RSNA Press Release

Photon-Counting CT Shows More Post-COVID-19 Lung Damage

Released: November 29, 2022
RSNA Media Relations
1-630-590-7762
media@rsna.org
Linda Brooks
1-630-590-7738
lbrooks@rsna.org

At A Glance

  • New CT technology outperforms conventional CT in detecting subtle damage in the lungs of patients with persistent symptoms of COVID-19.
  • Photon-counting detector CT has emerged in the last decade as a promising imaging tool.
  • Bronchiolectasis—damage to the airways that can cause difficulties in clearing mucus from the lungs—was the most common abnormality found.
  • OAK BROOK, Ill. — New CT technology outperforms conventional CT in detecting subtle damage in the lungs of patients with persistent symptoms of COVID-19, according to a new study published in Radiology, a journal of the Radiological Society of North America (RSNA). The technology could lead the way to earlier treatment and better outcomes for the growing number of people with COVID-related lung damage, researchers said.

    Photon-counting detector (PCD) CT has emerged in the last decade as a promising imaging tool. It works by converting X-ray photons directly into an electrical signal. This avoids the intermediate step of conversion by means of a photodiode found in conventional CT scanners that use energy-integrating detectors. The result significantly reduces energy and signal loss at the detector site.

    While PCD CT is not yet widely available, it has shown promise in the research setting.

    "Previous studies have highlighted the advantages of PCD CT in other fields of radiology, such as cardiovascular and head-and-neck imaging, delivered by ultra-high resolution, improved image quality and, subsequently, higher diagnostic confidence of the reader," said study senior author Benedikt Heidinger, M.D., from the Department of Biomedical Imaging and Image-guided Therapy at the Medical University of Vienna in Vienna, Austria.

    Dr. Heidinger and colleagues studied PCD CT's potential as a method for imaging the lungs of people with persistent symptoms after COVID-19. They compared PCD CT with conventional CT in 20 adults, mean age 54 years. The participants had one or more COVID-19-related persisting symptoms, such as cough and fatigue.

    Conventional CT showed post-COVID-19 lung abnormalities in 15 of 20 (75%) participants. PCD CT revealed additional lung abnormalities in half of the participants. The most common abnormality found by PCD CT was bronchiolectasis, damage to the airways that can cause difficulties in clearing mucus from the lungs.

    "In our study investigating lung abnormalities in symptomatic post-COVID patients, we were able to detect subtle lung abnormalities in 10 of 20 participants using PCD CT that were not seen in conventional CT," Dr. Heidinger said. "Moreover, PCD CT has potential in decreasing radiation dose and in artifact reduction, representing direct benefits to patients."

    PCD CT's ability to detect these subtle lung abnormalities is especially important, Dr. Heidinger said, because patients with persistent symptoms following COVID-19 can develop irreversible lung damage known as lung fibrosis. Conventional CT is one of the primary methods for detecting and diagnosing lung fibrosis, but it can miss the subtle abnormalities indicative of early-stage fibrosis.

    "PCD CT may help to identify earlier and more effectively post-COVID patients at risk for developing lung fibrosis, and, hopefully, allow for timely treatment allocation, such as pulmonary rehabilitation, in the future," Dr. Heidinger said.

    The more accurate estimation of the severity of lung abnormalities afforded by PCD CT could also benefit lung disease monitoring and treatment response evaluation.

    "Future trials including clinical outcomes such as quality of life, pulmonary function testing and histology will reveal the true benefit of this exciting new detector technology," Dr. Heidinger said.

    "Detection of Post-COVID-19 Lung Abnormalities: Photon-counting CT versus Same-day Energy-integrating Detector CT." Collaborating with Dr. Heidinger were Florian Prayer, M.D., Ph.D., Patric Kienast, M.D., Andreas Strassl, B.Sc., M.Sc., Philipp T. Moser, M.D., Ph.D., Dominik Bernitzky, M.D., Christopher Milacek, M.D., Mariann Gyöngyösi, M.D., Daria Kifjak, M.D., Sebastian Röhrich, M.D., Ph.D., Lucian Beer, M.D., Ph.D., Martin L. Watzenboeck, M.D., Ruxandra I. Milos, M.D., Christian Wassipaul, Mag. M.D., Daniela Gompelmann, M.D., Christian J. Herold, M.D., and Helmut Prosch, M.D.

    Radiology is edited by David A. Bluemke, M.D., Ph.D., University of Wisconsin School of Medicine and Public Health, Madison, Wisconsin, and owned and published by the Radiological Society of North America, Inc. (https://pubs.rsna.org/journal/radiology)

    RSNA is an association of radiologists, radiation oncologists, medical physicists and related scientists promoting excellence in patient care and health care delivery through education, research and technologic innovation. The Society is based in Oak Brook, Illinois. (RSNA.org)

    For patient-friendly information on chest CT, visit RadiologyInfo.org.

    Images (JPG, TIF):

    Figure 1. Flow chart of included and excluded individuals with persistent symptoms after COVID-19; PCR polymerase chain reaction; SARS-CoV2 severe acute respiratory syndrome coronavirus 2.
    High-res (TIF) version
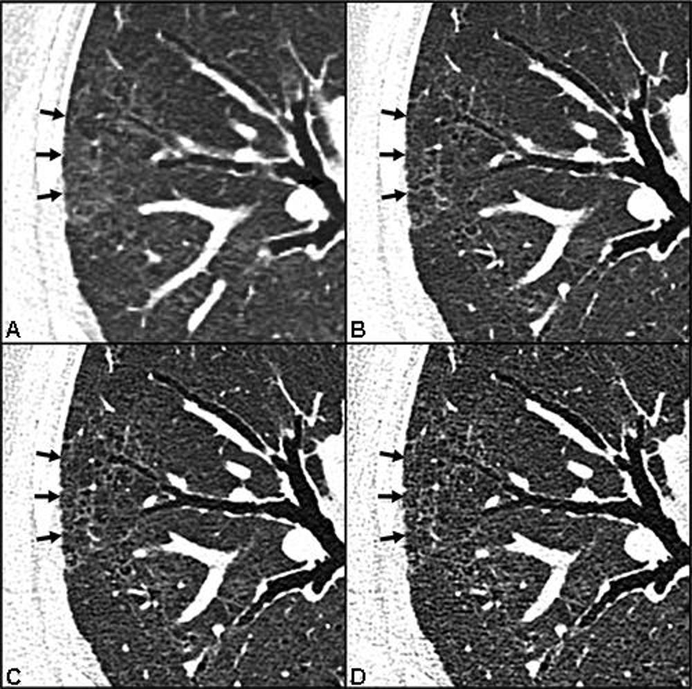
    Figure 2. Ultra-high-resolution photon-counting CT reveals bronchiolectasis: Axial CT lung images without contrast agent of a 70-year-old woman with persistent fatigue 401 days after COVID-19: 1.0mm image obtained with energy-integrating detector (EID) CT (A), and 1.0mm (B), 0.4mm (C) and 0.2mm (D) images obtained with photon-counting detector CT at the same level. Bronchiolectasis (white arrow) was not detected by EID CT but was found by PCD-CT. Ground-glass opacity detected in EID CT images (black arrows in A) was found to contain reticulations in PCD CT images (black arrows in B-D).
    High-res (TIF) version
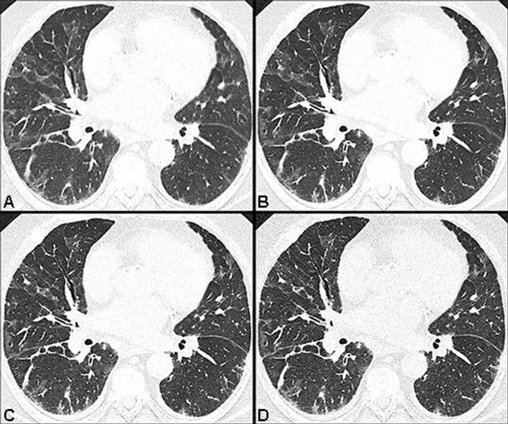
    Figure 3. Ultra-high-resolution photon-counting CT reveals reticulations in lung areas classified as ground-glass opacity by high-resolution energy-integrating CT: Axial CT lung images without contrast agent of a 55-year-old man with persistent exertional dyspnea and chronic fatigue 399 days after COVID-19: 1.0mm image obtained with energy-integrating detector (EID) CT (A), and 1mm (B), 0.4mm (C) and 0.2mm (D) images obtained with photon-counting detector CT at the same level. Ground-glass opacities detected by EID CT (black arrows in A) were found to contain reticulations in PCD CT (black arrows in B-D).
    High-res (TIF) version
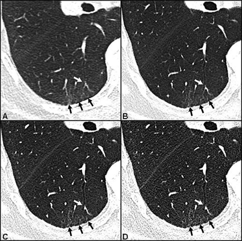
    Figure 4. Comparison of image quality between energy-integrating detector and photon-counting detector CT images: Axial CT lung images without contrast agent of a 66-year-old man with persistent exertional dyspnea, chronic fatigue and anosmia 94 days after COVID-19: Subjective image quality was rated as ‘definitely better with likely effect on detectability of lung abnormalities’ for 1.0mm photon-counting detector (PCD) CT (B) compared with 1.0mm energy-integrating detector (EID) CT (A) images, ‘definitely better with unclear effect on detectability of lung abnormalities’ for 0.4mm (C) compared with 1.0mm (B) PCD CT images, and ‘similar without decrement or benefit’ for 0.2mm (D) compared with 0.4mm (C) PCD CT images.
    High-res (TIF) version