RSNA Press Release

Women Pay for AI to Boost Mammogram Findings

Released: December 5, 2024
RSNA Media Relations
1-630-590-7762
media@rsna.org
Linda Brooks
1-630-590-7738
lbrooks@rsna.org

At A Glance

  • Women choosing to enroll in a self-pay, AI-enhanced breast cancer screening program were 21% more likely to have cancer detected.
  • A self-pay AI-powered screening mammography program was offered to patients across 10 clinical practices ranging from a few sites up to 64 sites at the largest practice.
  • Out of the 747,604 women who underwent screening mammography over an initial 12-month period, the overall cancer detection rate was substantially higher for women enrolled in the self-pay AI program.
  • CHICAGO — More than a third of women across 10 health care practices chose to enroll in a self-pay, artificial intelligence (AI)-enhanced breast cancer screening program, and the women who enrolled were 21% more likely to have cancer detected, according to research being presented today at the annual meeting of the Radiological Society of North America (RSNA).

    Bryan Haslam, Ph.D.

    Bryan Haslam, Ph.D.

    AI has shown great promise in mammography as a “second set of eyes” for radiologists providing decision support, risk prediction and other benefits. Despite its promise, AI is not yet reimbursed by insurance, which likely is slowing its adoption in the clinic. Some practices have elected to offer enhanced workflows enabled by AI at additional cost, much like what was done when digital breast tomosynthesis was originally deployed.

    For the study, researchers investigated the impact of AI—including a safeguard review—as a self-pay option in screening mammography. A self-pay, AI-powered screening mammography program was offered to patients across 10 clinical practices, ranging from a few sites up to 64 sites at the largest practice. Women who enrolled had U.S. Food and Drug Administration-compliant AI software applied to their mammograms. An expert breast radiologist provided a third, safeguard review in cases where there was discordance between the first reviewer and the AI.

    Out of the 747,604 women who underwent screening mammography over an initial 12-month period, the overall cancer detection rate was on average 43% higher for enrolled women than for unenrolled women. The pattern of a substantially higher cancer detection rate in enrolled women was observed at all 10 practices.

    Gregory Sorensen, M.D.

    Gregory Sorensen, M.D.

    Further analysis attributed 21% of the increase in cancer detection to the AI program. The researchers credited the remaining 22% increase in detection to the fact that higher-risk patients chose to enroll more frequently.

    “These data indicate that many women are eager to utilize AI to enhance their screening mammogram, and when AI is coupled with a safeguard review, more cancers are found,” said study senior author Gregory Sorensen, M.D., from DeepHealth Inc. in Somerville, Massachusetts.

    The recall rate—the rate at which women were called back for additional imaging—was 21% higher for enrolled versus unenrolled women. Relatedly, the positive predictive value for cancer was 15% higher for the enrolled women, indicating that each recall resulted in more cancer diagnoses in the enrolled population.

    “This is the first report on results from a program that provides an AI-powered enhanced review that patients can elect to enroll in,” said study lead author Bryan Haslam, Ph.D., from DeepHealth. “The AI-driven enhanced review program leverages AI in a novel workflow to ensure women with suspicious findings get expert level care that could help detect many more breast cancers early. The number of women electing for this program is now at 36% and growing, and the rate of cancer detection continues to be substantially higher for those women.”

    In the future, the researchers hope to better quantify the benefit of the AI-driven safeguard review with prospective randomized controlled trials that would eliminate the self-selection bias and provide the highest level of evidence.

    Co-authors are Leeann Louis, Ph.D., Jacqueline S. Holt, M.D., and Janet M. Storella, M.D.

    Note: Copies of RSNA 2024 news releases and electronic images will be available online at RSNA.org/press24.

    RSNA is an association of radiologists, radiation oncologists, medical physicists and related scientists promoting excellence in patient care and health care delivery through education, research and technologic innovation. The Society is based in Oak Brook, Illinois. (RSNA.org)

    Editor’s note: The data in these releases may differ from those in the published abstract and those actually presented at the meeting, as researchers continue to update their data right up until the meeting. To ensure you are using the most up-to-date information, please call the RSNA Newsroom at 1-312-791-6610.

    For patient-friendly information on breast cancer screening, visit RadiologyInfo.org.

    Video (MP4):

    Video 1. Bryan Haslam, Ph.D., discusses his research that found that more than a third of women across 10 health care practices chose to enroll in a self-pay, AI-enhanced breast cancer screening program, and the women who enrolled were 21% more likely to have cancer detected.
    Download
    Video 2. Radiologic technologist capturing mammography images.
    Download
    Video 3. Radiologist reviewing mammography images.
    Download
    Video 4. Woman with radiologic technologist during screening mammography exam.
    Download

    Images (JPG, TIF):

    Figure 1. AI enhanced screening mammography.
    High-res (TIF) version
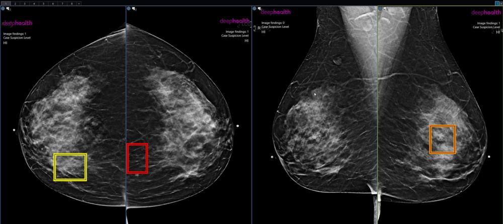
    Figure 2. Example of abnormal mammogram.
    High-res (TIF) version
    Figure 3. Example of normal mammogram.
    High-res (TIF) version
    Figure 4. Woman with radiologic technologist during screening mammography exam.
    High-res (TIF) version
    Figure 5. Woman with radiologic technologist during screening mammography exam.
    High-res (TIF) version
    Figure 6. Cancer detection rates (y-axis) at 10 different practices (x-axis) for women enrolled and not enrolled in the AI enhanced screening program.
    High-res (TIF) version