RSNA Press Release

Non-Surgical Treatment Relieves Carpal Tunnel Syndrome

Released: November 30, 2022
RSNA Media Relations
1-630-590-7762
media@rsna.org
Linda Brooks
1-630-590-7738
lbrooks@rsna.org

At A Glance

  • A minimally invasive treatment for carpal tunnel syndrome provides complete and long-term relief for the condition.
  • The 15-minute treatment involves injecting saline around a nerve to separate it from the surrounding tissue, effectively treating nerve entrapment of carpal tunnel without the need for surgery.
  • Carpal tunnel syndrome affects about 3% of the U.S. population.
  • CHICAGO — A minimally invasive treatment for carpal tunnel syndrome provides complete and long-term relief to patients without the use of corticosteroids, according to research being presented today at the annual meeting of the Radiological Society of North America (RSNA).

    Anindita Bose, M.B.B.S.,  M.D.

    Anindita Bose, M.B.B.S., M.D.

    Carpal tunnel syndrome is a form of nerve entrapment neuropathy, which is when one of the body’s peripheral nerves is being pressed on or squeezed. It occurs when the median nerves and tendons inside the carpal tunnel, a narrow and rigid passageway that runs from the forearm to the palm of the hand, are being pressed or squeezed at the wrist. This results in tingling, numbness and/or weakness of the fingers and hands. Carpal tunnel syndrome is the most common and widely known form of entrapment neuropathy, affecting about 3% of the U.S. population. 

    Surgery is often required to treat carpal tunnel syndrome when non-surgical methods, such as physical therapy or corticosteroid injections, are insufficient. The most common and widely used surgical method involves cutting the carpal ligament to reduce pressure on the median nerve. This method requires making an incision into the wrist.

    But this new study shows that a technique called hydrodissection effectively treats nerve entrapments without the need for surgery or corticosteroids. It involves the injection of a liquid, usually saline, into a nerve to separate it from the surrounding tissue. Ultrasound guidance is used to accurately identify nerves.

    “Previously, the studies that have been done on ultrasound-guided hydrodissection for carpal tunnel syndrome have used corticosteroids either alone or as a part of the injection, making it difficult to assess whether hydrodissection alone was beneficial, or if it was due to the effect of the steroids,” said study lead author Anindita Bose, M.B.B.S., M.D., senior resident at the University College of Medical Sciences and Guru Teg Bahadur Hospital in Delhi, India.

    For this randomized control trial, Dr. Bose and colleagues enrolled a total of 63 patients suffering from carpal tunnel syndrome. Researchers used the Boston Carpal Tunnel Questionnaire (BCTQ), the Visual Analog of Pain (VAS), and cross-sectional area ultrasounds of the median nerve to assess patient pain and symptoms before and after the procedure. The 63 patients were divided into three groups. Group one received ultrasound-guided hydrodissection with just a saline injection. Group two received ultrasound-guided hydrodissection with an injection mixture of saline and corticosteroid. Group three received just an ultrasound-guided corticosteroid injection with no hydrodissection.

    Follow-up was done at four weeks, 12 weeks and six months. At the four-week mark, all three groups of patients showed a reduction in pain. By the 12-week and six-month mark, both groups that received ultrasound-guided hydrodissection showed further improvement while the group that received just a corticosteroid injection reported a recurrence of symptoms and an increase in BCTQ and VAS scores.

    Additionally, ultrasounds showed a significant reduction of median nerve cross-sectional area in both hydrodissection groups. Group one showed a reduction of 43%, and group two showed 46%. Group three showed only an 11% reduction.

    The procedure is short, requiring only 10 to 15 minutes. It is also very cost-effective, since it doesn’t require any high-end equipment, Dr. Bose said.

    “It came as a pleasant surprise when this simple procedure of ultrasound-guided hydrodissection provided patients with long-term relief,” said co-author Anupama Tandon, M.B.B.S, M.D., professor at the University College of Medical Sciences and Guru Teg Bahadur Hospital. “The patients were highly satisfied, as the cost was low, no anesthesia or hospitalization was needed, and they could go back in an hour’s time and resume their routine work.”

    Co-authors are Siddharth Maheshwari, Gopesh Mehrotra, M.B.B.S., M.D., and Aditya N. Aggarwal.

    Note: Copies of RSNA 2022 news releases and electronic images will be available online at RSNA.org/press22.

    RSNA is an association of radiologists, radiation oncologists, medical physicists and related scientists promoting excellence in patient care and health care delivery through education, research and technologic innovation. The Society is based in Oak Brook, Illinois. (RSNA.org)

    Editor’s note: The data in these releases may differ from those in the published abstract and those actually presented at the meeting, as researchers continue to update their data right up until the meeting. To ensure you are using the most up-to-date information, please call the RSNA Newsroom at 1-312-791-6610.

    For patient-friendly information on ultrasound, visit RadiologyInfo.org.

    Video (MP4):

    Video 1. Superior dissection
    Download
    Video 2. Inferior dissection
    Download
    Video 3. Dr. Anupama Tandon discusses her research on a new non-surgical treatment for carpal tunnel syndrome.
    Download

    Images (JPG, TIF):

    Figure 1. Ultrasound images depicting hydrodissection procedure in a patient with carpal tunnel syndrome. (A) Needle placed below the median nerve with fluid dissecting the nerve from the underlying flexor tendons (green star). (B) Needle placed above the median nerve with fluid dissecting the nerve away from the flexor retinaculum (yellow star). (C) Image at completion of procedure depicting the dissected median nerve with fluid all around. Red Arrow - needle, Blue cross -hydrodissection fluid, white dashed lines - median nerve.
    High-res (TIF) version
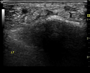
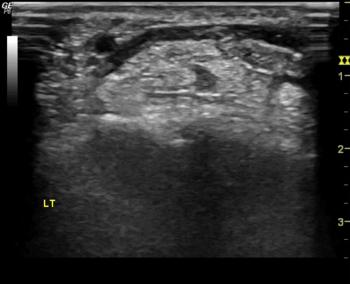
    Figure 2. Ultrasound image of median nerve before and after hydrodissection procedure in a patient with carpal tunnel syndrome. This case had cross-sectional area of 12 mm2 pre-procedure that reduced to 7 mm2 post-procedure (dashed yellow lines depicting the median nerve).
    High-res (TIF) version

    Files:

    PowerPoint presentation provided for background reporting purposes only. Do not reprint or reproduce slide content.