RSNA Press Release

Older Women Benefit Significantly When Screened with 3-D Mammography

Released: April 2, 2019
RSNA Media Relations
1-630-590-7762
media@rsna.org
Linda Brooks
1-630-590-7738
lbrooks@rsna.org

At A Glance

  • Older women benefit from screening mammography with the use of tomosynthesis, also known as 3-D mammography.
  • Data from more than 15,000 women who underwent digital mammography was compared with data of more than 20,000 women who were screened with tomosynthesis.
  • While digital mammography performed well in screening older women, tomosynthesis was even better.

OAK BROOK, Ill. — Mammography remains an effective method for breast cancer screening in women ages 65 and older, with the addition of a 3-D technique called tomosynthesis improving screening performances even more, according to a study published in the journal Radiology.

download full-size photo

Manisha Bahl, M.D., M.P.H.

Manisha Bahl, M.D., M.P.H.

Breast cancer is the most common cancer and the second most common cause of death from cancer among women in the United States. Research has shown that digital 2-D mammography (DM) is effective at reducing breast cancer-related mortality through early detection, when the cancer is most treatable. In 2011, the U.S. Food and Drug Administration approved tomosynthesis, also known as 3-D mammography, for breast cancer screening. Since then, it has become widely used as an adjunct to DM.

Even with these technological improvements, the benefits of breast cancer screening in older women have been subject to debate. The United States Preventive Services Task Force recommends screening mammography only until the age of 74, while other professional groups do not recommend stopping screening based on age. 

In the new study, researchers at Massachusetts General Hospital (MGH) sought to learn more about the performance of screening mammography in the older population and the added value of tomosynthesis. They compared screening mammograms from more than 15,000 women (mean age 72.7 years) who underwent DM with those of more than 20,000 women (mean age 72.1 years) who underwent tomosynthesis. Both approaches were highly effective at detecting cancer, but tomosynthesis had some advantages over the 2-D approach, including a reduction in false-positive examinations. Tomosynthesis also had a higher positive predictive value, the probability that women with a positive screening result will have breast cancer, and higher specificity, or the ability to distinguish cancer from benign findings, than DM.

"We've shown that screening mammography performs well in older women, with high cancer detection rates and low false-positives, and that tomosynthesis leads to even better performance than conventional 2-D mammography," said study lead author Manisha Bahl, M.D., M.P.H., radiologist at MGH and assistant professor of radiology at Harvard Medical School. "For example, the abnormal interpretation rate, which is the percentage of women who are called back for additional imaging after a screening mammogram, is lower with tomosynthesis than with conventional 2-D mammography. We also found that fewer cancers detected with tomosynthesis were lymph node-positive, suggesting that we are detecting cancers at an earlier stage. Detecting breast cancers at an early stage is the goal of screening mammography."

The study results do not support a specific age cutoff age for mammography screening, according to Dr. Bahl. She said that guidelines for screening in older women should be based on individual preferences, life expectancy and health status rather than age alone.

"Our research demonstrates that screening mammography and tomosynthesis perform well in older women with regard to cancer detection and false-positives," she said. "So, if a woman is healthy and would want her cancer to be treated if it were detected, then she should continue screening."

Dr. Bahl expects the combination of DM and tomosynthesis to eventually become the standard for screening at all practices.

Since tomosynthesis is still a relatively new technology, more research is needed to determine its impact on long-term patient outcomes, Dr. Bahl said.

"Digital 2D versus Tomosynthesis Screening Mammography among Women aged 65 and Older in the United States." Collaborating with Dr. Bahl were Niveditha Pinnamaneni, M.D., Sarah Mercaldo, Ph.D., Anne Marie McCarthy, Ph.D., and Constance D. Lehman, M.D., Ph.D.

Radiology is edited by David A. Bluemke, M.D., Ph.D., University of Wisconsin School of Medicine and Public Health, Madison, Wis., and owned and published by the Radiological Society of North America, Inc. (http://radiology.rsna.org/)

RSNA is an association of over 53,400 radiologists, radiation oncologists, medical physicists and related scientists, promoting excellence in patient care and health care delivery through education, research and technologic innovation. The Society is based in Oak Brook, Ill. (RSNA.org)

For patient-friendly information on mammography, visit RadiologyInfo.org.

Images (JPG, TIF):

Figure 1. Flow diagram shows patient selection. DBT = digital breast tomosynthesis, DM = digital mammography.

High-res (TIF) version
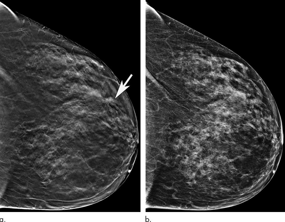
Figure 2. Images in a 72-year-old woman with screening-detected invasive carcinoma. (a) Tomo¬synthesis image from left craniocaudal view demonstrates architectural distortion in lateral aspect of left breast at anterior depth (arrow). (b) Finding is not as well demonstrated on two-dimensional left craniocaudal view. Patient underwent image-guided core biopsy and subsequent lumpectomy, which revealed grade 2 invasive lobular carcinoma.

High-res (TIF) version
Figure 3. Images in a 73-year-old woman with screening-detected invasive carcinoma. (a) Two-dimensional left mediolateral oblique view and (b) tomosynthesis image from left mediolateral oblique view demonstrate mass in superior aspect of left breast at middle depth (arrows). Mass margins are better characterized with tomosynthesis. Patient underwent lumpectomy, which revealed grade 1 invasive ductal carcinoma.

High-res (TIF) version
Figure 4. Images in a 70-year-old woman recalled from screening mammography for mass in left breast. (a) Tomosynthesis image from right mediolateral oblique view demonstrates oval mass in superior aspect of right breast at anterior depth (arrow). (b) Finding is not as well demonstrated on two-dimensional right mediolateral oblique view. (c) Diagnostic US demonstrates that mass identified at mammography is simple cyst (arrow). This case is example of false-positive screening examination.

High-res (TIF) version