RSNA Press Release

More Muscle, Less Belly Fat Slows Brain Aging

Released: November 24, 2025
RSNA Media Relations
1-630-590-7762
media@rsna.org
Linda Brooks
1-630-590-7738
lbrooks@rsna.org
Evonne Acevedo
1-630-368-7886
eacevedo@rsna.org

At A Glance

  • A specific body profile—higher muscle mass with a lower visceral fat to muscle ratio—tracks with a younger brain age.
  • Muscle mass, as measured by MRI, can be a surrogate marker for various interventions to reduce frailty and improve brain health.
  • Subcutaneous fat showed no significant association with brain age.
  • CHICAGO – Researchers have found that a specific body profile—higher muscle mass combined with a lower visceral fat to muscle ratio—tracks with a younger brain age, according to a study being presented next week at the annual meeting of the Radiological Society of North America (RSNA). Visceral fat is hidden deep within the abdominal cavity, surrounding vital internal organs.

    “Healthier bodies with more muscle mass and less hidden belly fat are more likely to have healthier, youthful brains,” said senior study author Cyrus Raji, M.D., Ph.D., associate professor of radiology and neurology in the Department of Radiology at Mallinckrodt Institute of Radiology at Washington University School of Medicine in St. Louis, Missouri. “Better brain health, in turn, lowers the risk for future brain diseases, such as Alzheimer’s.” 

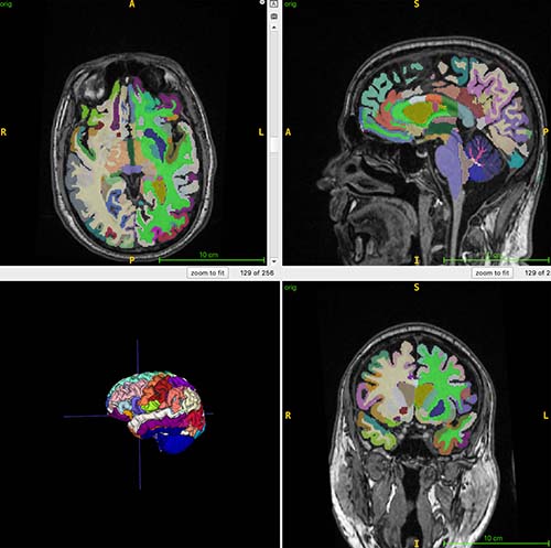
    Brain age is the computational estimation of chronological age from a structural MRI scan of the brain. Muscle mass, as tracked by body MRI, can be a surrogate marker for various interventions to reduce frailty and improve brain health, and brain age predicted by structural brain images can lend insight to Alzheimer’s disease risk factors, such as muscle loss.

    While it is commonly known that chronological aging translates to loss of muscle mass and increased hidden belly fat, this work shows that these health measures relate to brain aging itself,” Dr. Raji said. “It shows muscle and fat mass quantified in the body are key reflectors of brain health, as tracked with brain aging.”

    For the ongoing study, 1,164 healthy individuals (52% women) from four sites were examined with whole-body MRI. The mean chronological age of the participants was 55.17 years. The researchers combined MRI imaging with T1-weighted sequences, a technique that produces images where fat appears bright and fluid appears dark. This allows for optimal imaging of muscle, fat and brain tissue. An artificial intelligence (AI) algorithm was used to quantify total normalized muscle volume, visceral fat (hidden belly fat), subcutaneous fat (fat under the skin) and brain age. 

    The researchers found that a higher visceral fat to muscle ratio was associated with higher brain age, while subcutaneous fat showed no significant association with brain age. 

    “The participants with more muscle tended to have younger-looking brains, while those with more hidden belly fat relative to their muscle had older-looking brains,” Dr. Raji said. “The fat just under the skin wasn’t related to brain aging. In short, more muscle and a lower visceral fat to muscle ratio were linked to a younger brain.”

    Building muscle and reducing visceral fat are actionable goals, he added. Whole-body MRI and AI brain-age estimates provide objective endpoints to design and monitor interventions, including programs or therapies under study that lower visceral fat while preserving muscle.

    Dr. Raji noted that this work demonstrates how body and brain health are closely linked. 

    “This research has validated widely held hypotheses about the association between body composition biomarkers and brain health and provides a foundation for those biomarkers to be included in future trials of various metabolic interventions and treatments,” he said.

    While widely prescribed glucagon-like peptide-1 (GLP-1) weight loss drugs, such as Ozempic, are powerful at inducing fat loss, they may also be related to a higher burden of muscle loss. According to Dr. Raji, the findings of this study could inform the design of future therapeutics, such as GLP-1 medications that target visceral fat more than subcutaneous fat and minimize muscle loss.

    “Losing fat—especially visceral fat—while preserving muscle volume would have the best benefit on brain aging and brain health based on insights from our work,” he said. “Thus, our study can inform future treatments by promoting research that quantifies MRI of body fat, muscle and brain age, which can help determine the optimal dosing regimens for GLP-1s to achieve the best outcomes in body and brain health.” 

    Co-authors are Somayeh Meysami, M.D., Soojin Lee, Ph.D., Saurabh Garg, M.Sc., Nasrin Akbari, M.Sc., Rodrigo Solis Pompa M.D., M.H.Sc., Ahmed Gouda, M.Sc., Thanh Duc Nguyen, Ph.D., Saqib Abdullah Basar, M.B.B.S., M.P.H., Yosef G. Chodakiewitz, M.D., David A. Merrill, M.D., Ph.D., Alex Exuzides, Ph.D., M.D., Amar P. Patel, M.D., Daniel J. Durand, M.D., M.B.A., and Sam Hashemi, M.Sc. 

    Note: Copies of RSNA 2025 news releases and electronic images will be available online at RSNA.org/press25

    RSNA is an association of radiologists, radiation oncologists, medical physicists and related scientists promoting excellence in patient care and health care delivery through education, research and technologic innovation. The Society is based in Oak Brook, Illinois. (RSNA.org)

    Editor’s note: The data in these releases may differ from those in the published abstract and those presented at the meeting, as researchers continue to update their data right up until the meeting. To ensure you are using the most up-to-date information, please call the RSNA Newsroom at 1-312-791-6610.

    For patient-friendly information on MRI, visit RadiologyInfo.org

    Video (MP4):

    Video 1: Body MRI shows the results of the AI approach in a de-identified research participant with color-coded segmented muscle and fat metrics that allowed study investigators to compute visceral fat and total muscle volume across the entire study. Light green color on this video is subcutaneous fat, yellow is visceral fat, brown are the thigh muscles, purple are the psoas muscles, and dark green are the gluteal muscles.
    Download
    Video 2. Raji Cyrus, M.D., Ph.D., discusses his research findings that higher muscle mass combined with a lower visceral fat to muscle ratio tracks with a younger brain age.
    Download

    Images (JPG, TIF):

    Infographic

    Figure 1: Info snapshot summarizing key study results.

    Figure 2: This color-coded brain figure shows an example of segmented regional volumes obtained from the 3D T1 volumetric MRI scans used for the artificial intelligence (AI) computations of brain age used in this study.