RSNA Press Release

Eating High-Processed Foods Impacts Muscle Quality

Released: December 4, 2024
RSNA Media Relations
1-630-590-7762
media@rsna.org
Linda Brooks
1-630-590-7738
lbrooks@rsna.org

At A Glance

  • The more ultra-processed foods people consumed, the more intramuscular fat they had in their thigh muscles, regardless of caloric intake or physical activity.
  • Consuming ultra-processed foods, such as cereals, frozen meals, soft drinks and packaged snacks, may also raise knee osteoarthritis risk.
  • This is the first imaging study looking into the relationship between skeletal muscle quality and quality of diet.
  • CHICAGO — A diet high in ultra-processed foods is associated with higher amounts of fat stored inside thigh muscles, regardless of the amount of calories consumed or level of physical activity, according to a study being presented today at the annual meeting of the Radiological Society of North America (RSNA). Higher amounts of intramuscular fat in the thigh could also increase the risk for knee osteoarthritis.

    Zehra Akkaya, M.D.

    Zehra Akkaya, M.D.

    The use of natural and minimally processed ingredients in many modern diets has decreased, more often being replaced with ingredients that have been industrially processed, artificially flavored, colored or chemically altered.

    Foods such as breakfast cereals, margarines/spreads, packaged snacks, hot dogs, soft drinks and energy drinks, candies and desserts, frozen pizzas, ready-to-eat meals, mass-produced packaged breads and buns, and more, include synthesized ingredients and are highly processed.

    These ultra-processed foods usually have longer shelf lives and are highly appealing, as they are convenient and contain a combination of sugar, fat, salt and carbohydrates which affect the brain’s reward system, making it hard to stop eating.

    For the study, researchers set out to assess the association of ultra-processed food intake and their relationship to intramuscular fat in the thigh.

    “The novelty of this study is that it investigates the impact of diet quality, specifically the role of ultra-processed foods in relation to intramuscular fat in the thigh muscles assessed by MRI,” said author Zehra Akkaya, M.D., researcher and former Fulbright Scholar in the Department of Radiology and Biomedical Imaging at the University of California, San Francisco. “This is the first imaging study looking into the relationship between MRI-based skeletal muscle quality and quality of diet.”

    For the study, researchers analyzed data from 666 individuals who participated in the Osteoarthritis Initiative who were not yet affected by osteoarthritis, based on imaging. The Osteoarthritis Initiative is a nationwide research study, sponsored by the National Institutes of Health, that helps researchers better understand how to prevent and treat knee osteoarthritis.

    “Research from our group and others has previously shown that quantitative and functional decline in thigh muscles is potentially associated with onset and progression of knee osteoarthritis,” Dr. Akkaya said. “On MRI images, this decline can be seen as fatty degeneration of the muscle, where streaks of fat replace muscle fibers.”

    Of the 666 individuals, (455 men, 211 women) the average age was 60 years. On average, participants were overweight with a body mass index (BMI) of 27. Approximately 40% of the foods that they ate in the past year were ultra-processed. 

    The researchers found that the more ultra-processed foods people consumed, the more intramuscular fat they had in their thigh muscles, regardless of energy (caloric) intake.

    “In an adult population at risk for but without knee or hip osteoarthritis, consuming ultra-processed foods is linked to increased fat within the thigh muscles,” Dr. Akkaya said. “These findings held true regardless of dietary energy content, BMI, sociodemographic factors or physical activity levels.”

    Targeting modifiable lifestyle factors—mainly prevention of obesity via a healthy, balanced diet and adequate exercise—has been the mainstay of initial management for knee osteoarthritis, Dr. Akkaya noted.

    “Osteoarthritis is an increasingly prevalent and costly global health issue. It is the largest contributor to non-cancer related health care costs in the U.S. and around the world,” Dr. Akkaya said. “Since this condition is highly linked to obesity and unhealthy lifestyle choices, there are potential avenues for lifestyle modification and disease management.”

    By exploring how ultra-processed food consumption impacts muscle composition, this study provides valuable insights into dietary influences on muscle health.

    “Understanding this relationship could have important clinical implications, as it offers a new perspective on how diet quality affects musculoskeletal health,” Dr. Akkaya said.

    Co-authors are Gabby B. Joseph, Ph.D., Katharina Ziegeler, M.D., Wynton M. Sims, John A. Lynch, Ph.D., and Thomas M. Link, M.D., Ph.D.

    Note: Copies of RSNA 2024 news releases and electronic images will be available online at RSNA.org/press24.

    RSNA is an association of radiologists, radiation oncologists, medical physicists and related scientists promoting excellence in patient care and health care delivery through education, research and technologic innovation. The Society is based in Oak Brook, Illinois. (RSNA.org)

    Editor’s note: The data in these releases may differ from those in the published abstract and those actually presented at the meeting, as researchers continue to update their data right up until the meeting. To ensure you are using the most up-to-date information, please call the RSNA Newsroom at 1-312-791-6610.

    For patient-friendly information on musculoskeletal MRI, visit RadiologyInfo.org.

    Video (MP4):

    Video 1. Zehra Akkaya, M.D., discusses her research on how eating high-processed foods impacts muscle quality.
    Download
    Video 2. B-roll of Katharina Ziegeler, M.D., presenting her research at RSNA 2024 on how eating high-processed foods impacts muscle quality.
    Download

    Images (JPG, TIF):

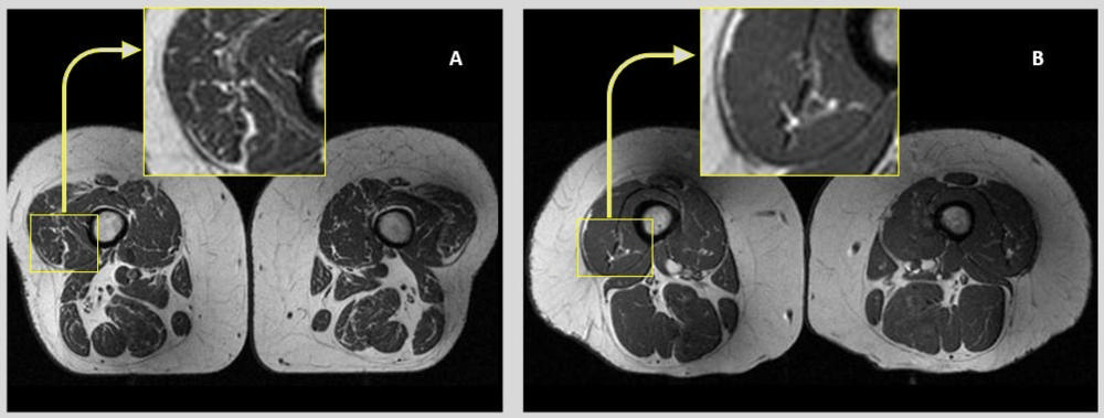
    Figure 1. Axial T1-weighted bilateral thigh MR images and magnified frames providing a closer look at the areas in lateral aspects of quadriceps femoris muscles (knee extensors) from two obese, female participants, aged 58 (A) and 62 years (B), respectively. In A, the thigh muscles on both sides demonstrate abundant fatty streaks, consistent with a high Goutallier grade of 45 for this participant, whose diet from the past 12 months consisted 68% of ultra-processed foods. In B, the thigh muscles show fewer fatty streaks as highlighted in the magnified image, consistent with a low Goutallier grade of 17 for this participant, whose diet contained only 36% ultra-processed foods.
    High-res (TIF) version
    Figure 2. Table shows mean values and results.
    High-res (TIF) version
    Figure 3. Katharina Ziegeler, M.D., presenting her research at RSNA 2024 on how eating high-processed foods impacts muscle quality.
    High-res (TIF) version