RSNA Press Release

New Consensus Statement Aims to Improve Endometriosis Evaluation

Released: April 9, 2024
RSNA Media Relations
1-630-590-7762
media@rsna.org
Linda Brooks
1-630-590-7738
lbrooks@rsna.org

OAK BROOK, Ill. — A new Society of Radiologists in Ultrasound (SRU) expert consensus statement to improve endometriosis evaluation was published today in the journal Radiology.

Endometriosis is a common condition with substantial diagnostic delay, leading patients to experience pain, infertility, lost wages and interrupted relationships.

The consensus provides recommendations for augmenting routine pelvic ultrasounds through additional maneuvers and imaging to improve diagnosis of deep endometriosis.

Endometriosis, the presence of endometrium-like tissue outside the uterus, is a prevalent and potentially debilitating condition. The condition is estimated to affect 10% of women of reproductive age and occurs in 21% of women undergoing hysterectomy with chronic pelvic pain. In the United States, there is an over seven-year delay between the onset of symptoms and a diagnosis of endometriosis.

Endometriosis is also associated with infertility and subfertility, affecting 20-50% of patients with these conditions. Deep endometriosis, extending to any depth beneath the peritoneal surface, is the most severe form of endometriosis.

Ultrasound is usually the first-line imaging modality used when patients report chronic pelvic pain or have issues of infertility, both common symptoms of endometriosis, but few centers in the U.S. utilize ultrasound to screen for deep endometriosis. Existing scan protocol limitations and lack of awareness lead to suboptimal detection of deep endometriosis on pelvic ultrasounds.

SRU convened a multidisciplinary panel of experts to make recommendations aimed at improving the screening process for endometriosis.

Scott W. Young, M.D.

Scott W. Young, M.D.

"The purpose of this consensus panel is to recommend methods that increase the diagnostic sensitivity for endometriosis on pelvic ultrasound by increasing awareness, improving interpretation, adding simple techniques that are high yield for deep endometriosis, and improving protocols to triage patients," said the statement's first author Scott W. Young, M.D., diagnostic radiology consultant, Division of Ultrasound, at the Mayo Clinic in Phoenix, Arizona.

The panel was composed of experts in the imaging and management of endometriosis, including radiologists, sonographers, gynecologists, reproductive endocrinologists, and minimally invasive gynecologic surgeons. A comprehensive literature review combined with a modified Delphi technique achieved a consensus.

"The statement defines the targeted screening population, describes techniques for augmenting pelvic ultrasound, establishes direct and indirect observations for endometriosis on ultrasound, creates an observational grading and reporting system and makes recommendations for additional imaging and patient management," Dr. Young said.

Panel recommendations include transvaginal ultrasound of the posterior compartment, observation of the relative positioning of the uterus and ovaries, and the uterine sliding sign maneuver to improve the detection of endometriosis.

"These additional techniques typically can be performed in less than five minutes and could ultimately decrease the delay of an endometriosis diagnosis in at-risk patients," Dr. Young said.

The panel also recommends that direct and indirect observations of deep endometriosis should be assessed during the exam, and results should be reported using four categories: Incomplete (APU-0), Normal (APU-1), Equivocal (APU-2) and Positive (APU-3) with associated management recommendations.

"The SRU consensus on routine pelvic ultrasound for endometriosis aims to enhance deep endometriosis detection even at an initial ultrasound and with minimal additional time during imaging and no special patient preparation," Dr. Young said. "Focusing imaging on anatomic regions where deep endometriosis is common can increase detection and decrease diagnostic delay."

Dr. Young noted that these guidelines are meant for symptomatic patients at typical risk for endometriosis. Patients at high risk because of prior diagnostic or therapeutic laparoscopy for endometriosis or strong clinical indications may benefit from proceeding directly to advanced endometriosis imaging, particularly if they are likely to undergo surgery or if monitoring is needed in the setting of infertility and medical treatment.

The authors advise that validation studies will be necessary to prove the accuracy of augmented pelvic ultrasound in widespread clinical application.

"Society of Radiologists in Ultrasound Consensus on Routine Pelvic US for Endometriosis." Collaborating with Dr. Young were co-first author Priyanka Jha, M.B.B.S., Luciana Chamié, M.D., Ph.D., Shuchi Rodgers, M.D., Rosanne M. Kho, M.D., Mindy M. Horrow, M.D., Phyllis Glanc, M.D., Myra Feldman, M.D., Yvette Groszmann, M.D., Zaraq Khan, M.B.B.S., Steven L. Young, M.D., Ph.D., Liina Poder, M.D., Tatnai L. Burnett, M.D., Eric M. Hu, M.D., Susan Egan, R.D.M.S., and Wendaline VanBuren, M.D.

Radiology is edited by Linda Moy, M.D., New York University, New York, N.Y., and owned and published by the Radiological Society of North America, Inc. (https://pubs.rsna.org/journal/radiology)

RSNA is an association of radiologists, radiation oncologists, medical physicists and related scientists promoting excellence in patient care and health care delivery through education, research and technologic innovation. The Society is based in Oak Brook, Illinois. (RSNA.org)

For patient-friendly information on endometriosis, visit RadiologyInfo.org.

Video (MP4):

Video 1. Scott W. Young, M.D. and Rosanne M. Kho, M.D., discuss the new expert consensus statement by the Society of Radiologists in Ultrasound to improve endometriosis evaluation. The statement was published in Radiology.
Download

Images (JPG, TIF):

Figure 1. Transvaginal US images show the posterior compartment in a 25-year-old patient with dysmenorrhea, on the retrocervical field of view (area of interest outlined in yellow), 4–5-cm deep to the cervix. Longitudinal (A) and transverse (B) views. The transducer is in the anterior fornix. Longitudinal and transverse sweeps were acquired to include these areas.
High-res (TIF) version
Figure 2. Illustration shows how to position the transvaginal sonography transducer based on uterine position and uterosacral ligament (USL) anatomy variations (light gray band). The relative relationship between the transducer, USLs, and cervicouterine junction is demonstrated for (A) anteverted uterus, anterior fornix transducer position; (B) anteverted uterus, posterior fornix transducer position; (C) retroverted uterus, posterior fornix transducer position; and (D) anteflexed/retroverted uterus, anterior fornix transducer position. Reprinted, with permission, from Young SW, Groszmann Y, Dahiya N, et al. “Sonographer-acquired ultrasound protocol for deep endometriosis” Abdominal Radiology.
High-res (TIF) version
Figure 3. Transvaginal US in normal right and left uterosacral ligaments (USL) in a 32-year-old patient with chronic pelvic pain and echogenic bands insert near the posterior cervicouterine junction (arrows, A and B). Transverse oblique images show the (A) right and (B) left anterolateral fornices.
High-res (TIF) version
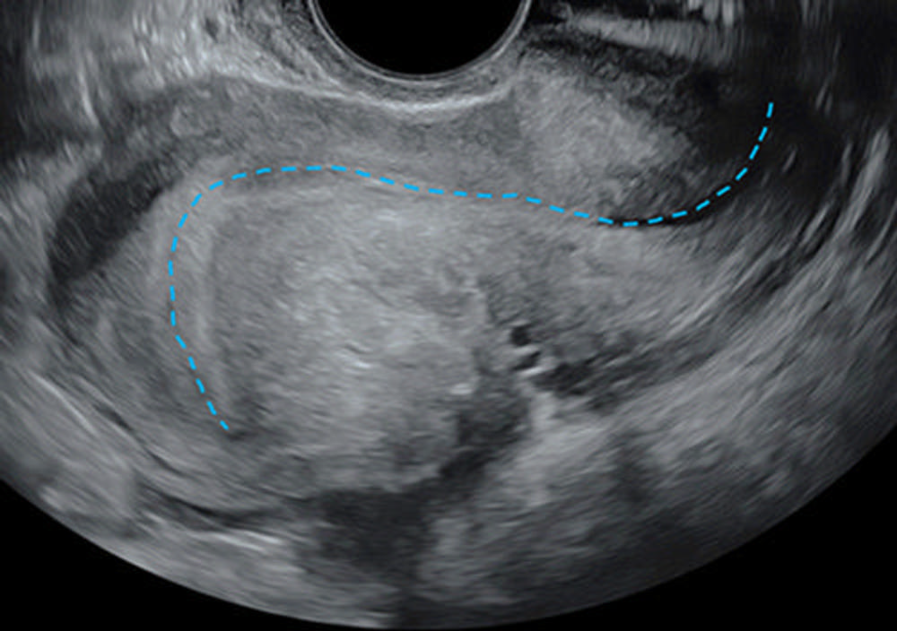
Figure 4. Transvaginal US in a 41-year-old patient with chronic pelvic pain and dyschezia shows the “question mark sign” uterine configuration. Longitudinal view shows an abnormal uterine configuration in which the uterus is sharply retroflexed because of deep endometriosis that is tethering the posterior cervix to the uterine corpus. This observation is usually identified by abnormal endometrial axis with sharp retroflection of the uterine fundus (dashed blue line) and constitutes a category B (ie, indirect endometriosis) observation.
High-res (TIF) version
Figure 5. Transvaginal US through the posterior fornix in a 43-year-old patient with deep dyspareunia. Serosal adhesions to the adjacent rectum are shown (curved blue arrows). (A Longitudinal and B) transverse views show kissing ovaries without endometriomas, a category B (indirect endometriosis) observation. Deep endometriosis of the torus uterinus and posterior uterine serosa is shown (yellow arrows, A and B), a category A (direct endometriosis) observation. L = left, R = right.
High-res (TIF) version
Figure 6. Illustration shows the uterine sliding maneuver, posterior fornix transducer position, anteverted uterus (A) and retroflexed uterus (B) . Adapted, with permission, from Young SW, Groszmann Y, Dahiya N, et al. “Sonographer-acquired ultrasound protocol for deep endometriosis” Abdominal Radiology.
High-res (TIF) version
Figure 7. Transvaginal longitudinal US scan in a 31-year-old patient with deep dyspareunia shows an endometrioma with homogeneous low-level (ground glass) echoes (white arrows) and fluid-fluid level (black arrows). Sepia inset in transverse view shows similar observations, a category A (direct endometriosis) observation. Adapted, with permission, from Young SW, Groszmann Y, Dahiya N, et al. “Sonographer-acquired ultrasound protocol for deep endometriosis” Abdominal Radiology.
High-res (TIF) version
Figure 8. (A–C) Transvaginal US images in three reproductive- age individuals (a 34-year-old, 41-year-old, and 37-yearold patient), all presenting with chronic pelvic pain, demonstrate deep endometriosis of the outer uterine serosa (yellow outline) in retroflexed uteri, which is a category A (direct endometriosis) observation. Images were obtained with the (A) transducer in the posterior fornix in longitudinal view, (B) transducer in the anterior fornix in longitudinal view, and (C) transducer in the posterior fornix in transverse view.
High-res (TIF) version
Figure 9. Transvaginal US posterior compartment deep endometriosis (DE) image gallery of reproductive age individuals (19–48 years) with chronic pelvic pain, deep dyspareunia, dyschezia, dysmenorrhea, or infertility demonstrates the spectrum of common DE observations with schematics and color legend. US images in columns A (Ultrasound Image A) and B (Ultrasound Image B) are examples of similar observations in multiple patients. Anteversion and retroversion refer to uterine position. AF = anterior fornix transducer position, CDS = cul-de-sac, PF = posterior fornix transducer position, Long = longitudinal view, rans = Transverse view, .USL = uterosacral ligament.
High-res (TIF) version
Figure 10. Laparoscopic view illustrations of common posterior compartment deep endometriosis (DE) and superficial endometriosis patterns. (A) Unilateral DE in right uterosacral ligament (USL)/torus uterinus. (B) Bilateral USL/torus uterinus DE. (C) Left USL and rectal DE with thickening and retraction of rectal wall toward the torus uterinus. (D) Bilateral USL and torus uterinus DE. Reprinted, with permission, from Young SW, Groszmann Y, Dahiya N, et al. “Sonographer-acquired ultrasound protocol for deep endometriosis” Abdominal Radiology.
High-res (TIF) version
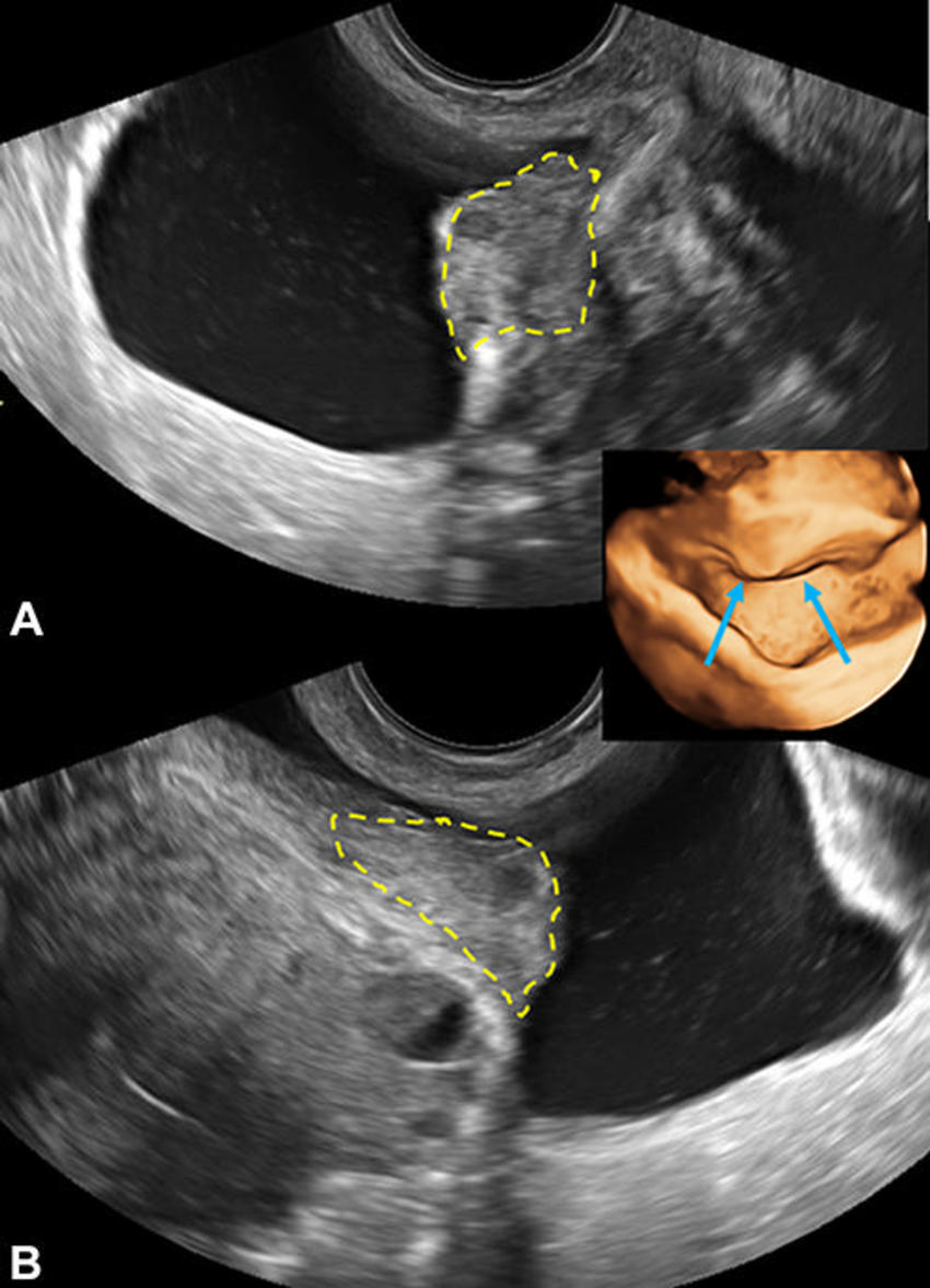
Figure 11. Transvaginal US images of bladder endometriosis in a 31-year-old patient with dysuria shows a midechogenicity nodule (yellow outline) extending from vesicouterine space into the detrusor muscle, longitudinal (A) and transverse (B) . Three-dimensional US virtual cystoscopic view is shown (inset, arrows). This is a category A (direct endometriosis) observation.
High-res (TIF) version
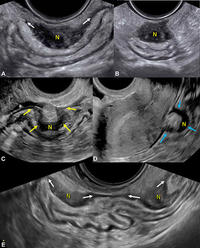
Figure 12. Transvaginal US shows deep endometriosis (DE) nodules (N) in the rectosigmoid colon. (A) Image in a 31-year-old patient with dyschezia shows an elliptical DE with tapering ends (arrows), longitudinal posterior fornix. (B) Transverse image of nodule in A, posterior fornix. (C) Image in a 27-year-old patient with chronic pelvic pain shows an Ω-shaped DE nodule in midrectum, longitudinal posterior fornix (arrows). (D) Image in a 33-year-old patient with deep dyspareunia shows a C-shaped nodule in midrectum, longitudinal anterior fornix (arrows). (E) Image in a 40-year-old patient with chronic pelvic pain shows tandem nodules of rectosigmoid colon with tapering ends (arrows), longitudinal posterior fornix. These are category A (ie, direct endometriosis) observations.
High-res (TIF) version