RSNA Press Release

Emphysema at CT Lung Screening Increases Death Risk in Asymptomatic Adults

Released: September 9, 2025
RSNA Media Relations
1-630-590-7762
media@rsna.org
Linda Brooks
1-630-590-7738
lbrooks@rsna.org

OAK BROOK, Ill. — Emphysema detected on baseline low-dose chest CT (LDCT) in the lung cancer screening cohort of more than 9,000 asymptomatic adults was associated with death from all causes, chronic obstructive pulmonary disease (COPD), and cardiovascular disease within a 25-year follow-up period in a new study published today in Radiology, a journal of the Radiological Society of North America (RSNA).

Emphysema is a permanent and progressive lung disease in which air sacs in the lungs become damaged, making breathing difficult. It is primarily caused by long-term exposure to irritants like cigarette smoke and air pollution.

"Until now, we didn't know if baseline visual emphysema scoring on LDCT in the lung cancer screening setting had any prognostic value," said Claudia I. Henschke, Ph.D., M.D., a radiologist and professor of radiology in the Department of Diagnostic, Molecular, and Interventional Radiology at Icahn School of Medicine at Mount Sinai, in New York. "Our study stands out for its long follow-up and comprehensive analysis of the causes of death in a large lung cancer screening cohort."

In the study, a lung cancer screening cohort of 9,047 asymptomatic adults (ages 40-85 at enrollment; 4,614 female) with a smoking history underwent baseline LDCT in New York and were followed for up to 25 years as part of the International Early Lung Cancer Action Program (I-ELCAP).

Claudia I. Henschke, Ph.D., M.D.

Claudia I. Henschke, Ph.D., M.D.

Participants (median age 65 years, median pack-years 43, and median follow-up 23.3 years) underwent baseline LDCT between 2000 and 2008 and were followed when possible until death or December 31, 2024. Pack-years is a measure of lifetime exposure to cigarette smoke calculated by multiplying the number of years spent smoking by the number of cigarette packs smoked per day.

An experienced chest radiologist assessed each LDCT and assigned a score reflecting the level of emphysema present from 0 (none) to 3 (severe).

"Lung cancer screening shouldn't just be looking for nodules," said Dr. Henschke, principal investigator for the I-ELCAP. "That's a small part of what we see on the CT scan. As radiologists, we're responsible for the entire image."

Among the study's participants, 70.9% had no evidence of emphysema. The percentage of mild, moderate and severe emphysema was 21.1%, 5.7%, and 2.4%, respectively. Nearly 80% of participants identified with emphysema on their baseline LDCT had not been previously diagnosed, including five percent of participants with moderate or severe emphysema.

Slightly more males than women were diagnosed with emphysema (30.1% versus 28.2%). Evidence of the disease increased with advanced age and higher cumulative smoking exposure.

By year-end 2024, 3,738 participants (41.3%) had died, most commonly from cardiovascular disease (12.7%) and COPD (3.3%). The median age at the time of death from all causes was 81, and from COPD, cardiovascular disease, and other causes, it was 81, 82, and 81 years, respectively.

A statistical analysis of associations between emphysema and mortality demonstrated that the lung disease was associated with COPD mortality but not cardiovascular disease mortality.

"Clinically, these findings suggest emphysema is not merely an incidental CT finding, but a distinct disease entity associated with worst outcomes and increased mortality, not only from lung cancer but also from respiratory and cardiovascular diseases," Dr. Henschke said. "The findings show an increased risk of all causes of death by the presence of emphysema and its severity, ranging from a 1.15-fold increase for mild disease and a 2.28-fold increase for severe emphysema. For deaths due to COPD, the increased risk ranged from a 2.07-fold for mild disease to 12.06-fold increase for severe emphysema."

The study's results will enable healthcare providers to tailor risk-based treatment to prevent the progression of the disease. Dr. Henschke said using a visual assessment of emphysema as a predictor of health two decades into the future is part of a new era of preventive health.

"The amount of information you get and the ability to act on it in a meaningful way is something preventive health only dreamed of being just a few years ago," she said.

Dr. Henschke envisions a comprehensive lung cancer screening program that also assesses COPD and cardiovascular disease risk to identify individuals who may benefit from interventions to improve outcomes.

"Pulmonologists, cardiologists and radiologists need to work together, because one influences the other," she said. "We have to work towards solutions holistically."

Although the United States Preventive Services Task Force recommends annual lung cancer screening with LDCT for adults aged 50 to 80 who have a 20 pack-year smoking history and currently smoke or quit within the past 15 years, Dr. Henschke said she would also like to see screening benefits extended to individuals who have never smoked.

"In the U.S., about 30,000 to 40,000 deaths each year are found in non-smokers," she said. "That's about a third of the total deaths due to lung cancer annually."

"Emphysema at Baseline Low-Dose CT Lung Cancer Screening Predicts Death from Chronic Obstructive Pulmonary Disease and Cardiovascular Disease Up to 25 Years Later." Collaborating with Dr. Henschke were Jessica Gonzalez Gutierrez, Ph.D., M.P.H., Rowena Yip, M.D., Javier J. Zulueta, M.D., Samuel M. Aguayo, M.D., Daniel M. Libby, M.D., Mark W. Pasmantier, M.D., and David F. Yankelevitz, M.D., for the International Early Lung Cancer Action Program Investigators.

Radiology is edited by co-interim editors Vicky Goh, M.B.B.Ch., King's College London, U.K., and Kathryn Fowler, M.D., University of California San Diego, California, and owned and published by the Radiological Society of North America, Inc. (https://pubs.rsna.org/journal/radiology)

RSNA is an association of radiologists, radiation oncologists, medical physicists and related scientists promoting excellence in patient care and health care delivery through education, research and technologic innovation. The Society is based in Oak Brook, Illinois. (RSNA.org)

For patient-friendly information on lung cancer screening, visit RadiologyInfo.org.

Images (JPG, TIF):

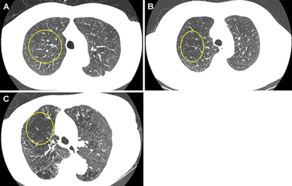
Figure 1. Representative axial images of mild, moderate, and severe emphysema at baseline low-dose CT (LDCT). Participants were categorized as having no emphysema or mild, moderate, or severe emphysema. When present, emphysema was mild if no distinct regions of reduced attenuation were visible on the CT scan, but vascular splaying indicates parenchymal expansion, or if only occasional discrete low-attenuation regions were observed. Moderate emphysema was defined by the presence of identifiable low-attenuation regions affecting less than half of the lung parenchyma, whereas severe emphysema was defined by the presence of identifiable low-attenuation regions that involved more than half of the lung parenchyma. A scoring system from 0 to 3 was applied, corresponding to none, mild, moderate, and severe emphysema, respectively. Yellow circle indicates the extent of emphysema. (A) A 67-year-old man with mild emphysema at baseline LDCT in 2002. Baseline LDCT scan shows vascular splaying, suggesting parenchymal expansion due to emphysema and occasional discrete low-attenuation regions. The participant ultimately died of cardiovascular disease 15.4 years (184.2 months) later. (B) A 69-year-old man with moderate emphysema at baseline LDCT in 2007. The participant died of cardiovascular disease 1.8 years (21.9 months) later. Identifiable low-attenuation regions affected less than half of the lung parenchyma. (C) An 85-year-old woman with severe emphysema at baseline LDCT in 2006. After 5.5 years (65.5 months) of follow-up, the participant died due to chronic obstructive pulmonary disease–related causes. Identifiable low-attenuation regions involved more than half of the lung parenchyma.
High-res (TIF) version
Figure 2. Kaplan-Meier curves show all-cause survival for those with emphysema versus those without (top) and stratified by emphysema categories (bottom) for 9047 baseline screening participants. Participants were categorized as having no emphysema or mild, moderate, or severe emphysema. When present, emphysema was mild if no distinct regions of reduced attenuation were visible on the CT scan, but vascular splaying indicates parenchymal expansion, or if only occasional discrete low-attenuation regions were observed. Moderate emphysema was defined by the presence of identifiable low-attenuation regions affecting less than half of the lung parenchyma, whereas severe emphysema was defined by the presence of identifiable low-attenuation regions involving more than half of the lung parenchyma. A scoring system from 0 to 3 was applied, corresponding to none, mild, moderate, and severe emphysema, respectively. BSCT = baseline CT scan.
High-res (TIF) version
Figure 3. Kaplan-Meier curves show chronic obstructive pulmonary disease (COPD)-specific survival for those with emphysema versus those without (top) and when stratified by emphysema categories (bottom) for 9047 baseline screening participants. Participants were categorized as having no emphysema or mild, moderate, or severe emphysema. When present, emphysema was mild if no distinct regions of reduced attenuation were visible on the CT scan, but vascular splaying indicates parenchymal expansion, or if only occasional discrete low-attenuation regions were observed. Moderate emphysema was defined by the presence of identifiable low-attenuation regions affecting less than half of the lung parenchyma, whereas severe emphysema was defined by the presence of identifiable low-attenuation regions involving more than half of the lung parenchyma. A scoring system from 0 to 3 was applied, corresponding to none, mild, moderate, and severe emphysema, respectively. BSCT = baseline CT scan.
High-res (TIF) version
Figure 4. Kaplan-Meier curves show cardiovascular disease (CVD)-specific survival for those with emphysema versus those without (top) and when stratified by emphysema categories (bottom) for 9047 baseline screening participants. Participants were categorized as having no emphysema or mild, moderate, or severe emphysema. When present, emphysema was mild if no distinct regions of reduced attenuation were visible on the CT scan but vascular splaying indicates parenchymal expansion, or if only occasional discrete low-attenuation regions were observed. Moderate emphysema was defined by the presence of identifiable low-attenuation regions affecting less than half of the lung parenchyma, whereas severe emphysema was defined by the presence of identifiable low-attenuation regions involving more than half of the lung parenchyma. A scoring system from 0 to 3 was applied, corresponding to none, mild, moderate, and severe emphysema, respectively. BSCT = baseline CT scan.
High-res (TIF) version
Figure 5. Cumulative incidence function curves depict the association between emphysema severity and chronic obstructive pulmonary disease mortality (adjusted for sex, age, pack-years, and quit year), accounting for competing causes of death.
High-res (TIF) version