RSNA Press Release

Lung Damage May Persist Long After COVID-19 Pneumonia

Released: March 29, 2022
RSNA Media Relations
1-630-590-7762
media@rsna.org
Linda Brooks
1-630-590-7738
lbrooks@rsna.org

At A Glance

  • A new study found lung damage in in a select group of patients one year after they had COVID-19 pneumonia.
  • The observed chest CT abnormalities are indicative of damaged lung tissue.
  • Age over 60 years, critical COVID-19 severity and male gender were associated with persistent CT abnormalities at one year.
  • OAK BROOK, Ill. (March 29, 2022) — Some people recovering from COVID-19 pneumonia have CT evidence of damage to their lungs that persists a full year after the onset of symptoms, according to a new study published in the journal Radiology.

    Left to right: Gerlig Widmann, M.D., Anna Luger, M.D., Christoph Schwabl, M.D., Leonhard Gruber, M.D.

    Left to right:
    Gerlig Widmann, M.D., Anna Luger, M.D., Christoph Schwabl, M.D., Leonhard Gruber, M.D.

    The COVID-19 pandemic, caused by the novel severe acute respiratory syndrome coronavirus type 2 (SARS-CoV-2), has considerably increased the demand for acute and post-acute healthcare worldwide.

    COVID-19’s short-term effects on the lungs, such as pneumonia, are well documented. Much less is known about the illness’ long-term effects on the lungs.

    As part of an Austria-based observational study on the development of lung disease in patients with SARS-CoV-2 infection, researchers looked at patterns and rates of improvement of chest CT abnormalities in patients one year after COVID-19 pneumonia. CT has been an important imaging tool in the workup of patients suspected of having COVID-19.

    The researchers assessed lung abnormalities on chest CT in 91 participants, mean age 59 years, at several points over one year after the onset of COVID-19 symptoms.

    At one year, CT abnormalities were present in 49, or 54%, of the 91 participants. Of these 49 participants, two (4%) had received outpatient treatment only, while 25 (51%) were treated on a general hospital ward and 22 (45%) had received intensive care unit (ICU) treatment.

    “The observed chest CT abnormalities from our study are indicative of damaged lung tissue,” said study co-author Anna Luger, M.D., from the Department of Radiology at Innsbruck Medical University in Innsbruck, Austria. “However, it is currently unclear if they represent persistent scarring, and whether they regress over time or lead to pulmonary fibrosis.”

    While CT abnormalities decreased in initial follow-ups, 63% of participants with abnormalities did not show any further improvement after six months. Age over 60 years, critical COVID-19 severity and male gender were associated with persistent CT abnormalities at one year.

    Evidence from the SARS-CoV-1 outbreak of 2002 to 2004 shows that lung abnormalities may remain detectable even after decades, but do not show any progression, according to study co-author Leonhard Gruber, M.D., from the Department of Radiology at Innsbruck Medical University. Recent studies, though, have shown a risk of progression of lung abnormalities such as the ones depicted on CT.

    “In a recently published clinical study of our CovILD interdisciplinary working group, we were able to show that the severity of acute COVID-19, protracted systemic inflammation and the presence of residual chest CT abnormalities are strongly related to persistently impaired lung function and clinical symptoms,” said study co-author Christoph Schwabl, M.D., from Innsbruck Medical University.

    The study underscores radiology’s role in helping identify patients at risk for post-COVID-19 consequences and assisting in COVID-19 follow-up management.

    “In the end, long-term follow-up, both clinical and radiological, is necessary to gather more information about the course and clinical role of persisting SARS-CoV-2 related chest CT abnormalities,” said study senior author Gerlig Widmann, M.D., chief thoracic radiologist at Innsbruck Medical University.

    The researchers intend to continue gathering data on patients with persistent CT abnormalities.

    “Chest CT of Lung Injury 1 Year after COVID-19 Pneumonia: The CovILD Study.” Also collaborating on the study were Thomas Sonnweber, Katharina Cima, Piotr Tymoszuk, Anna K. Gerstner, Alex Pizzini, Sabina Sahanic, Anna Boehm, Maximilian Coen, Carola J. Strolz, Ewald Wöll, Günter Weiss, Rudolf Kirchmair, Gudrun M. Feuchtner, M.D., Helmut Prosch, M.D., Ivan Tancevski, and Judith Löffler-Ragg.

    Radiology is edited by David A. Bluemke, M.D., Ph.D., University of Wisconsin School of Medicine and Public Health, Madison, Wisconsin, and owned and published by the Radiological Society of North America, Inc. (https://pubs.rsna.org/journal/radiology)

    RSNA is an association of radiologists, radiation oncologists, medical physicists and related scientists promoting excellence in patient care and health care delivery through education, research and technologic innovation. The Society is based in Oak Brook, Illinois. (RSNA.org)

    For patient-friendly information on CT, visit RadiologyInfo.org.

    Images (JPG, TIF):

    Figure 1. Study Flow chart.
    High-res (TIF) version
    Figure 2. Non-contrast axial and sagittal chest CTs corresponding to the CT severity score. (A) 1: minimal (subtle GGO, very few findings): CT shows subtle subpleural GGO (arrow) in the right and left lower lobe. (B) 2: low (several GGO, subtle reticulation): CT shows several subpleural GGO and superimposed reticulation (arrow) in the right and left lower lobe and left upper lobe. (C) 3: moderate (multiple GGO, reticulation, small consolidation): CT shows multiple GGO in all lobes. (D) 4: marked (extensive GGO, consolidation, reticulation with distortion): CT shows extensive subpleural GGO, and consolidations (arrow) in the dependent lung. (E) 5: massive (massive findings, parenchymal destructions*): CT shows massive consolidations in the dependent lung areas as well as extensive GGO in the upper lobes. *Parenchymal destruction includes pneumatocele, cavitation or abscess formation. GGO= ground-glass opacities.
    High-res (TIF) version
    Figure 3. Risk of developing persistent CT abnormalities at the one-year follow-up visit. (A) Univariable analysis. Risk factors of developing any lung CT abnormalities at the 1-year follow-up visit were identified by logistic regression. Odds ratio (OR) significance was determined by Wald Z test. OR and with 95% confidence intervals (CI) are presented in a Forest plot. Numbers of complete observations and the reference levels of the explanatory variables are indicated in the Y axis. (B) Multivariable analysis. Independent risk factors of lung CT abnormalities were identified by multi-parameter logistic regression with backward elimination. OR significance was determined by Wald Z test. Model prediction was verified by 20-fold cross-validation (CV) and receiver-operating characteristic (ROC). OR with 95% CI are presented in a Forest plot. Numbers of complete observations and the reference levels of the explanatory variables are indicated in the Y axis. Orange: positive correlation, blue: negative correlation, gray: not significant or reference. BMI: body mass index, ref.: reference.
    High-res (TIF) version
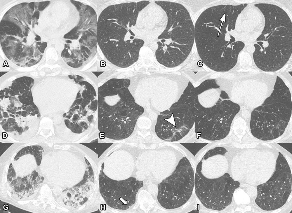
    Figure 4. Serial non-contrast axial chest CTs of three study participants with prior COVID-19 pneumonia. Chest CT of a 44-year-old man (upper row, A-C) displayed extensive bilateral GGO and supleural reticulation during acute COVID-19 (A). At the 2-month follow-up almost complete resolution of GGO with residual subpleural reticulation in the middle lobe was noted (B). These subpleural reticulations (arrow) persisted up to one year after onset (C). Chest CT of a 68-year-old-man (middle row, D-F) demonstrated patchy bilateral consolidations, a subpleural arcade-like sign and pleural effusions during active infection (D). At the 2-month follow-up, a substantial improvement of OP pattern was noted with GGO and subpleural reticulation including arcade-like sign (arrowhead) in the left lower lobe (E). At the 1-year follow-up, further improvement was noticed. However, subtle reticulation and GGO could still be detected (F). Chest CT of a 79-year-old man (lower row, G-I) displayed bilateral consolidations and small areas of GGO while admitted to the ICU (G). At the 2-month follow-up, residual GGO and small subpleural microcystic changes (thick arrow) were noticed (H), which persisted up to 1 year after onset (I).
    High-res (TIF) version
    Figure 5. Change in CT severity score (CTSS) over time. CTSS kinetic at the consecutive time points was investigated by Friedman test (grouping by the individual) in the entire cohort and the acute COVID-19 severity subsets. The effect size was determined by Kendall W test, differences between particular time points were compared by paired Wilcoxon test. Plots display individual CTSS value trajectories as thin gray lines, thick colored lines represent medians, interquartile ranges are presented as colored regions. p values of the Friedman test and the Kendall W statistic are presented in the plot captions. Numbers of individuals with the complete set of consecutive CT scans are shown under the plots.
    High-res (TIF) version