RSNA Press Release

Long COVID Brain Fog Linked to Lung Function

Released: November 26, 2024
RSNA Media Relations
1-630-590-7762
media@rsna.org
Linda Brooks
1-630-590-7738
lbrooks@rsna.org

At A Glance

  • In long COVID, lower pulmonary gas exchange may be associated with impaired cognitive function.
  • Lower gas exchange was also associated with lower gray matter and white matter volumes and increased cerebral blood flow.
  • Approximately 17.6% of adults in the U.S. have experienced long COVID.
  • CHICAGO — In patients with long COVID, lower pulmonary gas exchange may be associated with impaired cognitive function, according to a study being presented next week at the annual meeting of the Radiological Society of North America (RSNA).

    According to the National Center for Health Statistics, approximately 17.6% of adults in the U.S. have experienced a post-COVID condition commonly referred to as long COVID. People with long COVID may exhibit a wide variety of symptoms, including difficulty concentrating ("brain fog"), change in sense of smell or taste, fatigue, joint or muscle pain, dyspnea (shortness of breath), digestive symptoms, and more. These symptoms may persist for weeks, months, or even years after COVID-19 infection.

    Researchers from the University of Iowa in Iowa City set out to assess associations between pulmonary MRI gas exchange, structural and functional brain MRI, and cognition in long COVID patients. In pulmonary gas exchange, oxygen moves from the lungs to the bloodstream, while carbon dioxide moves from the bloodstream to the lungs.

    Keegan Staab, B.S.

    Keegan Staab, B.S.

    "This is the first time that MRI has been used to jointly assess lung and brain function to investigate their relationship in long COVID," said the study's lead author Keegan Staab, B.S., graduate research assistant in the Department of Radiology at the University of Iowa in Iowa City. "This research is new in that it combines multiple unique imaging types to study a multiorgan relationship in a disease population."

    Senior study author Sean B. Fain, Ph.D., professor and vice chair for research in the Department of Radiology at the University of Iowa, added, "If these findings can be generalized to the long COVID population, the study suggests that there may be a causative relationship between cognitive dysfunction and lung dysfunction, suggesting a potential treatment strategy using methods that target improved gas exchange."

    For the study, 10 female and 2 male patients (median age: 59 years) who had persistent dyspnea and/or fatigue following the resolution of acute COVID-19 infection were recruited from a post-COVID-19 clinic. Hyperpolarized Xe pulmonary MRI, structural and functional brain MRI, pulmonary function tests and cognitive tests were acquired.

    "129Xe MRI allows for advanced measurements of ventilation and gas exchange," Staab said. "The literature also indicates that 129Xe may be more sensitive to pulmonary injury compared to standard breathing tests, making it better suited to study long COVID in which patients typically have normal breathing tests."

    Perceived cognitive difficulties were measured using Patient-Reported Outcomes Measurement Information System, and objective cognitive performance was assessed using the National Institutes of Health Toolbox V3 Cognition Battery.

    "There was a range of cognitive difficulties among the patients in the study," Staab said. "Some were mild and indicated slight dysfunction, while others were more serious and indicated that some patients have slow thinking and trouble concentrating several times per day."

    The results showed that lower pulmonary gas exchange may be associated with cognitive dysfunction, as well as lower gray matter and white matter volumes in patients with long COVID. In addition, the researchers observed significant relationships suggesting that increased cerebral blood flow is associated with decreased gas exchange in long COVID patients.

    Staab said larger studies are needed to investigate the association between gas exchange and cerebral blood flow in long COVID.

    "This relationship could be a compensatory mechanism where lower lung function is compensated by higher cardiac output and higher brain perfusion," he said. "It's also a possibility that the disease mechanism that impairs pulmonary gas exchange also leads to higher brain perfusion through downstream vascular injury in both lung and brain."

    Based on the findings of this study, gas exchange abnormalities may help identify long COVID patients who require additional treatment or long-term management.

    Other co-authors are Marrissa J. McIntosh, Ph.D., Jonathan L. Percy, B.S., Andrew D. Hahn, Ph.D., Natally AlArab, M.D., Conner J. Wharff, B.S. B.A. RT(R)(MR), Eric Bruening, M.S., Alejandro P. Comellas, M.D., Eric A. Hoffman, Ph.D., Carinda Linkenmeyer, M.A.E., Tara Lanning, B.S., and Karin F. Hoth, Ph.D.

    Note: Copies of RSNA 2024 news releases and electronic images will be available online at RSNA.org/press24.

    RSNA is an association of radiologists, radiation oncologists, medical physicists and related scientists promoting excellence in patient care and health care delivery through education, research and technologic innovation. The Society is based in Oak Brook, Illinois. (RSNA.org)

    Editor's note: The data in these releases may differ from those in the published abstract and those actually presented at the meeting, as researchers continue to update their data right up until the meeting. To ensure you are using the most up-to-date information, please call the RSNA Newsroom at 1-312-791-6610.

    For patient-friendly information on MRI, visit RadiologyInfo.org.

    Video (MP4):

    Video 1. Keegan Staab, B.S., discusses new research on how long COVID brain fog is linked to lung function.
    Download
    Video 2. B-roll: radiologist reviewing brain MRI
    Download

    Images (JPG, TIF):

    Figure 1. Table with pulmonary MRI gas exchange versus cognition and brain MRI.
    High-res (TIF) version
    Figure 2. Individuals in the study are plotted with x-axis being rank of pulmonary gas exchange. The black dots show the pulmonary gas exchange ratio, which in this case is the red blood cell to tissue plasma ratio (RBC:mem), on the left y-axis and the blue dots are the cognition scores on the right y-axis. Gas exchange maps of three representative patients from a low, medium and high pulmonary gas exchange.
    High-res (TIF) version
    Figure 3. Gas exchange map - High
    High-res (TIF) version
    Figure 4. Gas exchange map - Medium
    High-res (TIF) version
    Figure 5. Gas exchange map - Low
    High-res (TIF) version
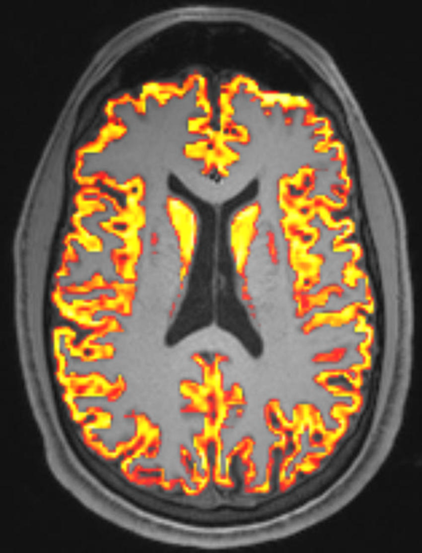
    Figure 6. Example of brain MRI of a patient with long COVID
    High-res (TIF) version