RSNA Press Release

Study Exposes High Injury Rates in Transgender Women

Released: December 4, 2024
RSNA Media Relations
1-630-590-7762
media@rsna.org
Linda Brooks
1-630-590-7738
lbrooks@rsna.org

At A Glance

  • Injury rates among transgender women in the study were significantly higher than injury rates among cisgender women.
  • Transgender women in the study group suffered eight times as many head injuries, 36 times as many facial injuries and five times as many chest injuries.
  • Nearly 42% of transgender women with visible injuries on imaging reported interpersonal violence, and more than 28% reported intimate partner violence.
  • CHICAGO — A new study found that injury rates among transgender women are significantly higher than injuries among cisgender women, based on radiological imaging. The findings will be presented today at the annual meeting of the Radiological Society of North America (RSNA).

    Rohan Chopra

    Rohan Chopra

    ‘Cisgender’ is a term used to describe people whose gender identity matches the sex they were assigned at birth, while ‘transgender’ describes people whose gender identity differs from the sex they were assigned at birth.

    “Transgender women have been reported to experience alarmingly high rates of violence,” said lead researcher Rohan Chopra, an undergraduate student at Northeastern University in Boston and a research intern at the Trauma Imaging Research and Innovation Center (TIRIC) at Brigham and Women’s Hospital. “They also frequently endure discrimination, hate crimes, psychological abuse and social isolation, which not only increases their vulnerability but also creates significant barriers in reporting violence and escaping abusive situations.”

    The first-of-its-kind study, conducted by TIRIC, employs a case-control design to quantify and compare the burden of injuries evident on imaging between transgender women and a control group of cisgender women.  

    For the study, researchers selected a cohort of 263 trans-female patients, aged 18 and older, from the Research Patient Data Registry. All patients had undergone at least one imaging exam at a Massachusetts General Brigham affiliated hospital. From the same registry, a control group was selected of 525 cisgender female control patients, matched for age, race and ethnicity, who also underwent at least one imaging exam.

    Among the transgender women, 67 (25.4%) sustained 141 injuries, compared to 77 (14.7%) of cisgender women who sustained 98 injuries. Transgender women in the study group suffered eight times as many head injuries as the controls, 36 times as many facial injuries and five times as many chest injuries.

    “Transgender women were five times more likely to undergo imaging in the emergency department compared to cisgender women and were nearly twice as likely to get imaged overnight and on weekends,” Chopra said. “Most importantly, transgender women were three times as likely to sustain injuries compared to cisgender women.”

    Of the 67 transgender women with injuries confirmed by a radiological exam, 41.8% (28 of 67) reported being involved in interpersonal violence and 28.4% (19 of 67) confirmed intimate partner violence (IPV). However, 25 (37.3%) of the 67 transgender patients were not screened for IPV.

     Bharti Khurana, M.D., M.B.A.

    Bharti Khurana, M.D., M.B.A.

    Two radiologists, blinded to the purpose of the study and the transgender status, were also asked to predict the likelihood of IPV based on the radiology reports. The radiologists correctly identified IPV in about one-third of the transgender individuals who reported it.

    “The significantly higher injury rates in transgender women, particularly to the head, face and chest, with frequent presentations to emergency departments indicate an elevated risk of violence and highlight gaps in preventive care,” said Bharti Khurana, M.D., M.B.A., the study’s principal investigator and founder and director of TIRIC. “By recognizing these patterns, radiologists can help identify at-risk patients and facilitate timely IPV screening and support for this vulnerable population.”

    Other co-authors are Krishna Patel, M.P.H., Tatiana C. Rocha, M.D., Maria Duran-Mendicuti, M.D., Jessica C. Loftus, L.I.C.S.W., Jacqueline Savage Borne, L.I.C.S.W., Lauren Kourabas, L.I.C.S.W., Bernard Rosner, Ph.D., M.S., and Ole-Petter R. Hamnvik, M.D.

    Note: Copies of RSNA 2024 news releases and electronic images will be available online at RSNA.org/press24.

    RSNA is an association of radiologists, radiation oncologists, medical physicists and related scientists promoting excellence in patient care and health care delivery through education, research and technologic innovation. The Society is based in Oak Brook, Illinois. (RSNA.org)

    Editor’s note: The data in these releases may differ from those in the published abstract and those actually presented at the meeting, as researchers continue to update their data right up until the meeting. To ensure you are using the most up-to-date information, please call the RSNA Newsroom at 1-312-791-6610.

    For patient-friendly information on on emergency radiology, visit RadiologyInfo.org.

    Video (MP4):

    Video 1: Rohan Chopra discusses his research on radiological findings of injuries among transgender women, including injuries stemming from violence.
    Download
    Video 2: B-roll of Rohan Chopra presenting his research at RSNA 2024 on radiological findings of injuries among transgender women, including injuries stemming from violence.
    Download

    Images (JPG, TIF):

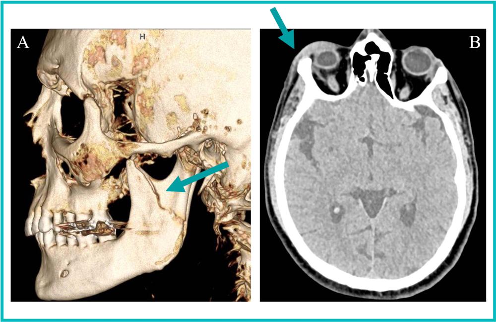
    Figure 1. 35-year-old transgender woman presents with (A) a 3D CT reformation of the face in the sagittal plane showing a left mandibular fracture (arrow). (B) An axial head CT image from one of three head CT studies over the last two years revealing right periorbital soft tissue swelling (arrow). The radiologist reader suspected intimate partner violence based on radiology reports, which was subsequently confirmed through clinical note examination.
    High-res (TIF) version
    Figure 2. Rohan Chopra presenting his research at RSNA 2024 on radiological findings of injuries among transgender women, including injuries stemming from violence. I
    High-res (TIF) version