RSNA Press Release

New Study Confirms Higher Cancer Rate in Women with Dense Breast Tissue

Released: June 26, 2018
RSNA Media Relations
1-630-590-7762
media@rsna.org
Linda Brooks
1-630-590-7738
lbrooks@rsna.org

At A Glance

  • A study of 107,949 women found that women with dense breasts had poorer outcomes in all metrics, including recall and biopsy rates, screen-detected cancers and interval cancers.
  • The researchers used automated breast density measurements to classify breast tissue.
  • The automated software classified breasts as dense in 28 percent of the screening examinations.

OAK BROOK, Ill. — Researchers using automated breast density measurements have found that women with mammographically dense breast tissue have higher recall and biopsy rates and increased odds of screen-detected and interval breast cancer, according to a large new study from Norway published online in the journal Radiology. The study supports automated measurements as a future standard to ensure objective breast density classification for breast cancer screening, the researchers said.

download full-size photo

Solveig Hofvind, Ph.D.

Solveig Hofvind, Ph.D.

Previous studies have shown that women with mammographically dense breasts face a higher risk of breast cancer and missed cancers than those with non-dense breasts, partly because the superimposition of dense breast tissue on mammograms leads to a masking effect, causing some cancers to go undetected. However, the majority of those studies relied on subjective density assessments — most commonly, the radiologist's subjective interpretation using the American College of Radiology's Breast Imaging Reporting and Data System (BI-RADS). This approach introduces potential mammogram reader variability into density categorization, said the study's principal investigator, Solveig Hofvind, Ph.D., from the Cancer Registry of Norway in Oslo.

For the new study, Dr. Hofvind and colleagues used automated software to help classify mammographic density in 107,949 women ages 50 to 69 from BreastScreen Norway, a national program that offers women screening every two years. The researchers looked at a total of 307,015 digital screening examinations that took place from 2007 to 2015.

The automated software classified breasts as dense in 28 percent of the screening examinations. Rates of screen-detected cancer were 6.7 per 1,000 examinations for women with dense breast tissue and 5.5 for women with non-dense breasts. Interval breast cancer, or breast cancer detected between screenings — usually by palpation — was 2.8 per 1,000 in the dense breast tissue group and 1.2 for women with non-dense tissue.

The recall rate, or rate at which women are called back for additional examination based on suspicious mammographic findings, was 3.6 percent for women with dense breasts, compared with 2.7 percent in women with non-dense breasts. The biopsy rate of 1.4 percent in the dense breasts group was higher than the 1.1 percent rate for women in the non-dense category.

"The odds of screen-detected and interval breast cancer were substantially higher for women with mammographically dense versus fatty breasts in BreastScreen Norway," Dr. Hofvind said. "We also found substantially higher rates of recalls and biopsies among women with mammographically dense breast tissue."

Mammographic sensitivity for detecting breast cancer was only 71 percent for women with dense breasts, compared to 82 percent for women with non-dense breasts. Cancers detected at screening were more advanced among women in the dense breast tissue group. Average tumor diameter for screen-detected cancers was 16.6 millimeters (mm) in the dense breasts group, compared to 15.1 mm for the non-dense group. Lymph-node-positive disease was found in 24 percent of women with dense breasts, compared with 18 percent for women with non-dense breasts.

download full-size photo

Liane E. Philpotts, M.D., FACR

Liane E. Philpotts, M.D., FACR

The results add another piece to the puzzle of screening protocols for women with dense breasts. Dr. Hofvind noted that more than half of states in the U.S. have enacted breast density legislation, with some states requiring that women be informed about their breast density or that additional imaging could be beneficial. However, supplemental screening for women with dense breasts currently is not recommended by any of the major health care societies or organizations, and more research is needed before widespread changes are made.

"We need well-planned and high-quality studies that can give evidence about the cost-effectiveness of more frequent screening, other screening tools such as tomosynthesis and/or the use of additional screening tools like MRI and ultrasound for women with dense breasts," she said. "Further, we need studies on automated measurement tools for mammographic density to ensure their validity."

In the meantime, Dr. Hofvind said, the findings will help inform how automated volumetric density categorization will change population-based screening performance and outcomes through a more objective breast density measurement method.

In an accompanying editorial, "Machine Detection of High Breast Density: Worse Outcomes for Our Patients," Liane E. Philpotts, M.D., FACR, from Yale School of Medicine writes, "This study is important for two main reasons: (1) the validation that automated means of density classification can correctly identify a percentage of women with dense tissue, and (2) women with dense tissue have poorer performance of screening mammography. It lends support to the density notification movement along with redoubling efforts towards optimizing supplemental screening methods."

She added that automated volumetric determination could better standardize density measurements and provide greater confidence that women with dense breast tissue could consistently be identified.

"Breast density is here to stay, and it is in everyone's best interest to embrace understanding and optimization of breast imaging practice to best address the needs of women with dense tissue," she concluded.

"Automated Volumetric Analysis of Mammographic Density in a Screening Setting: Worse Outcomes for Women with Dense Breasts." Collaborating with Dr. Hofvind were Nataliia Moshina, M.D., Ph.D., Sofie Sebuødegård, M.Sc., Christoph I. Lee, M.S., M.D., Lars A. Akslen, M.D., Ph.D., Kaitlyn Tsuruda, M.Sc., and Joann G. Elmore, M.D., M.P.H.

Radiology is edited by David A. Bluemke, M.D., Ph.D., University of Wisconsin School of Medicine and Public Health, Madison, Wis., and owned and published by the Radiological Society of North America, Inc. (http://radiology.rsna.org/)

RSNA is an association of over 54,200 radiologists, radiation oncologists, medical physicists and related scientists, promoting excellence in patient care and health care delivery through education, research and technologic innovation. The Society is based in Oak Brook, Ill. (RSNA.org)

For patient-friendly information on Mammography, visit RadiologyInfo.org.

Images (JPG, TIF):

Figure 1. Flowchart of patient population in the study.

High-res (TIF) version
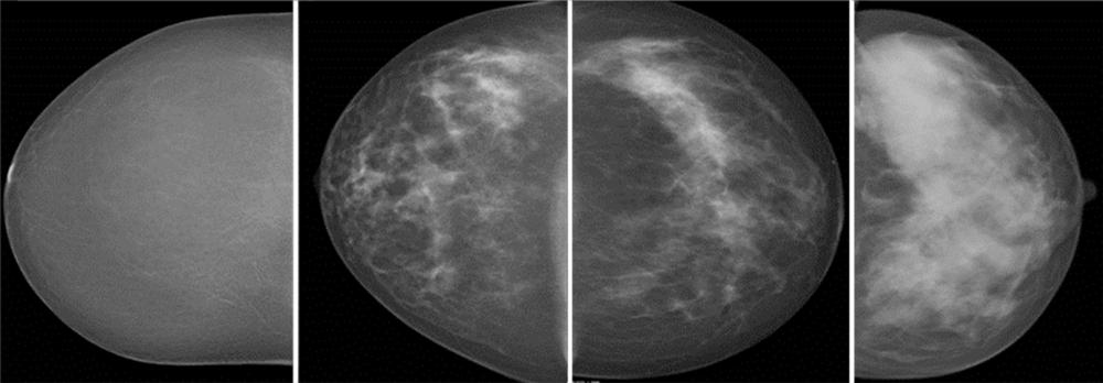
Figure 2. Mammograms show volumetric breast density classified as Volpara density grade 1, 2, 3, and 4 with automated volumetric breast density measurement.

High-res (TIF) version
Figure 3. Graph shows smoothed predicted number of cases per 1000 screening examinations for screen-detected breast cancer (SDC) and interval breast cancer (IBC) in BreastScreen Norway by using volumetric breast density stratified by 5-year age groups.

High-res (TIF) version