RSNA Press Release

Steroid Injections Worsen Knee Arthritis

Released: November 29, 2022
RSNA Media Relations
1-630-590-7762
media@rsna.org
Linda Brooks
1-630-590-7738
lbrooks@rsna.org

At A Glance

  • Compared to patients who received an injection of hyaluronic acid or no treatment at all, patients injected with corticosteroids had significantly more knee osteoarthritis progression.
  • In one study, hyaluronic injections showed a decreased progression of knee arthritis, specifically in bone marrow lesions.
  • A second study found that patients who received corticosteroid injections had significantly more medial joint space narrowing.
  • CHICAGO — Two studies comparing injections commonly used to relieve the pain of knee osteoarthritis found that corticosteroid injections were associated with the progression of the disease. Results of both studies were presented today at the annual meeting of the Radiological Society of North America (RSNA).

    Upasana Upadhyay Bharadwaj, M.D.

    Upasana Upadhyay Bharadwaj, M.D.

    Osteoarthritis is the most common form of arthritis, affecting 32.5 million adults in the U.S. Knee osteoarthritis is a chronic, degenerative and progressive condition with an estimated incidence of 800,000 patients each year. More than 10% of patients with knee osteoarthritis seek noninvasive treatment for pain relief through corticosteroid or hyaluronic acid injections.

    Researchers in both studies chose cohorts from the Osteoarthritis Initiative, a multicenter, longitudinal, observational study of nearly 5,000 participants with knee osteoarthritis currently in its 14th year of follow-up.

    In the first study, researchers at the University of California, San Francisco included 210 Osteoarthritis Initiative participants, 70 of whom received intraarticular injections, and a control group of 140 who did not receive injections during a two-year period. Of the 70 patients who received injections, 44 were injected with corticosteroids, and 26 were injected with hyaluronic acid. The treatment and control groups were matched by age, sex, body mass index, pain and physical activity scores, and severity of disease.

    MRI was performed on all patients at the time of the injection and two years before and after. The MRI scans were assessed using whole-organ magnetic resonance imaging score (WORMS), a grading system for knee osteoarthritis that focuses on the meniscus, bone marrow lesions, cartilage, joint effusion and ligaments. The researchers identified osteoarthritis progression by comparing the imaging scores from the initial scans and two-year follow-up scans.

    “This is the first direct comparison of corticosteroid and hyaluronic acid injections using the semi-quantitative, whole organ assessment of the knee with MRI,” said Upasana Upadhyay Bharadwaj, M.D., a research fellow in the Department of Radiology at University of California, San Francisco.

    Statistical analysis showed that corticosteroid knee injections were significantly associated with the overall progression of osteoarthritis in the knee, specifically in the lateral meniscus, lateral cartilage and medial cartilage.

    Hyaluronic acid knee injections were not significantly associated with the progression of osteoarthritis in the knee. Compared to the control group, the group who received hyaluronic injections showed a decreased progression of osteoarthritis, specifically in bone marrow lesions.

    “While both corticosteroid and hyaluronic acid injections are reported to help with symptomatic pain relief for knee osteoarthritis, our results conclusively show that corticosteroids are associated with significant progression of knee osteoarthritis up to two years post-injection and must be administered with caution,” Dr. Upadhyay Bharadwaj said. “Hyaluronic acid, on the other hand, may slow down progression of knee osteoarthritis and alleviate long term effects while offering symptomatic relief.”

    In the second study, researchers at the Chicago Medical School of Rosalind Franklin University of Medicine and Science conducted a case-control study comparing the radiographic progression of osteoarthritis in patients who received injections of corticosteroids and hyaluronic acid.

    Azad Darbandi

    Azad Darbandi

    “While these injections provide some patients with short-term pain relief, the effects of the injections on the progression of the disease are unknown,” said researcher and medical student Azad Darbandi.

    Darbandi’s team selected a cohort of 150 patients with similar baseline characteristics from the Osteoarthritis Initiative database, including 50 patients who received corticosteroid injections, 50 who received hyaluronic acid injections, and 50 who were not injected over a 36-month time period. The groups were matched by sex, body mass index and X-ray findings.

    Patients underwent X-ray imaging of the knee at baseline and two years later. The researchers analyzed the X-ray imaging, including joint space narrowing, formation of bone spurs, and bone thickening around the knee cartilage.

    Compared to patients who received an injection of hyaluronic acid or no treatment at all, patients injected with corticosteroids had significantly more osteoarthritis progression, including medial joint space narrowing, a hallmark of the disease.

    “Even though imaging findings for all patients were similar at baseline, the imaging hallmarks of osteoarthritis were worse two years later in patients who received corticosteroid injections compared to patients who received hyaluronic acid injections or no treatment at all,” Darbandi said. “The results suggest that hyaluronic acid injections should be further explored for the management of knee osteoarthritis symptoms, and that steroid injections should be utilized with more caution.”

    “Knowing the long-term effects of these injections will help osteoarthritis patients and clinicians make more informed decisions for managing the disease and the pain it causes,” Dr. Upadhyay Bharadwaj added.

    Dr. Upadhyay Bharadwaj’s co-authors are Thomas Link, M.D., Ph.D., Zehra Akkaya, Gabby Joseph, John Lynch, Ph.D., and Paula Giesler. Darbandi’s co-authors are Sean Hormozian, Atefe Pooyan, M.D., Ehsan Alipour, M.D., Firoozeh Shomal Zadeh, M.D., Parham Pezeshk, M.D., and Majid Chalian, M.D.

    Note: Copies of RSNA 2022 news releases and electronic images will be available online at RSNA.org/press22.

    RSNA is an association of radiologists, radiation oncologists, medical physicists and related scientists promoting excellence in patient care and health care delivery through education, research and technologic innovation. The Society is based in Oak Brook, Illinois. (RSNA.org)

    Editor’s note: The data in these releases may differ from those in the published abstract and those actually presented at the meeting, as researchers continue to update their data right up until the meeting. To ensure you are using the most up-to-date information, please call the RSNA Newsroom at 1-312-791-6610.

    For patient-friendly information on musculoskeletal imaging, visit RadiologyInfo.org.

    Video (MP4):

    Video 1. Dr. Upasana Upadhyay Bharadwaj discusses her research on how steroid injections may worsen knee arthritis.
    Download

    Images (JPG, TIF):

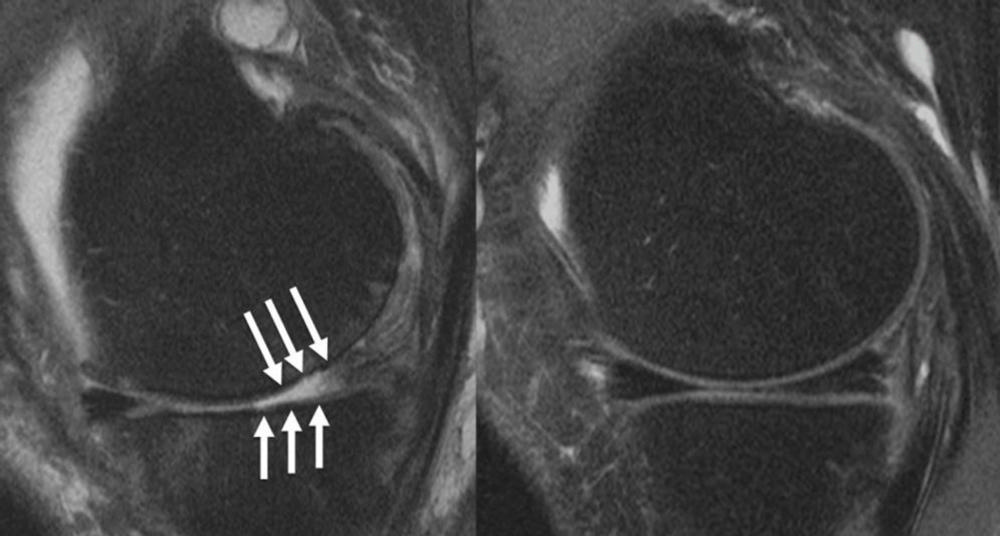
    Figure 1. Knee joint of a patient showing (A) severe cartilage defects and (B) intact knee joint.
    High-res (TIF) version
    Figure 2. Timeline of steroid and hyaluronic acid injections in matched subjects. Patients were matched at baseline (month 0). Treatment period was between month 0 and month 36. Exclusion was applied from month 36 to month 48. Imaging outcomes were analyzed at month 48.
    High-res (TIF) version