RSNA Press Release

Study Reveals Alarming Number of Invasive Breast Cancers in Younger Women 

Released: December 1, 2025
RSNA Media Relations
1-630-590-7762
media@rsna.org
Linda Brooks
1-630-590-7738
lbrooks@rsna.org
Evonne Acevedo
1-630-368-7886
eacevedo@rsna.org

At A Glance

  • In a new study, women between the ages of 18 and 49 accounted for 20-24% of all breast cancers diagnosed from 2014 to 2024 at a large community imaging practice in New York.
  • Of the 1,799 breast cancers diagnosed in women aged 18 to 49, 80.7% were invasive.
  • Breast cancer in younger women is not rare, and when it does occur, it is often more serious.
  • CHICAGO – A study of data from seven outpatient facilities in the New York region found that 20-24% of all the breast cancers diagnosed during an 11-year period were found in women age 18 to 49, according to research being presented today at the annual meeting of the Radiological Society of North America (RSNA).  

    “This research shows that a significant proportion of cancers are diagnosed in women under 40, a group for whom there are no screening guidelines at this time,” said Stamatia Destounis, M.D., radiologist Elizabeth Wende Breast Care (EWBC) in Rochester, New York. “Consideration must be given by physicians caring for women in this age group to performing risk assessment in order to identify those who may benefit from more intensive screening due to being higher risk.”

    Emerging national trends highlight a rising incidence of breast cancer in younger women, prompting re-evaluation of age-based screening thresholds and risk stratification strategies.

    For average-risk women, the U.S. Preventive Services Task Force recommends mammography
    screening every other year starting at age 40 and continuing through age 74. The American Cancer Society advises starting annual screening mammograms by age 45, with the choice to start between ages 40 to 44. Women who are at high risk for breast cancer based on certain factors could benefit from a breast MRI and a mammogram every year, typically starting at age 30, but there currently are no guidelines in place for younger women.

    Dr. Destounis, along with her colleague Andrea L. Arieno, B.S., research manager at EWBC, sought to identify cancers diagnosed from 2014 through 2024 in a community practice consisting of seven outpatient facilities over a 200-mile radius in the Western New York region. They identified all breast cancers in the 18 to 49 age group and collected information from clinical imaging reports.  

    “We specifically collected details on how the cancer was found (screening or diagnostic), the type of cancer and other tumor characteristics,” Dr. Destounis said. “We excluded cases that were not primary breast cancer. We analyzed trends over time by age subgroups, detection method and tumor biology. This helped us to identify how breast cancer presents in this patient population, how frequently it occurs and the types of tumors found.” 

    A total of 1,799 breast cancers were diagnosed in 1,290 women, aged 18 to 49. Annual breast cancer diagnoses in this group ranged from 145 to 196, with a mean age at diagnosis of 42.6 years (range 23-49). Of these, 731 (41%) were detected on screening and 1,068 (59%) on diagnostic evaluation. There were 1,451 invasive cancer cases (80.7%), and 347 (19.3%) non-invasive cancer cases. 

    “Most of these cancers were invasive, meaning they could spread beyond the breast, and many were aggressive types—especially in women under 40,” Dr. Destounis said. “Some were ‘triple-negative,’ a form of breast cancer that is harder to treat because it doesn’t respond to common hormone-based therapies.”

    Even though women under 50 made up 21% to 25% of the patients that were screened yearly, they consistently accounted for one out of every four breast cancers found each year.

    “This is striking because it shows that younger women not only carry a stable and substantial share of the breast cancer burden, but their tumors are often biologically aggressive,” she said. “That combination—steady incidence plus disproportionately aggressive biology—directly challenges age-based screening cutoffs and strengthens the case for earlier, risk-tailored screening approaches.”

    Dr. Destounis noted that an important factor about the research is that the numbers stayed remarkably stable over the study period, even though fewer young women may have been seen overall, the absolute number of breast cancers in this group did not decrease. 

    “That means this problem is not going away,” she said. “It is here to stay and needs to be addressed on a larger scale. Research such as this supports earlier and tailored screening to allow for earlier detection and better treatment outcomes. This data reinforces that women under 50, especially those under 40, shouldn’t be seen as ‘low risk’ by default and can absolutely benefit from risk assessment being performed as early as possible.”

    Dr. Destounis cautioned that younger patients should be informed to be aware of changes in their breasts and to start screening in certain cases.

    “Those with a strong family history or genetic mutation, as well as certain minorities and ethnic backgrounds, are at higher risk for breast cancer at a younger age,” she said.

    Dr. Destounis emphasized that the biggest takeaway of the study is that breast cancer in younger women is not rare, and when it does occur, it is often more serious. 

    “We can’t rely only on age alone to decide who should be screened,” she said. “Paying closer attention to personal and family history, and possibly screening earlier for some women, could help detect these cancers sooner.”

    Note: Copies of RSNA 2025 news releases and electronic images will be available online at RSNA.org/press25

    RSNA is an association of radiologists, radiation oncologists, medical physicists and related scientists promoting excellence in patient care and health care delivery through education, research and technologic innovation. The Society is based in Oak Brook, Illinois. (RSNA.org)

    Editor’s note: The data in these releases may differ from those in the published abstract and those presented at the meeting, as researchers continue to update their data right up until the meeting. To ensure you are using the most up-to-date information, please call the RSNA Newsroom at 1-312-791-6610.

    For patient-friendly information on breast cancer screening, visit RadiologyInfo.org

     

    Video (MP4):

    B-Roll
    Download
    Video 1. Woman with radiologic technologist during screening mammography exam.
    Download
    Video 2. Radiologic technologist capturing mammography images.
    Download
    Video 3. Stamatia Destounis, M.D., discusses her research on data from seven outpatient facilities in the New York region that found that 20-24% of all the breast cancer diagnosed during an 11-year period were found in women between the ages of 18 and 49.  
    Download

    Images (JPG, TIF):

    Stamatia Destounis, M.D., presenting her research at RSNA 2025.

    Infographic

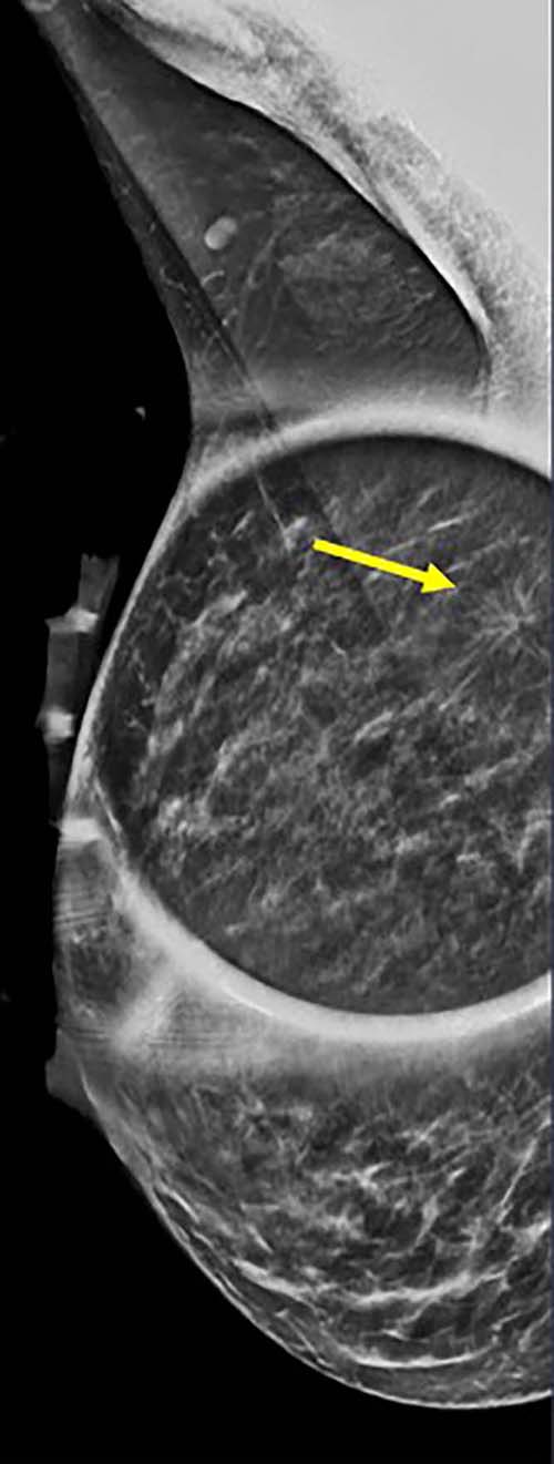
    Figure 1. 40-year-old patient presents for routine screening. Family history of paternal grandmother age 55. Extremely dense breast tissue is noted on mammography right and left craniocaudal (taken from the top of the breast) view.
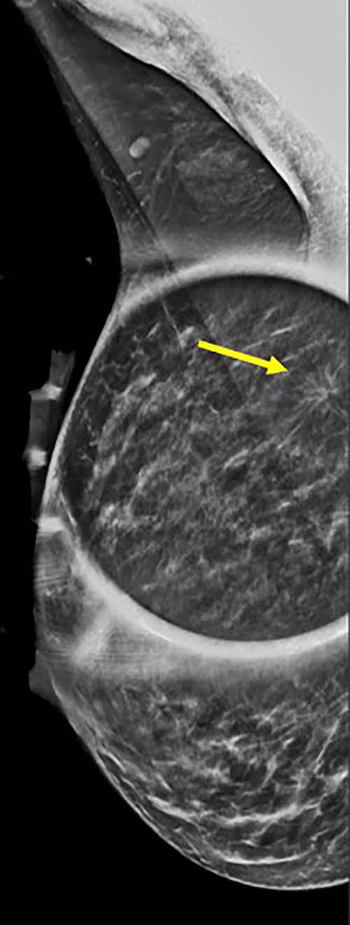
    Figure 2. 40-year-old patient presents for routine screening. Family history of paternal grandmother age 55. Extremely dense breast tissue is noted on mammography right and left mediolateral oblique (side angle) view. In addition, an area of architectural distortion is seen at the posterior right breast on right view (see arrow).
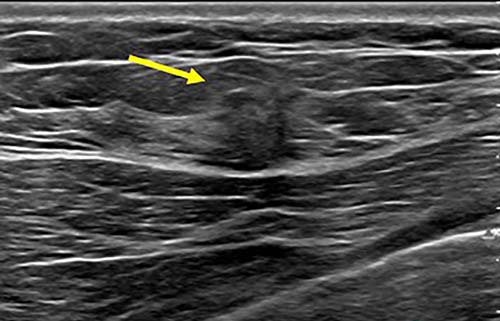
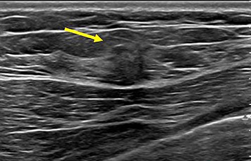
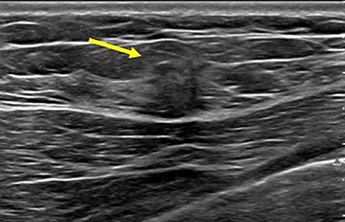
    Figure 3. Spot on right mediolateral oblique (side angle) view. Area of distortion persists on additional mammographic views, and a mass is identified on subsequent breast ultrasound. Ultrasound guided biopsy was performed and revealed nuclear grade 1 invasive ductal carcinoma.
    Figure 4. Breast ultrasound image. Area of distortion persisted on additional mammographic views, and a mass is identified on subsequent breast ultrasound. Ultrasound guided biopsy was performed and revealed nuclear grade 1 invasive ductal carcinoma.