RSNA Press Release

AI Accurately Identifies Normal and Abnormal Chest X-rays

Released: March 7, 2023
RSNA Media Relations
1-630-590-7762
media@rsna.org
Linda Brooks
1-630-590-7738
lbrooks@rsna.org

At A Glance

  • An AI tool can accurately detect normal and abnormal chest X-rays in a clinical setting.
  • Analyzing the chest X-rays of 1,529 patients, the AI tool identified abnormal chest X-rays with a 99.1% sensitivity.
  • An AI tool that can accurately differentiate between normal and abnormal chest X-rays would alleviate the heavy workload experienced by radiologists globally.
  • OAK BROOK, Ill. — An artificial intelligence (AI) tool can accurately identify normal and abnormal chest X-rays in a clinical setting, according to a study published in Radiology, a journal of the Radiological Society of North America (RSNA).

    Louis Lind Plesner, M.D.

    Louis Lind Plesner, M.D.

    Chest X-rays are used to diagnose a wide variety of conditions to do with the heart and lungs. An abnormal chest X-ray can be an indication of a range of conditions, including cancer and chronic lung diseases.

    An AI tool that can accurately differentiate between normal and abnormal chest X-rays would greatly alleviate the heavy workload experienced by radiologists globally.

    “There is an exponentially growing demand for medical imaging, especially cross-sectional such as CT and MRI,” said study co-author Louis Lind Plesner, M.D., from the Department of Radiology at the Herlev and Gentofte Hospital in Copenhagen, Denmark. “Meanwhile, there is a global shortage of trained radiologists. Artificial intelligence has shown great promise but should always be thoroughly tested before any implementation.”

    For this retrospective, multi-center study, Dr. Plesner and colleagues wanted to determine the reliability of using an AI tool that can identify normal and abnormal chest X-rays.

    Researchers used a commercially available AI tool to analyze the chest X-rays of 1,529 patients from four hospitals in the capital region of Denmark. Chest X-rays were included from emergency department patients, in-hospital patients and outpatients. The X-rays were classified by the AI tool as either “high-confidence normal” or “not high-confidence normal” as in normal and abnormal, respectively. 

    Two board-certified thoracic (chest) radiologists were used as the reference standard. A third radiologist was used in cases of disagreements, and all three physicians were blinded to the AI results.

    Of the 429 chest X-rays that were classified as normal, 120, or 28%, were also classified by the AI tool as normal. These X-rays, or 7.8 % of all the X-rays, could be potentially safely automated by an AI tool. The AI tool identified abnormal chest X-rays with a 99.1% of sensitivity.

    “The most surprising finding was just how sensitive this AI tool was for all kinds of chest disease,” Dr. Plesner said. “In fact, we could not find a single chest X-ray in our database where the algorithm made a major mistake. Furthermore, the AI tool had a sensitivity overall better than the clinical board-certified radiologists.”

    According to the researchers, further studies could be directed toward larger prospective implementation of the AI tool where the autonomously reported chest X-rays are still reviewed by radiologists.

    The AI tool performed especially well at identifying normal X-rays of the outpatient group at a rate of 11.6%. This suggests that the AI model would perform especially well in outpatient settings with a high prevalence of normal chest X-rays.

    “Chest X-rays are one of the most common imaging examination performed worldwide,” Dr. Plesner said. “Even a small percentage of automatization can lead to saved time for radiologists, which they can prioritize on more complex matters.”

    “Autonomous Chest Radiograph Reporting Using AI: Estimation of Clinical Impact.” Collaborating with Dr. Plesner were Felix C. Müller, M.D., Ph.D., Janus D. Nybing, M.Sc., Lene C. Laustrup, M.D., Finn Rasmussen, M.D., D.M.Sc., Olav W. Nielsen, M.D., Ph.D., Mikael Boesen, M.D., Ph.D., and Michael B. Andersen, M.D., Ph.D.

    In 2023, Radiology is celebrating its 100th anniversary with 12 centennial issues, highlighting Radiology’s legacy of publishing exceptional and practical science to improve patient care.

    Radiology is edited by Linda Moy, M.D., New York University, New York, N.Y., and owned and published by the Radiological Society of North America, Inc. (https://pubs.rsna.org/journal/radiology)

    RSNA is an association of radiologists, radiation oncologists, medical physicists and related scientists promoting excellence in patient care and health care delivery through education, research, and technologic innovation. The Society is based in Oak Brook, Illinois. (RSNA.org)

    For patient-friendly information on chest X-ray, visit RadiologyInfo.org.

    Images (JPG, TIF):

    Figure 1. Flowchart for classification of chest X-rays with the AI tool. Posteroanterior and lateral images are processed to obtain the AI output; previous chest X-rays are not processed. X-rays are classified as either “high confidence normal” or “not high confidence normal,” corresponding to “normal” and “abnormal” in the main text. Autogenerated report = possible autonomous AI report as “normal chest radiograph.”
    High-res (TIF) version
    Figure 2. Flowchart of retrospective inclusion process.
    High-res (TIF) version
    Figure 3. Chart shows distribution of all chest X-ray (CXR) findings within the analyzed X-rays (n = 1529) according to abnormality subgroup. More than one finding can be present in individual patients.
    High-res (TIF) version
    Figure 4. Charts show numbers of posteroanterior chest X-rays correctly automated by the AI tool. ED = emergency department.
    High-res (TIF) version
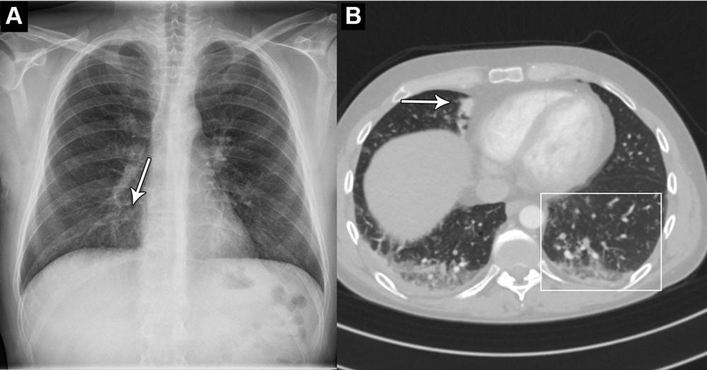
    Figure 5. Images in a 44-year-old man who presented with chest pain and dyspnea. (A) Chest X-ray shows very subtle nodular opacities, primarily in lower lobes, representative of pneumonia and a discrete silhouette sign of the right cardiac border (arrow). The AI system interpreted this chest X-ray as normal. It was also interpreted as normal in the clinical radiology report. (B) CT scan shows the lower lobe airspace opacities with vague tree-in-bud morphology (box) and an area of consolidation (arrow). Pulmonary angiography was performed 5 hours after X-ray. This was the sole false-negative “critical” finding by the AI tool.
    High-res (TIF) version
    Figure 6. Four examples (out of a total of nine) of X-rays classified as “abnormal, unremarkable” by the reference standard (provided independently by two board-certified thoracic radiologists, with a third radiologist in cases of disagreement) but as normal by the AI tool. All X-rays show very subtle and unremarkable findings; these X-rays were all classified as normal by the clinical radiologic report as well. (A) X-ray in a 58-year-old woman with very discrete linear atelectasis in the lingula segment of the left upper lobe (arrow). (B) X-ray in a 61-year-old woman shows presence of a cervical rib on the right side (arrow). (C, D) Images in a 48-year-old woman (C) and 64-year-old woman (D) show very subtle degeneration in the spine with osteophytes in lower thoracic segments (arrow).
    High-res (TIF) version