RSNA Press Release

International Radiology Consensus Outlines Best Practices for Post-COVID CT

Released: July 22, 2025
RSNA Media Relations
1-630-590-7762
media@rsna.org
Linda Brooks
1-630-590-7738
lbrooks@rsna.org

OAK BROOK, Ill. — Experts representing multiple societies and institutions across 14 countries have published guidance for computed tomography (CT) imaging in patients with residual lung abnormalities after COVID-19 illness. The consensus statement appears today in Radiology, a journal of the Radiological Society of North America (RSNA).

The statement's authors seek to standardize the indications for when chest CT is appropriate for patients with post–COVID-19 condition, the methods for acquiring images and the terminology used for reporting residual lung abnormalities. The final consensus was reviewed by four expert pulmonologists to ensure alignment with clinical perspectives.

Using standardized and specific terminology when reporting these abnormalities helps to avoid confusion with interstitial lung diseases (ILDs), explained statement coauthor Anna Rita Larici, M.D., an associate professor of radiology at Catholic University of the Sacred Heart of Rome and chief of the Chest Imaging Unit at Advanced Radiology Center of Agostino Gemelli University Polyclinic Foundation in Rome, Italy. It also helps physicians make more informed decisions about patient management, and it captures more precise data for future research.

"These statements recommend employing terms from the Fleischner Society Glossary to describe CT findings consistently and precisely, avoiding the use of 'interstitial lung abnormality (ILA),' which refers to a different clinical context," Dr. Larici said. "In addition, we have coined and recommended the term 'post–COVID-19 residual lung abnormality' to prevent any misleading term when describing CT lung abnormalities following COVID-19 pneumonia."

Anna Rita Larici, M.D.

Anna Rita Larici, M.D.

The authors also outlined the conditions under which chest CT imaging is appropriate for this patient group. They recommend chest CT for patients whose respiratory symptoms continue or worsen three months after infection, with these symptoms lasting for at least two months and with no other explanation. A chest CT scan three to six months after discharge may also be considered for all patients hospitalized with moderate to severe COVID-19 due to the high rate of residual CT lung abnormalities observed in these patients.

The group suggests that follow-up be guided by radiological expertise in conjunction with clinical judgment, considering its frequency based on the extent of initial lung abnormalities, temporal changes and/or pulmonary physiology.

Radiologists should adhere to the "as low as reasonably achievable" (ALARA) principle for serial CT follow-up, using a low-dose protocol within a range of 1 to 3 millisieverts, the authors advised.

"Radiologists play a crucial role in adhering to ALARA principles by optimizing CT protocols—using appropriate low-dose techniques during follow-ups—while maintaining the image quality necessary for accurate assessment," Dr. Larici said. "This is especially important when serial imaging of these patients is needed, so that we minimize radiation exposure without compromising diagnostic accuracy."

COVID-19 can cause continuing or worsening symptoms after infection—described as post–COVID-19 condition or "long COVID"—and approximately 6% of individuals who have had COVID-19 are estimated to experience post–COVID-19 condition. Among patients hospitalized for acute COVID-19, on average, 50% show chest CT abnormalities, and 25% have restrictive pulmonary functional abnormalities at four months after infection. Radiologists face several unique challenges when caring for this patient population.

"These include differentiating between persistent residual COVID-19 lung abnormalities and evolving fibrotic changes, interpreting overlapping features such as ground-glass opacities versus fibrosis, and assessing the temporal evolution of these findings," Dr. Larici explained. "Distinguishing post–COVID-19 residual lung abnormalities from ILA and ILDs is crucial, because they have very different clinical implications: post–COVID-19 changes typically stabilize over time, whereas ILA and ILDs can progress."

It's important to understand that post–COVID-19 lung abnormalities can persist for months and potentially impact respiratory health, she said.

"Follow-up imaging plays a key role in assessing these residual changes and guiding clinical care, but it should be performed judiciously. Adherence to established recommendations helps ensure that patients receive follow-up imaging and care only when clinically indicated," Dr. Larici said.

Dr. Larici noted that being part of a global team of experts working together signifies a collective effort to establish evidence-based, harmonized best practices for caring for patients recovering from post–COVID-19 pneumonia.

"It reflects a commitment to advancing patient care worldwide through shared knowledge, research and consensus," she said.

"Best Practice: International Multisociety Consensus Statement for Post–COVID-19 Residual Abnormalities on Chest CT Scans." Collaborating with Dr. Larici were Soon Ho Yoon, M.D., Ph.D., Jeffrey P. Kanne, M.D., Kazuto Ashizawa, M.D., Ph.D., Jürgen Biederer, M.D., Eva Castañer, M.D., Ph.D., Li Fan, M.D., Thomas Frauenfelder, M.D., Benoit Ghaye, M.D., Ph.D., Travis S. Henry, M.D., Yu-Sen Huang, M.D., Ph.D., Yeon Joo Jeong, M.D., Ph.D., Fernando U. Kay, M.D., Ph.D., Seth Kligerman, M.D., Jane P. Ko, M.D., Anagha P. Parkar, M.D., Ph.D., Nitra Piyavisetpat, M.D., Helmut Prosch, M.D., Constantine A. Raptis, M.D., Scott Simpson, D.O., Nobuyuki Tanaka, M.D., Kevin K. Brown, M.D., Yoshikazu Inoue, M.D., Ph.D., Nathan Sandbo, M.D., and Luca Richeldi, M.D., Ph.D.

Radiology is edited by Linda Moy, M.D., New York University, New York, N.Y., and owned and published by the Radiological Society of North America, Inc. (https://pubs.rsna.org/journal/radiology)

RSNA is an association of radiologists, radiation oncologists, medical physicists and related scientists promoting excellence in patient care and health care delivery through education, research and technologic innovation. The Society is based in Oak Brook, Illinois. (RSNA.org)

For patient-friendly information on lung CT, visit RadiologyInfo.org.

Images (JPG, TIF):

Figure 1. Unenhanced axial CT images show post–COVID-19 residual abnormalities in a 69-year-old male patient with a history of smoking and myocardial infarction. (A) Baseline image obtained at admission to intensive care department shows extensive ground-glass opacities and mild bilateral consolidation (black arrowheads), associated with crazy paving pattern (white arrowheads), spontaneous pneumomediastinum (*), and bilateral anterior chest wall subcutaneous emphysema. (B) Image obtained 1 month later shows complete resolution of the pneumomediastinum and subcutaneous emphysema, with persistent diffuse bilateral ground-glass opacities and reticular opacities. Mild lung and bronchial architectural distortion are also observed (arrows). The patient was discharged with instructions to use supplemental oxygen during exertion and at night. (C) Image obtained 4 months from baseline shows the reduction of prior ground-glass opacities and reticular opacities, with residual patchy areas of mild ground-glass opacities and fine reticular opacities showing subpleural and peribronchovascular distribution (arrowheads) in both lungs. Previously observed bronchial dilation shows improvement. The patient reported persistent mild exertional dyspnea, and pulmonary function tests revealed a mild restrictive pattern and slightly reduced diffusing lung capacity for carbon monoxide. (D) Image obtained at 1-year follow-up shows near-complete resolution of post–COVID-19 lung abnormalities, with only minimal residual ground-glass opacities and mild architectural distortion (arrowheads).
High-res (TIF) version
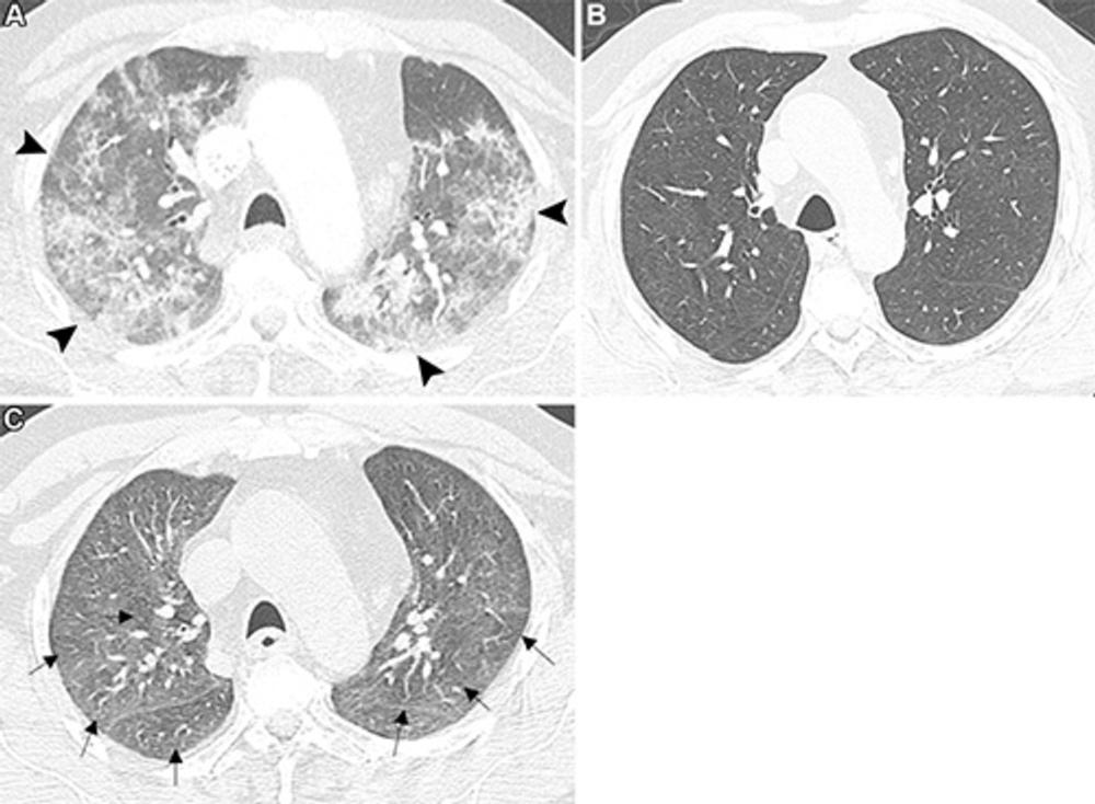
Figure 2. Axial chest CT images show air trapping following COVID-19 pneumonia in a 61-year-old male patient with persistent mild dyspnea at exertion with dry cough. (A) Contrast-enhanced image shows patchy areas of consolidation and ground-glass opacities with subpleural and peribronchovascular distribution in the upper lobes (arrowheads), consistent with COVID-19 pneumonia. (B) Full-inspiratory unenhanced image obtained 10 months later because of ongoing mild exertional dyspnea and dry cough shows complete resolution of the previous bilateral lung abnormalities. (C) Full-expiratory unenhanced image shows patchy hypodense areas of air trapping in the upper lobes (arrows). The inspiratory images show an absence of mosaic attenuation.
High-res (TIF) version
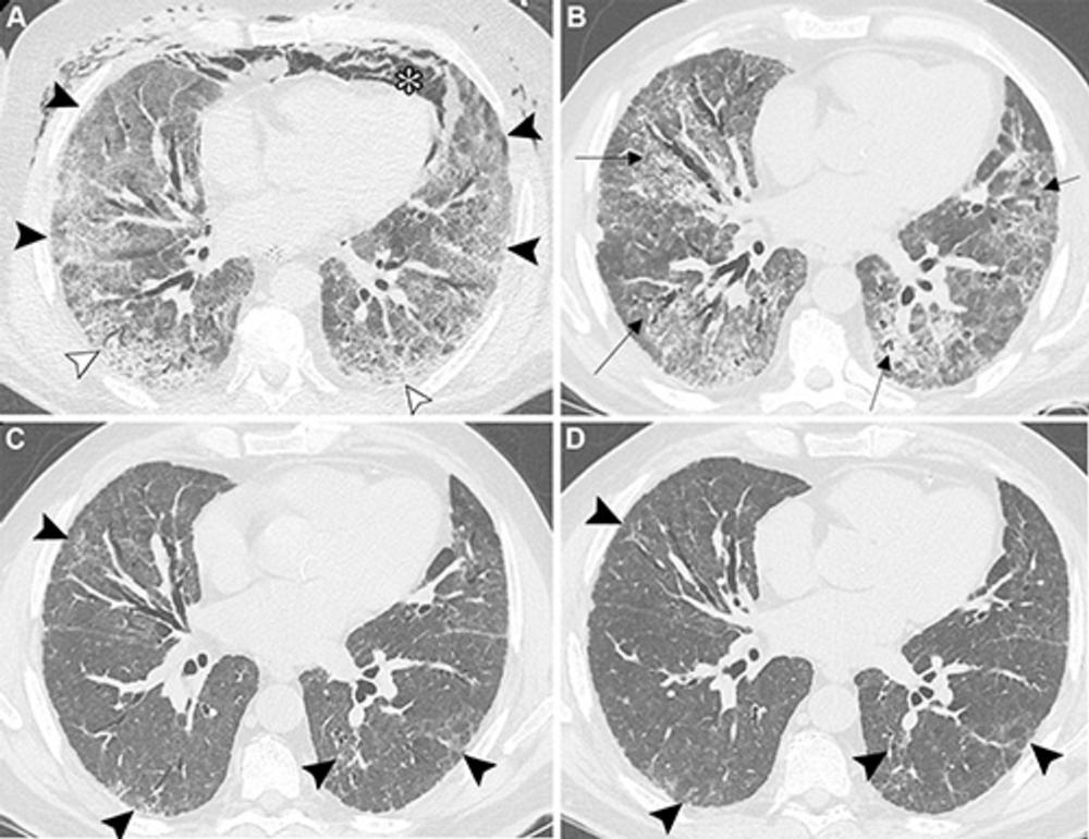
Figure 3. Unenhanced axial CT images show COVID-19 pneumonia in an 83-year-old male patient with pre-existing interstitial lung disease (ILD). (A) Image shows ground-glass opacities in the lower lobes and in the lingula (*). Irregular reticular opacities with mild distal traction bronchiectasis are evident in the subpleural regions of both upper lobes (arrowheads), suggesting pre-existing ILD with a probable usual interstitial pneumonia pattern. (B) Image obtained during hospitalization for respiratory distress shows spontaneous pneumomediastinum and diffuse chest wall subcutaneous emphysema, predominantly on the left side. The image also shows persistent, diffuse ground-glass opacities (*) and peripheral fibrotic lung changes (arrowheads). (C) Unenhanced follow-up image obtained at 6 months shows the progressive nature of lung fibrosis, with the development of honeycombing (arrowheads) and severe bronchiectasis (arrows), predominantly affecting the anterior peripheral regions of both lungs. (D) Unenhanced follow-up image obtained at 14 months shows the progression of honeycombing (arrowheads) and severe bronchiectasis (arrows) at the anterior peripheral regions of both lungs. In this case, SARS-CoV-2 infection likely acted as a trigger for the exacerbation of previously undiagnosed fibrotic ILD, with mechanical ventilation potentially contributing to extensive fibrosis in the anterior lung regions (arrowheads). The patient was administered antifibrotic therapy after the resolution of the acute phase.
High-res (TIF) version
Figure 4. Unenhanced axial CT images show (A, B) post–COVID-19 residual lung abnormalities in a 70-year-old female patient and (C, D) fibrotic interstitial lung abnormalities in a 63-year-old female patient. (A) Image at the carina level obtained at 15-month follow-up shows post–COVID-19 multifocal faint ground-glass opacities and mosaic attenuation in the upper lobes (arrowheads). (B) Image shows parenchymal band (arrows) in the right lower lobe and perilobular opacities along the peribronchovascular and subpleural areas of the left lower lobe (oval dotted line). Parenchymal bands and perilobular opacities are unusual in interstitial lung abnormalities and support the diagnosis of post–COVID-19 residual organizing pneumonia. (C) Image obtained in 2019 shows fibrotic interstitial lung abnormalities. The image at the carina level shows minimal subpleural linear opacities in the upper lobes and superior segment of the left lower lobe (arrows). (D) Image shows juxtapleural reticular opacities, traction bronchiolectasis, and ground-glass opacities, primarily involving both lower lobes (arrowheads).
High-res (TIF) version