RSNA Press Release

Popular Blood Thinners May Lead to Brain Bleeding after Head Injury

Released: November 30, 2021
RSNA Media Relations
1-630-590-7762
media@rsna.org
Linda Brooks
1-630-590-7738
lbrooks@rsna.org

At A Glance

  • Patients taking older types of blood thinners or taking aspirin while on blood thinners may be at a higher risk of delayed brain bleeding and death following head trauma.
  • Researchers analyzed records of 1,046 patients taking blood thinners who suffered head trauma, including 470 patients who were taking an older type of medication.
  • Twenty patients experienced delayed hemorrhage, three patients—all of whom were taking older blood thinner types—died.
  • CHICAGO — A three-year study of more than 1,000 patients found that the risk of delayed intracranial hemorrhage and death following head trauma was significantly higher for adults taking older blood thinning medications including clopidogrel (Plavix) and warfarin (Coumadin), according to research being presented today at the annual meeting of the Radiological Society of North America (RSNA). Taking aspirin concurrently with any blood thinner may increase the risk of delayed hemorrhage.

    Warren Chang, M.D.

    Warren Chang, M.D.

    Intracranial hemorrhage occurs when blood vessels within the brain rupture, releasing blood into the brain tissue. In a delayed traumatic intracranial hemorrhage, bleeding in the brain occurs after the initial trauma, usually within 48 hours, after an initial negative head CT.

    High blood pressure, head injury and the use of blood thinners are known causes of intracranial hemorrhage. As the population ages, the prevalence of patients taking blood thinners is increasing.

    “The incidence of delayed posttraumatic intracranial hemorrhage in patients on different types of blood thinners with and without the addition of aspirin is not well established,” said Warren Chang, M.D., neuroradiologist and director of research at the Imaging Institute of the Allegheny Health Network in Pennsylvania. “This is an active area of investigation, especially as novel blood thinners become more widely adopted.”

    Adults taking blood thinners who suffer head trauma typically undergo CT imaging of the brain. However, the standard of care beyond initial imaging is not well defined. Some hospitals admit patients for observation and repeat CT imaging, while others may discharge a patient who does not have intracranial hemorrhage and is in stable condition.

    “Different hospital networks have different strategies for repeat imaging of these patients,” Dr. Chang said.

    In the retrospective analysis, researchers reviewed the records of all patients taking blood thinners who suffered head trauma and underwent CT imaging in the Allegheny Health Network between January 1, 2017, and January 1, 2020. Patients were included in the study if initial CT imaging was negative for intracranial hemorrhage and repeat imaging was subsequently performed. The final study group of 1,046 patients included 547 women and 499 men with an average age of 77.5.

    Within the study group, 576 patients were taking one of the newer blood thinners, such as apixiban (Eliquis), rivaroxaban (Xarelto) and dabigatran (Pradaxa), and 470 patients were taking warfarin, clopidogrel or another older medication.

    Overall, there was 1.91% incidence (20 patients) of delayed hemorrhage and 0.3% mortality rate (3 patients). All deaths in the study group were among patients in the warfarin/clopidogrel/older blood thinner group.

    Among the total study group, 345 patients were taking both blood thinners and aspirin. Of the 20 patients who suffered a delayed hemorrhage, 15 were taking an older type of blood thinner, and nine of the 15 were also taking aspirin.

    “The rate of delayed hemorrhage was higher in patients taking older blood thinners compared to novel drugs, and significantly higher in patients taking aspirin in addition to the older medications,” Dr. Chang said.

    Among the five patients taking novel blood thinners who experienced a delayed hemorrhage, four were also taking aspirin.

    “Given the high volume of our trauma patients taking aspirin and anticoagulants, this study will help to guide our care of closed head injury patients in emergency medicine and support efforts to use imaging resources appropriately,” said Thomas Campbell, M.D., M.P.H., the system chair for Emergency Medicine of the Allegheny Health Network.

    Based on the findings, the study’s authors recommend follow-up CT for patients who had no initial intracranial hemorrhage from head trauma who are taking one of the older blood thinners and for patients who take any blood thinner along with aspirin. Unless there are external signs of trauma, follow-up CT is unnecessary for patients who only take one of the newer blood thinners and do not take aspirin.

    “Taking any blood thinner concurrently with aspirin significantly increased the risk of delayed hemorrhage, while taking one of the novel medications without aspirin significantly reduced the risk,” Dr. Chang said.

    “This study illustrates how innovative imaging can drive optimal patient care. In the end, I believe the recommendations of this work will save many lives,” said Bethany Casagranda, D.O., chair of the Imaging Institute of the Allegheny Health Network.

    Additional co-authors are Michael P. Spearman, M.D., Michael F. Goldberg, M.D., Christian P. Wanamaker, M.D., Ph.D., Charles Q. Li, M.D., Laura Eisenmenger, M.D., Albert Sohn, M.D., Tyson Tragon, M.D., Matthew Kulzer, M.D., Brian Weston, M.D., and J. Danielle Yin, M.D.

    Note: Copies of RSNA 2021 news releases and electronic images will be available online at RSNA.org/press21.  

    RSNA is an association of radiologists, radiation oncologists, medical physicists and related scientists promoting excellence in patient care and health care delivery through education, research and technologic innovation. The Society is based in Oak Brook, Illinois. (RSNA.org)

    Editor’s note: The data in these releases may differ from those in the published abstract and those actually presented at the meeting, as researchers continue to update their data right up until the meeting. To ensure you are using the most up-to-date information, please call the RSNA Newsroom at 1-312-791-6610.

    For patient-friendly information on head CT, visit RadiologyInfo.org.

    Video (MP4):

    Video 1. Warren Chang, M.D., discusses his research.
    Download

    Images (JPG, TIF):

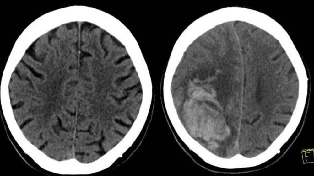
    Figure 1. The left image shows the initial CT scan of the brain in a patient on both clopidogrel (Plavix) and aspirin who presented to the Emergency Department with head trauma that did not demonstrate any intracranial hemorrhage. The right image shows a head CT obtained 24 hours later demonstrating a large parenchymal hemorrhage in the right frontal/parietal region. The patient died shortly after the second examination.
    High-res (TIF) version