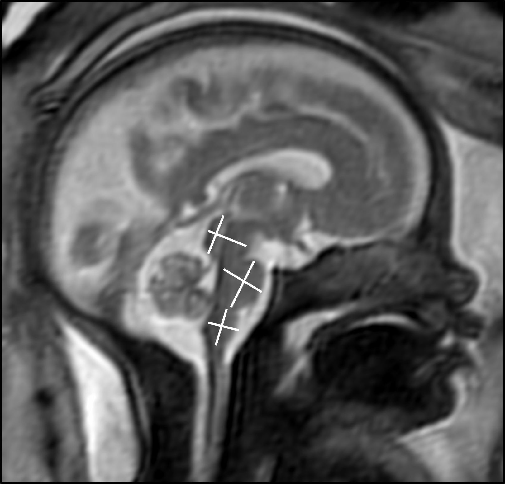
    Figure 1. MRI of fetal brain development.
    High-res (TIF) version
    Figure 2. Image of fetus.
    High-res (TIF) version

    Files:

    PowerPoint presentation provided for background reporting purposes only. Do not reprint or reproduce slide content.