RSNA Press Release

Study Finds Key Brain Region Smaller in Birth Control Pill Users

Released: December 4, 2019
RSNA Media Relations
1-630-590-7762
media@rsna.org
Linda Brooks
1-630-590-7738
lbrooks@rsna.org

At A Glance

  • The first study to examine the effects of oral contraceptives on the structure of the living human hypothalamus found that women taking birth control pills had significantly smaller hypothalamus volume.
  • The hypothalamus helps regulate essential bodily functions including body temperature, mood, appetite, sex drive, sleep cycles and heart rate.
  • Smaller hypothalamic volume was also associated with greater anger and showed a strong correlation with depression.

CHICAGO — Researchers studying the brain found that women taking oral contraceptives, commonly known as birth control pills, had significantly smaller hypothalamus volume, compared to women not taking the pill, according to a new study presented today at the annual meeting of the Radiological Society of North America (RSNA).

Michael L. Lipton, M.D., Ph.D., FACR

Michael L. Lipton, M.D., Ph.D., FACR

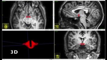
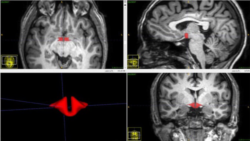
Located at the base of the brain above the pituitary gland, the hypothalamus produces hormones and helps regulate essential bodily functions including body temperature, mood, appetite, sex drive, sleep cycles and heart rate.

Structural effects of sex hormones, including oral contraceptive pills, on the human hypothalamus have never been reported, according to the researchers. This may be in part because validated methods to quantitatively analyze MRI exams of the hypothalamus have not been available.

"There is a lack of research on the effects of oral contraceptives on this small but essential part of the living human brain," said Michael L. Lipton, M.D., Ph.D., FACR, professor of radiology at the Gruss Magnetic Resonance Research Center at Albert Einstein College of Medicine and medical director of MRI Services at Montefiore Medical Center in New York City. "We validated methods for assessing the volume of the hypothalamus and confirm, for the first time, that current oral contraceptive pill usage is associated with smaller hypothalamic volume."

Oral contraceptives are among the most popular forms of birth control and are also used to treat a host of conditions, including irregular menstruation, cramps, acne, endometriosis and polycystic ovary syndrome. According to a 2018 report from the Centers for Disease Control and Prevention's National Center for Health Statistics, from 2015 to 2017 approximately 47 million women aged 15–49 in the U.S. reported current use of contraceptives. Of those, 12.6% used the pill.

In his study, Dr. Lipton and colleagues recruited a group of 50 healthy women, including 21 women who were taking oral contraceptives. All 50 women underwent brain MRI, and a validated approach was used to measure hypothalamic volume.

"We found a dramatic difference in the size of the brain structures between women who were taking oral contraceptives and those who were not," Dr. Lipton said. "This initial study shows a strong association and should motivate further investigation into the effects of oral contraceptives on brain structure and their potential impact on brain function."

Other findings from the study, which Dr. Lipton described as "preliminary," were that smaller hypothalamic volume was also associated with greater anger and showed a strong correlation with depressive symptoms. However, the study found no significant correlation between hypothalamic volume and cognitive performance.

Co-authors are Ke Xun Chen, M.D., Sandie Worley, B.S., Henry J. Foster, B.S., David Edasery, M.D., Shima Roknsharifi, M.D., and Chloe Ifrah, B.A. The study was funded by the National Institutes of Health/National Institute of Neurological Disorders and Stroke and by The Dana Foundation.

Note: Copies of RSNA 2019 news releases and electronic images will be available online at RSNA.org/press19 beginning Monday, Nov. 25.

RSNA is an association of over 53,400 radiologists, radiation oncologists, medical physicists and related scientists, promoting excellence in patient care and health care delivery through education, research and technologic innovation. The Society is based in Oak Brook, Ill. (RSNA.org)

Editor's note: The data in these releases may differ from those in the published abstract and those actually presented at the meeting, as researchers continue to update their data right up until the meeting. To ensure you are using the most up-to-date information, please call the RSNA Newsroom at 1-312-791-6610.

For patient-friendly information on brain MRI, visit RadiologyInfo.org.

Video (MP4):

Video 1. Researcher Dr. Michael Lipton and technician reviewing brain images. Video provided by Albert Einstein College of Medicine, in connection with Dr. Michael Lipton, and used with permission.
Download
Video 2. The Human Hypothalamus: MRI-based Segmentation & 3D Rendering
Download

Images (JPG, TIF):

Figure 1. Dr. Michael Lipton and technician viewing patient's exam.
High-res (TIF) version
Figure 2. Dr. Michael Lipton and technician viewing patient's exam.
High-res (TIF) version
Figure 3. A technician preparing a patient for MRI exam.
High-res (TIF) version
Figure 4. Brain MRI images
High-res (TIF) version
Figure 5. A technician viewing brain MRI images.
High-res (TIF) version
Figure 6. A technician viewing brain MRI images.
High-res (TIF) version
Figure 7. Brain MRI depicting hypothalamus in red.
High-res (TIF) version