RSNA Press Release

AI Detects First Imaging Biomarker of Chronic Stress 

Released: November 25, 2025
RSNA Media Relations
1-630-590-7762
media@rsna.org
Linda Brooks
1-630-590-7738
lbrooks@rsna.org
Evonne Acevedo
1-630-368-7886
eacevedo@rsna.org

At A Glance

  • Researchers have validated the first-of-its-kind biomarker of chronic stress detectable through routine chest CT.
  • Unlike single cortisol measurements, which provide a momentary snapshot of stress levels, adrenal volume reflects cumulative exposure to stress.
  • Chronic stress can contribute to the development of major illnesses, such as heart disease, depression and obesity. Increases in adrenal volume index were linked to greater risk of heart failure and mortality.
  • CHICAGO – Using a deep learning AI model, researchers identified the first-of-its-kind biomarker of chronic stress detectable through routine imaging, according to research being presented next week at the annual meeting of the Radiological Society of North America (RSNA). 

    Chronic stress can affect both physical and psychological well-being, causing a variety of problems including anxiety, insomnia, muscle pain, high blood pressure and a weakened immune system, according to the American Psychological Association. Research shows that chronic stress can contribute to the development of major illnesses, such as heart disease, depression and obesity.

    The study’s lead author, Elena Ghotbi, M.D., a postdoctoral research fellow at Johns Hopkins University School of Medicine in Baltimore, Maryland, developed and trained a deep learning model to measure adrenal gland volume on existing CT scans. 

    Each year, tens of millions of chest CT scans are performed in the United States alone.

    “Our approach leverages widely available imaging data and opens the door to large-scale evaluations of the biological impact of chronic stress across a range of conditions using existing chest CT scans,” Dr. Ghotbi said. “This AI-driven biomarker has the potential to enhance cardiovascular risk stratification and guide preventive care without additional testing or radiation.”

    Senior author Shadpour Demehri, M.D., professor of radiology at Johns Hopkins, said chronic stress is a prevalent condition or complaint that many adults deal with on a daily basis.

    “For the first time, we can ‘see’ the long-term burden of stress inside the body, using a scan that patients already get every day in hospitals across the country. Until now, we haven’t had a way to measure and quantify the cumulative effects of chronic stress, other than questionnaires, surrogate serum markers like chronic inflammation, and cortisol measurement, which is very cumbersome to obtain.” Dr. Demehri said. 

    Unlike single cortisol measurements, which provide a momentary snapshot of stress levels, adrenal volume acts like a biological barometer of chronic stress.

    In the study, the researchers obtained data on 2,842 participants (mean age 69.3; 51% women) from the Multi-Ethnic Study of Atherosclerosis, a comprehensive study combining chest CT scans, validated stress questionnaires, cortisol measures and markers of allostatic load—the cumulative physiological and psychological effects of chronic stress on the body. This rare integration of imaging, biochemical and psychosocial data made it the optimal, and likely only, cohort for developing an imaging biomarker of chronic stress.

    The researchers retrospectively applied their deep learning model to the CT scans to segment and calculate the volume of the adrenal glands. Adrenal Volume Index (AVI) was defined as volume (cm³) divided by height² (m²). Salivary cortisol was collected eight times per day over two days. Allostatic load was based on body mass index, creatinine, hemoglobin, albumin, glucose, white blood count, heart rate and blood pressure. 

    Statistical associations were assessed between AVI and cortisol, allostatic load, and psychosocial stress measures, including depression and perceived stress questionnaires. The researchers found that AI-derived AVI correlated with validated stress questionnaires, circulating cortisol levels and future adverse cardiovascular outcomes. 

    Higher AVI was associated with greater cortisol, peak cortisol and allostatic load. Participants with high perceived stress had higher AVI compared to those with low stress. AVI was also associated with a higher left ventricular mass index. Each 1 cm³/m² increase in AVI was linked to greater risk of heart failure and mortality. 

    “With up to 10-year follow-up data on our participants, we were able to correlate AI-derived AVI with clinically meaningful and relevant outcomes,” Dr. Ghotbi said. “This is the very first imaging marker of chronic stress that has been validated and shown to have an independent impact on a cardiovascular outcome, namely, heart failure.” 

    “For over three decades, we’ve known that chronic stress can wear down the body across multiple systems,” said Teresa E. Seeman, Ph.D., study co-author and professor of epidemiology at UCLA and a pioneering researcher in stress and health. “What makes this work so exciting is that it links a routinely obtained imaging feature, adrenal volume, with validated biological and psychological measures of stress and shows that it independently predicts a major clinical outcome. It’s a true step forward in operationalizing the cumulative impact of stress on health.”

    Dr. Demehri said that by linking an easily measurable imaging feature with multiple validated indicators of stress and downstream disease, this research introduces an entirely new, practical way to quantify chronic stress.

    “The key significance of this work is that this biomarker is obtainable from CTs that are performed widely in United States for various reasons,” Dr. Demehri said. “Secondly, it is a physiologically sound measure of adrenal volume, which is part of the chronic stress physiologic cascade.” 

    The researchers said the imaging biomarker could be used in a variety of diseases that are associated with chronic stress in middle-aged and older adults. 

    Other co-authors are Roham Hadidchi, Seyedhouman Seyedekrami, Quincy A. Hathaway, M.D., Ph.D., Michael Bancks, Nikhil Subhas, Matthew J. Budoff, M.D., David A. Bluemke, M.D., Ph.D., R. Graham Barr and Joao A.C. Lima, M.D.

    Note: Copies of RSNA 2025 news releases and electronic images will be available online at RSNA.org/press25

    RSNA is an association of radiologists, radiation oncologists, medical physicists and related scientists promoting excellence in patient care and health care delivery through education, research and technologic innovation. The Society is based in Oak Brook, Illinois. (RSNA.org)

    Editor’s note: The data in these releases may differ from those in the published abstract and those presented at the meeting, as researchers continue to update their data right up until the meeting. To ensure you are using the most up-to-date information, please call the RSNA Newsroom at 1-312-791-6610.

    For patient-friendly information on chest CT, visit RadiologyInfo.org

     

    Video (MP4):

    Elena Ghotbi, M.D., and Shadpour Demehri, M.D., discuss their research on how they used a deep learning AI model to identify the first-of-its-kind biomarker of chronic stress detectable through routine imaging. 
    Download
    B-roll
    Download

    Images (JPG, TIF):

    Elena Ghotbi, M.D., presenting her research at RSNA 2025.

    Infographic

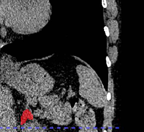
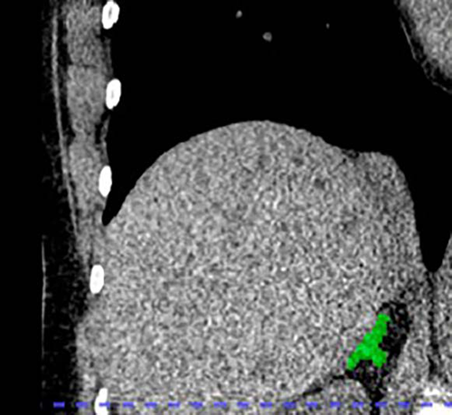
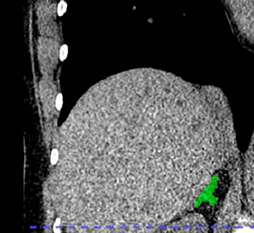
    Figure 1. Left and right adrenal automated 2D and 3D segmentation in chest CT.
    Figure 2. Left and right adrenal automated 3D segmentation in chest CT.
    Figure 3. Right adrenal automated 2D segmentation in chest CT.
    Figure 4. Left adrenal automated 2D segmentation in chest CT.