RSNA Press Release

Cryoablation Shows Promise in Treating Low-Risk Breast Cancers

Released: November 28, 2018
RSNA Media Relations
1-630-590-7762
media@rsna.org
Linda Brooks
1-630-590-7738
lbrooks@rsna.org

At A Glance

  • Cryoablation may offer a promising alternative for treating early, low-risk breast cancers.
  • The procedure takes less than an hour, and patients are able to return to their normal activities shortly thereafter.
  • Since the study began, there has only been one case of cancer recurrence.

CHICAGO — Cryoablation—the destruction of cancer cells through freezing—shows early indications of effectiveness in treating women with low-risk breast cancers, according to research being presented today at the annual meeting of the Radiological Society of North America (RSNA). Researchers said that over the four years of the study, there has only been one case of cancer recurrence out of 180 patients.

download full-size photo

Kenneth R. Tomkovich, M.D.

Kenneth R. Tomkovich, M.D.

"If the positive preliminary findings are maintained as the patients enrolled in the study continue to be monitored, that will serve as a strong indication of the promise of cryotherapy as an alternative treatment for a specific group of breast cancer patients," said study lead author Kenneth R. Tomkovich, M.D., radiologist at Princeton Radiology and director of Breast Imaging and Interventions at CentraState Medical Center in Freehold, N.J.

Cryoablation, also known as cryotherapy, has been used to treat cancers in other organs in the body, including the kidneys and lungs, but has yet to become an established treatment for breast cancer. Dr. Tomkovich began studying it for that indication more than 10 years ago, as imaging advances in mammography and ultrasound and the development of tomosynthesis enabled the detection of more low-risk cancers. These small, early-stage cancers have the potential to become invasive and life-threatening without treatment. But treatment options have not kept pace with imaging advances.

"We're finding smaller and smaller breast cancers, but we're still treating them the same way we did 30 years ago," Dr. Tomkovich said.

Cryoablation represents a potential new weapon in the arsenal against breast cancer. The procedure begins with the introduction of a probe into the tumor through a pea-sized incision in the skin while the patient is under local anesthesia. The probe is guided by high-definition ultrasound in conjunction with mammography images. Once the probe is in place, liquid nitrogen is introduced into it. During the initial, eight-minute freeze cycle, an ice ball forms around the tumor, killing the cancer. After a thaw cycle, another eight-minute freeze cycle is used to ensure complete destruction of the cancer cells. The procedure takes less than an hour, and patients are able to return to their normal activities shortly thereafter.

As part of the Ice 3 Trial, Dr. Tomkovich and colleagues at 18 centers across the U.S. have been studying cryoablation as a primary treatment for breast cancer without surgical lumpectomy. Starting in 2014, the researchers began performing cryoablation on women ages 60 and over with biopsy-proven, low-risk breast cancer. The patients undergo the procedure and then are followed for recurrence with mammography at six and 12 months and then annually for five years.

As of now, the researchers have three-year follow-up data on about 20 patients and two-year follow-up data on more than 75 patients. The preliminary results have been very promising. The procedure was successfully completed in all patients, and no serious adverse events have been reported. Only one patient experienced a recurrence, giving the procedure a 99.4 percent success rate so far.

"Lumpectomy is 90 to 95 percent effective at removing cancer," Dr. Tomkovich said. "We were going for something close to that, but our preliminary results have been even better. We're getting the same results at 18 centers around the country."

Cryoablation has advantages over ablation techniques that use heat to destroy tumors. For one, tissue retains its appearance when frozen, while heating tends to deform it, making imaging less reliable. Dr. Tomkovich likens the process to how bacon keeps its shape when frozen but curls up and shrinks when cooked. In addition, there is preliminary evidence from studies on mice that cryoablation can stimulate an immune system response against cancer cells in the body.

Final results of the study will be published when five-year follow-up data is available for all the women who were treated.

"If it's proven that cryoablation works, then some women might be more inclined to opt for it over surgery," Dr. Tomkovich said.

Disclosure: Dr. Tomkovich is a consultant for Scion Medical Technologies, LLC, and is on the Scientific Advisory Board for IceCure Medical, Inc.

Note: Copies of RSNA 2018 news releases and electronic images will be available online at RSNA.org/press18 beginning Monday, Nov. 26.

RSNA is an association of over 54,000 radiologists, radiation oncologists, medical physicists and related scientists, promoting excellence in patient care and health care delivery through education, research and technologic innovation. The Society is based in Oak Brook, Ill. (RSNA.org)

Editor's note: The data in these releases may differ from those in the published abstract and those actually presented at the meeting, as researchers continue to update their data right up until the meeting. To ensure you are using the most up-to-date information, please call the RSNA Newsroom at 1-312-791-6610.

For patient-friendly information on cryotherapy, visit RadiologyInfo.org.

Video (MP4):

Video 1. IceCure ProSense System. This promotional video was provided by IceCure and is included for background purposes only. RSNA has not verified the accuracy of the statements made in the video.

Download
Video 2. Kenneth R. Tomkovich, M.D., discusses his research on breast cryoablation treatment.

Download
Video 3. Kenneth R. Tomkovich, M.D., discusses why he wanted to conduct this research.

Download
Video 4. Kenneth R. Tomkovich, M.D., discusses the single most important finding of his study.

Download
Video 5. Kenneth R. Tomkovich, M.D., discusses why this research is important.

Download
Video 6. Kenneth R. Tomkovich, M.D., discusses how cryoablation works.

Download
Video 7. Kenneth R. Tomkovich, M.D., discusses how cryoablation compares to currently available treatments for breast cancer.

Download
Video 8. Kenneth R. Tomkovich, M.D., discusses who makes a good candidate for breast cryoablation.

Download

Images (JPG, TIF):

Figure 1. Mammogram showing cancer before ablation (arrow).

High-res (TIF) version
Figure 2. : Ultrasound of Figure 1 cancer prior to cryoablation (arrow). White line through cancer is cryoablation probe (+).

High-res (TIF) version
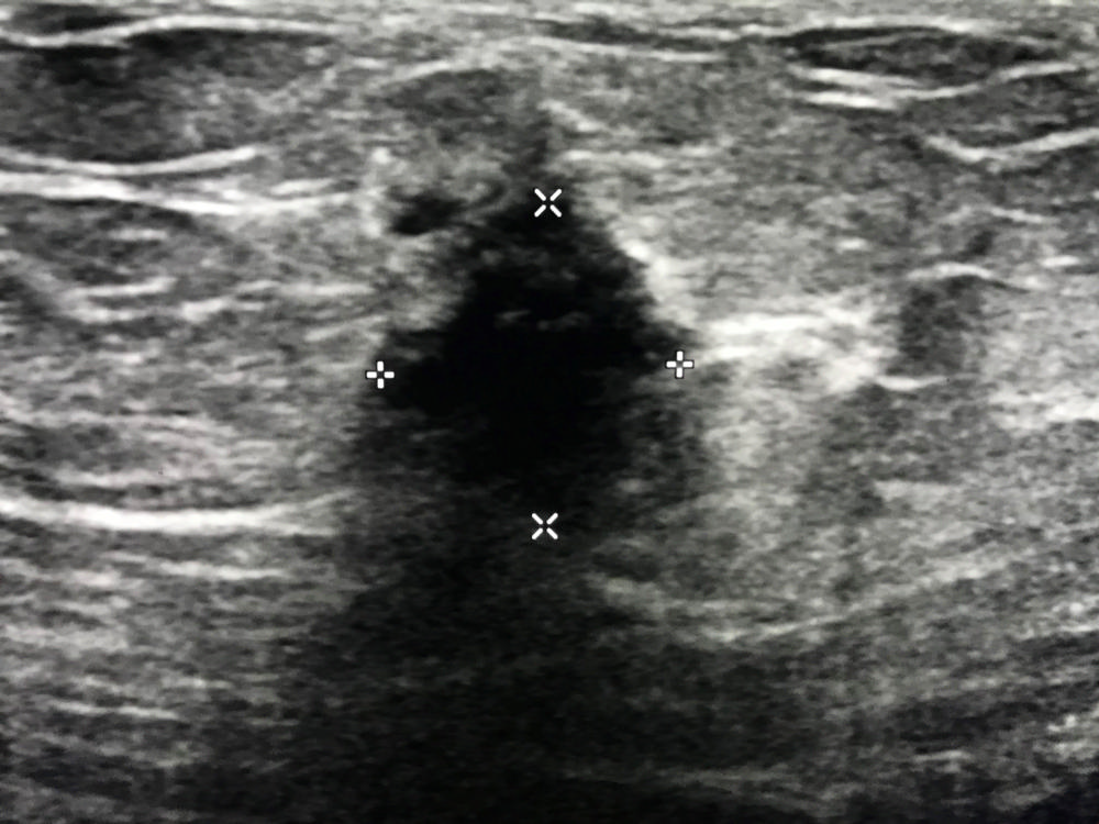
Figure 3. Ultrasound image of the breast after ablation demonstrates the very visible black "ice ball" completely engulfing the cancer (outlined by +).

High-res (TIF) version
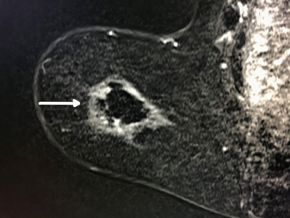
Figure 4. MRI post ablation shows white outline of ablation zone referred to as "cryohalo" with normal dark breast tissue centrally and no evidence of residual cancer (arrow).

High-res (TIF) version
Figure 5. Mammogram post ablation shows oval white rim of ablation zone with no residual evidence of cancer centrally and biopsy marker present (arrow).

High-res (TIF) version
Figure 6. Mammogram demonstrates cancer in right breast prior to cryoablation (arrow).

High-res (TIF) version
Figure 7. Mammogram image magnified demonstrates right breast cancer prior to ablation (arrow).

High-res (TIF) version
Figure 8. Ultrasound of right breast cancer prior to cryoablation (outlined by +).

High-res (TIF) version
Figure 9. Ultrasound demonstrates white line cryoablation probe (+) through breast cancer (arrow) prior to cryoablation.

High-res (TIF) version
Figure 10. Ultrasound following cryoablation demonstrates very visible black "ice ball" (+) completely engulfing breast cancer which is no longer seen.

High-res (TIF) version
Figure 11. Mammogram after cryoablation shows oval white rim of treatment zone "cryohalo" and no evidence of residual cancer.

High-res (TIF) version
Figure 12. Ice ball being formed by the probe.

High-res (TIF) version
Figure 13. IceCure ProSense System

High-res (TIF) version
Figure 14. Cryoablation probe

High-res (TIF) version

Files:

PowerPoint presentation provided for background reporting purposes only. Do not reprint or reproduce slide content.