RSNA Press Release

Blast Exposure Linked to Brain Aneurysms in U.S. Special Operations Forces

Released: April 14, 2026
RSNA Media Relations
1-630-590-7762
media@rsna.org
Linda Brooks
1-630-590-7738
lbrooks@rsna.org
Evonne Acevedo
1-630-368-7886
eacevedo@rsna.org

OAK BROOK, Ill. – In a large sample of United States (U.S.) Special Operations Forces personnel, researchers found that a higher prevalence of intracranial aneurysms were independently associated with greater repeated blast exposure. Results of the study were published today in Radiology, a journal of the Radiological Society of North America (RSNA). 

Special Operations Forces are elite, highly trained military units designed for clandestine, high-risk and time-sensitive missions beyond the capability of conventional forces. Controlled by U.S. Special Operations Command, these units specialize in unconventional warfare, direct action, counterterrorism and reconnaissance. These units include the Green Berets, 75th Ranger Regiment, Navy SEALs and the Marine Forces Special Operations Command, among others.

Blast exposure is common in military service, yet its long-term effects on the brain remain poorly understood. Researchers looked to determine the prevalence of structural brain MRI abnormalities in Special Operations Forces personnel and examine their association with cumulative blast exposure.

“This study is the first to examine the relationship between cumulative blast exposure and structural brain MRI findings in a large group of U.S. Special Operations Forces,” said lead author Sara De Giorgi, M.D., radiologist and postdoctoral research fellow in neuroradiology at Massachusetts General Hospital in Boston. “We found that intracranial aneurysms were more common in individuals with higher blast exposure.” 

For the study, 564 U.S. Special Operations Forces personnel (mean age 43 years, 563 men) were evaluated in the Comprehensive Brain Health and Trauma Program. All underwent 3T brain MRI with time-of-flight MR angiography (MRA). Imaging findings were extracted from structured neuroradiology reports. Blast exposure was quantified using the Generalized Blast Exposure Value—a numerical score that measures the cumulative impact of repeated low-intensity blasts (e.g., from training). 

“By using a quantitative measure of blast exposure, we were able to identify this association in a population where many MRI findings are often nonspecific and difficult to interpret,” Dr. De Giorgi said.

The most prevalent MRI finding was white matter hyperintensities (215/564, 38.1%), followed by intracranial aneurysms (33/564, 5.9%). Among all evaluated MRI findings, only intracranial aneurysms were associated with cumulative blast exposure. No association was observed for other structural abnormalities, including white matter hyperintensities. 

Aneurysm prevalence was greater in the high-exposure group (21/220, 9.5%) compared to the low-exposure group (6/220, 2.7%).

“Intracranial aneurysms were three times more common in highly exposed personnel,” Dr. De Giorgi said. “Even after accounting for other health factors such as age and blood pressure, the association remained significant. These findings suggest that repeated blast exposure may leave a measurable vascular signature in the brain.” 

The findings point to a possible long-term vascular effect of repeated low-level blast exposure during years of service.

“These vascular changes can be seen with routine MRI scans, making the findings directly relevant to everyday radiology practice,” Dr. De Georgi said. “Radiologists may use this information when interpreting brain MRIs in patients with a history of repeated blast exposure, helping identify possible vascular abnormalities, such as aneurysms. In addition, our preliminary results suggest that screening MRAs may be warranted in this population.” 

The injury pattern seen in the Special Forces population is very different from civilian trauma, Dr. De Giorgi added. 

“Instead of single, obvious injuries like car accidents or falls, these service members face years of low-level blast exposure from shockwaves that pass through the brain even when no external injury is visible,” she said. “This repeated, invisible trauma can leave lasting effects that only now we are beginning to detect with advanced imaging.”

“Brain MRI Analysis of Cumulative Blast Exposure and Intracranial Aneurysms in Special Operations Forces.” Collaborating with Dr. De Giorgi were Andrea Diociasi, M.D., Rehab N. Khalid, M.B.B.S., Quirin D. Strotzer, M.D., Phoebe Degn, B.A., Katelyn E. Rand, B.S., Seba Gabali, M.Sc., Ronald E. Hirschberg, M.D., Scott F. Sorg, Ph.D., Michael H. Lev, M.D., and Rajiv Gupta, M.D., Ph.D.

Radiology is edited by Suhny Abbara, M.D., FACR, MSCCT, Mayo Clinic, Jacksonville, Florida, and owned and published by the Radiological Society of North America, Inc. (https://pubs.rsna.org/journal/radiology)

RSNA is an association of radiologists, radiation oncologists, medical physicists and related scientists promoting excellence in patient care and health care delivery through education, research and technologic innovation. The Society is based in Oak Brook, Illinois. (RSNA.org)

For patient-friendly information on brain MRI, visit RadiologyInfo.org

Images (JPG, TIF):

Figure 1. Participant flowchart. A total of 629 special operations forces personnel were assessed for eligibility. Of these, 564 underwent 3-T brain MRI, including time-of-flight MR angiography, and were included in the analyses of structural lesion prevalence. A subset of 440 participants had available generalized blast exposure value (GBEV) data and were included in exposure-imaging association analyses. Participants were divided into high- and low-exposure groups. Aneurysm prevalence was compared between groups using Fisher exact test. Finally, 293 participants with complete covariate data were included in a multivariable logistic regression model to assess whether blast exposure was independently predictive of the presence of aneurysms.

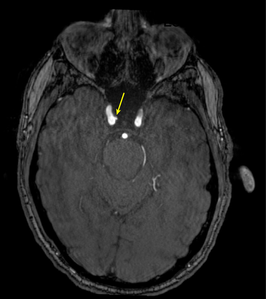
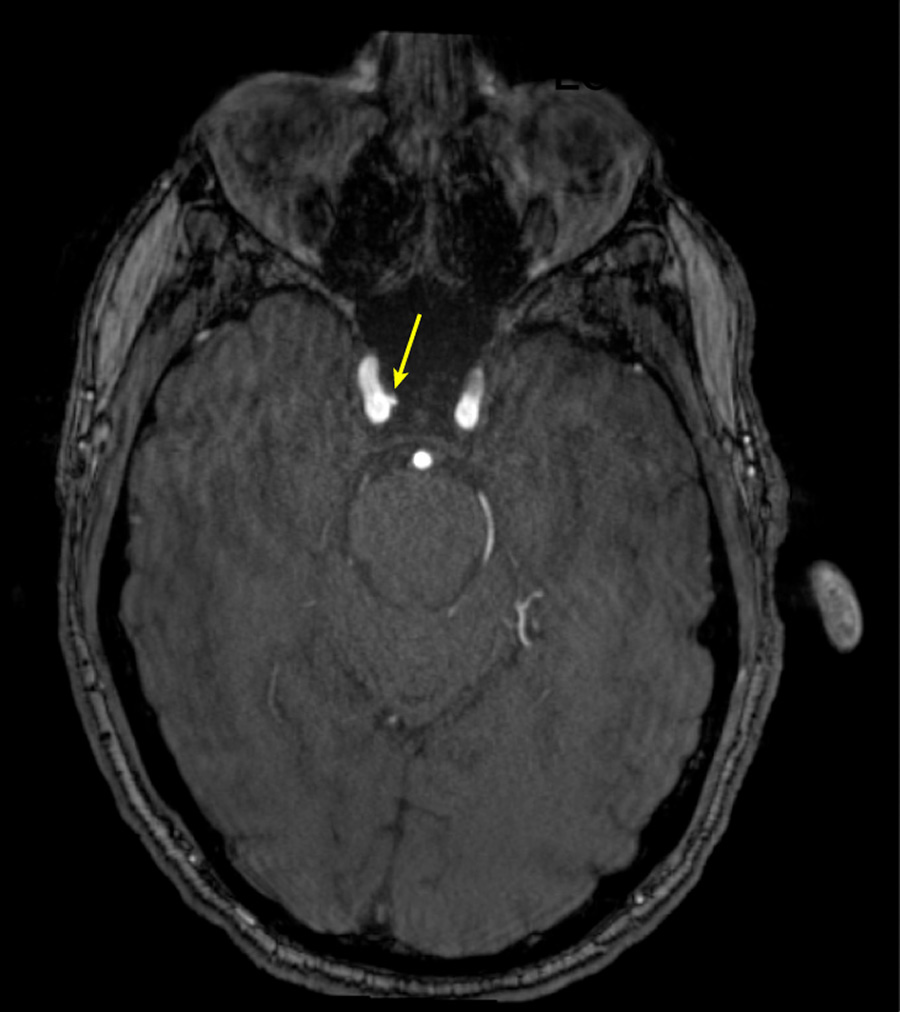
Figure 2. Representative axial time-of-flight MR angiography image in a 35-year-old male participant shows a medially projecting intracranial aneurysm (arrow) originating from the right cavernous segment of the internal carotid artery.
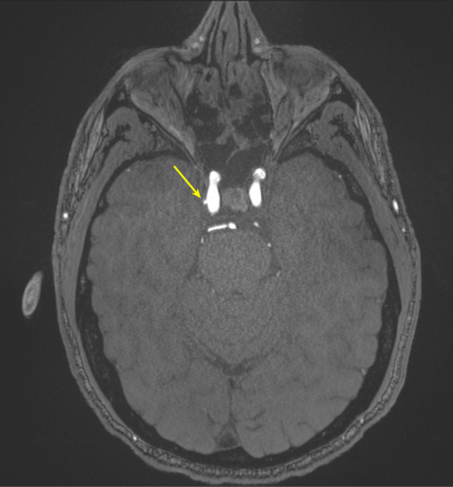
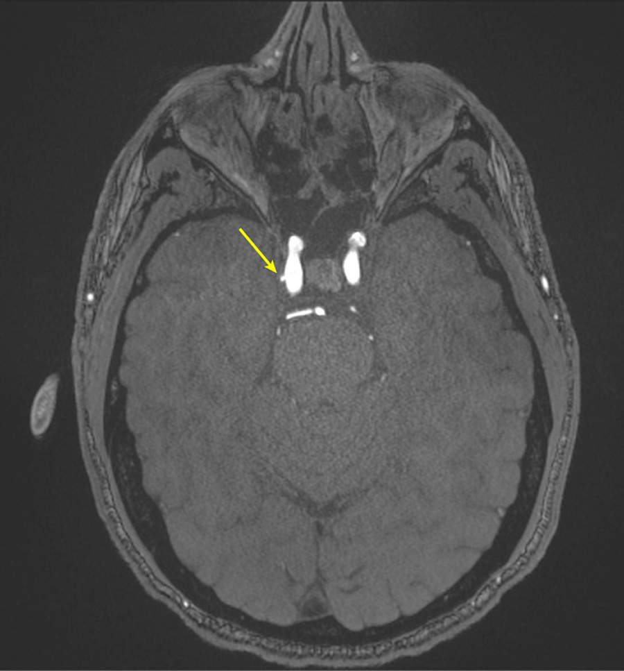
Figure 3. Representative axial time-of-flight MR angiography image in a 39-year-old male participant shows a laterally projecting intracranial aneurysm (arrow) originating from the right cavernous segment of the internal carotid artery.
Figure 4. Dot plot shows mean (circles) with 95% CIs (bars) and median (squares) log10(generalized blast exposure value [GBEV] + 1) values by aneurysm status. Participants with intracranial aneurysms had higher cumulative blast exposure than those without aneurysms.
Figure 5. Association between cumulative blast exposure and aneurysm presence. (A) Bar graph shows the aneurysm prevalence among participants with high versus low cumulative blast exposure, based on the sample median of log10(generalized blast exposure value [GBEV] + 1) = 6.55. Aneurysms were more frequent in the high-exposure group (9.5%; 21 of 220 participants) compared with the low-exposure group (2.7%; six of 220 participants). (B) Forest plot shows the odds ratio and relative risk for aneurysm presence in the high-exposure group compared with the low-exposure group. Estimates are presented with 95% CIs (horizontal bars). The vertical dashed line at x = 1 indicates the null effect.
Figure 6. Forest plot shows the odds ratios (dots) and 95% CIs (horizontal bars) for the predictors included in the logistic regression model. The vertical dashed line at odds ratio of 1 indicates the null effect. Higher cumulative blast exposure was the only independent predictor associated with the presence of aneurysms. BMI = body mass index.