RSNA Press Release
Ultrasound Reveals Knuckle-Cracking Fireworks
At A Glance
CHICAGO — Research presented today at the annual meeting of the Radiological Society of North America (RSNA) tackles one of life's great mysteries: what causes a knuckle to "crack" out loud?
"It's extremely common for joints to crack, pop and snap," said Robert D. Boutin, M.D., professor of radiology at University of California, Davis (UC Davis) Health System. "We were interested in pursuing this study because there's a raging debate about whether the knuckle-cracking sound results from a bubble popping in the joint or from a bubble being created in the joint."
In the first study of its kind, researchers recorded simultaneous audio and visual evidence of knuckles cracking. Forty healthy adults, including 17 women and 23 men (age range 18-63), were examined at UC Davis with ultrasound imaging, as they attempted to crack the knuckle at the base of each finger, known in medical parlance as the metacarpophalangeal joint (MPJ). The participants included 30 individuals with a history of habitual knuckle cracking and 10 without.
While some participants stated that they had never intentionally cracked their knuckles, other participants did it frequently every day – up to 20 times per day for the past 40 years.
Orthopedists blinded to the participants' knuckle-cracking history evaluated the participants for grip strength, range of motion and laxity of each MPJ both before and after the ultrasound examination.
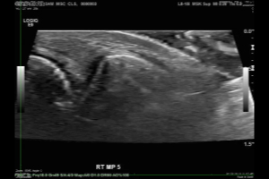
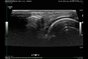
Using a small transducer, a sonographer recorded video images of 400 MPJs, as participants attempted to crack their knuckles. The sonographer also captured static images of each MPJ before and after participants tried their hands at cracking.
Two radiologists interpreted the ultrasound images, looking for sonographic evidence that would correlate with the audible cracks, which occurred in 62 of the 400 joints imaged.
"What we saw was a bright flash on ultrasound, like a firework exploding in the joint," Dr. Boutin said. "It was quite an unexpected finding."
Using the flashes on the ultrasound images, the radiologists were able to identify the joints with audible cracks with at least 94 percent specificity.
"There have been several theories over the years and a fair amount of controversy about what's happening in the joint when it cracks," Dr. Boutin said. "We're confident that the cracking sound and bright flash on ultrasound are related to the dynamic changes in pressure associated with a gas bubble in the joint." As for which comes first — the cracking sound or the flash of light — Dr. Boutin said that more research is needed.
The physical examinations revealed no immediate pain, swelling or disability in the knuckle-cracking group and no immediate difference in laxity or grip strength between the participants who cracked their knuckles and those who didn't.
"We found that there was no immediate disability in the knuckle crackers in our study, although further research will need to be done to assess any long-term hazard – or benefit – of knuckle cracking," Dr. Boutin said.
Co-authors on the study are Anuj Netto, M.D., M.P.H., David Nakamura, M.D., Cyrus Bateni, M.D., Michael S. Cronan, R.T., Robert Szabo, M.D., M.P.H., and Abhijit J. Chaudhari, Ph.D.
Note: Copies of RSNA 2015 news releases and electronic images will be available online at RSNA.org/press15 beginning Monday, Nov. 30.
RSNA is an association of more than 54,000 radiologists, radiation oncologists, medical physicists and related scientists, promoting excellence in patient care and health care delivery through education, research and technologic innovation. The Society is based in Oak Brook, Ill. (RSNA.org)
Editor's note: The data in these releases may differ from those in the published abstract and those actually presented at the meeting, as researchers continue to update their data right up until the meeting. To ensure you are using the most up-to-date information, please call the RSNA Newsroom at 1-312-791-6610.
For patient-friendly information on musculoskeletal ultrasound, visit RadiologyInfo.org.
Video (MP4):
Images (JPG, TIF):
