RSNA Press Release

Drinking During Pregnancy Changes Baby’s Brain Structure

Released: November 22, 2022
RSNA Media Relations
1-630-590-7762
media@rsna.org
Linda Brooks
1-630-590-7738
lbrooks@rsna.org

At A Glance

  • Alcohol consumption during pregnancy can change the unborn baby’s brain structure and delay brain development.
  • Using fetal MRI, researchers observed structural brain changes in regions related to key functions including language development.
  • Significant changes were seen in fetal brains even when the mothers consumed less than one alcoholic beverage per week.
  • CHICAGO — A new MRI study revealed that consumption of alcohol even in low to moderate amounts during pregnancy can change the baby's brain structure and delay brain development. Results of the study will be presented next week at the annual meeting of the Radiological Society of North America (RSNA).

    "Fetal MRI is a highly specialized and safe examination method that allows us to make accurate statements about brain maturation prenatally," said study senior author Gregor Kasprian, M.D., associate professor of radiology from the Department of Biomedical Imaging and Image-guided Therapy of the Medical University of Vienna in Austria.

    Gregor Kasprian, M.D.

    Gregor Kasprian, M.D.

    Alcohol consumption during pregnancy can expose the fetus to a group of conditions called fetal alcohol spectrum disorders. Babies born with fetal alcohol spectrum disorders could develop learning disabilities, behavioral problems or speech and language delays.

    "Unfortunately, many pregnant women are unaware of the influence of alcohol on the fetus during pregnancy," said lead author Patric Kienast, M.D., a Ph.D. student in the Department of Biomedical Imaging and Image-Guided Therapy, Division of Neuroradiology and Musculoskeletal Radiology at the Medical University of Vienna. "Therefore, it is our responsibility not only to do the research but also to actively educate the public about the effects of alcohol on the fetus."

    For the study, researchers analyzed MRI exams of 24 fetuses with prenatal alcohol exposure. The fetuses were between 22 and 36 weeks of gestation at the time of MRI. Alcohol exposure was determined via anonymous surveys of the mothers. The questionnaires used were the Pregnancy Risk Assessment Monitoring System (PRAMS), a surveillance project of the Centers for Disease Control and Prevention and health departments, and the T-ACE Screening Tool, a measurement tool of four questions that identify risk drinking.

    In fetuses with alcohol exposure, the fetal total maturation score (fTMS) was significantly lower than in the age-matched controls, and the right superior temporal sulcus (STS) was shallower. The STS is involved in social cognition, audiovisual integration and language perception.

    Patric Kienast, M.D.

    Patric Kienast, M.D.

    "We found the greatest changes in the temporal brain region and STS," Dr. Kasprian said. "We know that this region, and specifically the formation of the STS, has a great influence on language development during childhood."

    Brain changes were seen in the fetuses even at low levels of alcohol exposure.

    "Seventeen of 24 mothers drank alcohol relatively infrequently, with average alcohol consumption of less than one alcoholic drink per week," Dr. Kienast said. "Nevertheless, we were able to detect significant changes in these fetuses based on prenatal MRI."

    Three mothers drank one to three drinks per week, and two mothers drank four to six drinks per week. One mother consumed an average of 14 or more drinks per week. Six mothers also reported at least one binge drinking event (exceeding four drinks on one occasion) during pregnancy.

    According to the researchers, delayed fetal brain development could be specifically related to a delayed stage of myelination and less distinct gyrification in the frontal and occipital lobes.

    The myelination process is critical to brain and nervous system function. Myelin protects nerve cells, allowing them to transmit information faster. Important developmental milestones in infants, as rolling over, crawling and language processing are directly linked to myelination.

    Gyrification refers to the formation of the folds of the cerebral cortex. This folding enlarges the surface area of the cortex with limited space in the skull, enabling an increase in cognitive performance. When gyrification is diminished, functionality is reduced.

    "Pregnant women should strictly avoid alcohol consumption," Dr. Kienast said. "As we show in our study, even low levels of alcohol consumption can lead to structural changes in brain development and delayed brain maturation."

    It is unclear how these structural changes will affect brain development in these babies after birth.

    "To assess this accurately, we need to wait for the children who were examined as fetuses at that time to get a little older, so that we can invite them back for further examinations," Dr. Kienast said. "However, we can strongly assume that the changes we discovered contribute to the cognitive and behavioral difficulties that may occur during childhood."

    Co-authors are Marlene Stuempflen, M.D., Daniela Prayer, M.D., Benjamin Sigl, M.D., Mariana Schuette, M.D., Ph.D., and Sarah Glatter, M.D., M.M.Sc.

    Note: Copies of RSNA 2022 news releases and electronic images will be available online at RSNA.org/press22.

    RSNA is an association of radiologists, radiation oncologists, medical physicists and related scientists promoting excellence in patient care and health care delivery through education, research and technologic innovation. The Society is based in Oak Brook, Illinois. (RSNA.org)

    Editor's note: The data in these releases may differ from those in the published abstract and those actually presented at the meeting, as researchers continue to update their data right up until the meeting. To ensure you are using the most up-to-date information, please call the RSNA Newsroom at 1-312-791-6610.

    For patient-friendly information on pediatric imaging and MRI, visit RadiologyInfo.org.

    Images (JPG, TIF):

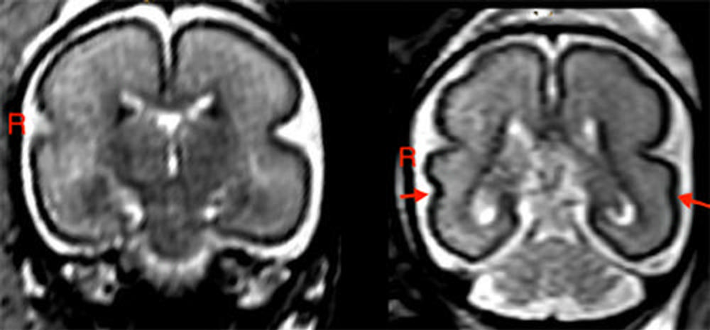
    Figure 1. Left: Fetal brain post-intrauterine alcohol exposure in fetus between 25 and 29 gestational weeks. Note the smooth cortex in frontoparietal and temporal lobes. Right: Brain of matched healthy control case in fetus between 25 and 28 gestational weeks. The superior temporal sulcus is already bilaterally formed (red arrows) and appears deeper on the right hemisphere than on the left.
    High-res (TIF) version