RSNA Press Release

Brain Disconnections May Contribute to Parkinson’s Hallucinations

Released: September 27, 2017
RSNA Media Relations
1-630-590-7762
media@rsna.org
Linda Brooks
1-630-590-7738
lbrooks@rsna.org

At A Glance

  • Disconnections of brain areas may contribute to visual hallucinations in patients with Parkinson’s disease.
  • Researchers used resting-state fMRI to examine patients with and without visual hallucinations.
  • Results showed decreased connectivity of multiple brain areas, especially those important in maintaining attention and processing of visual information.

OAK BROOK, Ill. — Researchers have found that disconnections of brain areas involved in attention and visual processing may contribute to visual hallucinations in individuals with Parkinson’s disease, according to a new study published online in the journal Radiology. The disconnected brain areas seen on functional MRI (fMRI) may be valuable in predicting the development of visual hallucinations in patients with Parkinson’s disease.

download full-size photo

Dagmar H. Hepp, M.D.

Dagmar H. Hepp, M.D.

Hallucinations are sensations that seem real but are created in a person’s mind. A person having a hallucination may see, hear or feel something that is not actually there. According to the National Parkinson Foundation, visual hallucinations can be a complication of Parkinson’s disease.

“Visual hallucinations in Parkinson’s disease are frequent and debilitating,” said study author Dagmar H. Hepp, M.D., from the Department of Neurology and the Department of Anatomy and Neurosciences at VU University Medical Center (VUMC) in Amsterdam, the Netherlands. “Our aim was to study the mechanism underlying visual hallucinations in Parkinson’s disease, as these symptoms are currently poorly understood.”

Studies using fMRI to investigate visual hallucinations in patients with Parkinson’s disease are rare and have been mainly limited to task-based methods using activities that involve visual stimulation or cognitive tasks. However, the authors note that the presence of visual hallucinations is strongly linked to the development of cognitive decline in patients with Parkinson’s disease. Cognitive deficits may influence a patient’s ability to perform specific tasks during an fMRI exam.

For this study, researchers used resting-state fMRI to examine the connectivity, or communication, between brain areas. Resting-state fMRI is a method of brain imaging that can be used to evaluate patients not performing an explicit task. The connectivity was measured in 15 patients with visual hallucinations, 40 patients without visual hallucinations, and 15 healthy controls by calculating the level of synchronization between activation patterns of different brain areas.

The results showed that in all the patients with Parkinson’s disease, multiple brain areas communicated less with the rest of the brain as compared to the control group. However, in patients suffering from visual hallucinations, several additional brain areas showed this decreased connectivity with the rest of the brain, especially those important in maintaining attention and processing of visual information.

download full-size photo

Menno M. Schoonheim, Ph.D.

Menno M. Schoonheim, Ph.D.

“We found that the areas in the brain involved in attention and visual processing were less connected to the rest of the brain,” said study author Menno M. Schoonheim, Ph.D., from the Department of Anatomy and Neurosciences at VUMC. “This suggests that disconnection of these brain areas may contribute to the generation of visual hallucinations in patients with Parkinson’s disease.”

While there are no direct therapeutic implications for patient care based on the research, the authors note that future studies could indicate whether techniques that could stimulate the areas with decreased connectivity could be helpful to treat visual hallucinations in people with Parkinson’s disease.

“Loss of Functional Connectivity in Patients with Parkinson Disease and Visual Hallucinations.” Collaborating with Drs. Hepp and Schoonheim were Elisabeth M. J. Foncke, M.D., Ph.D., Kim T. E. Olde Dubbelink, M.D., Ph.D., Wilma D. J. van de Berg, Ph.D., and Henk W. Berendse, M.D., Ph.D.

Radiology is edited by Herbert Y. Kressel, M.D., Harvard Medical School, Boston, Mass., and owned and published by the Radiological Society of North America, Inc. (http://radiology.rsna.org/)

RSNA is an association of over 54,600 radiologists, radiation oncologists, medical physicists and related scientists, promoting excellence in patient care and health care delivery through education, research and technologic innovation. The Society is based in Oak Brook, Ill. (RSNA.org)

For patient-friendly information on brain fMRI, visit RadiologyInfo.org.

Images (JPG, TIF):

Figure 1. Box-and-whisker plot shows mean functional connectivity in patient groups with Parkinson’s disease (PD) and control participants. Patients with PD + visual hallucinations (VH) had significantly lower mean functional connectivity compared with control participants, whereas mean functional connectivity in patients with PD – VH and control participants was not significantly different.

High-res (TIF) version
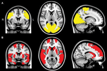
Figure 2. MR images show reduced regional functional connectivity in, A, Parkinson’s disease (PD) patients and, B, exclusively in PD + visual hallucinations (VH) patients. Regional functional connectivity analysis revealed lower functional connectivity in PD + VH as well as PD – VH patients compared with control participants in paracentral and occipital regions (yellow areas in A; P < .05, corrected for multiple comparisons). Functional connectivity in frontal, temporal, and subcortical regions was exclusively lower in patients with PD + VH compared with control participants (red areas in B; P < .05, corrected for multiple comparisons).

High-res (TIF) version